こんにちは。
昨日、とうとう気温が30度超えてましたね・・・
みなさん熱中症には十分にご注意ください。
ただし、スポーツドリンクはなるべく飲まないようにしてくださいね。
普通の熱中症対策であればお茶などに塩を少量で十分ですので。
あとは3食しっかりと食べておくのが大事ですからね。
スポーツドリンクは口腔内の健康を大きく害しますので十分ご注意ください。
さて、ここ最近遠方からの初診の方や歯科医療従事者からの問い合わせが非常に増えております。
また初診数増加に伴い、急患対応も多くなってまいりましたので、再度ご案内させていただきます。
【当院での初診の取り扱いについて】
当院は現在、予約の患者さんで1~2週間先まで比較的埋まってきている状況になっております。
急患の場合は、コロナ渦も相まって、可能な限りお待ちいただかないよう予約の患者さんの治療内容等を考慮し、日時を指定させていただいております。
従って、どうしても「この曜日のこの時間で」などの希望される日時が限定的な場合は通常の予約をお願いしております。
皆様お仕事や私生活がお忙しい中、1~2週間お待ちいただいた上で予約を取っていただいております。
無理に初診の方の希望に対応することで予約の患者様の治療に影響を及ぼすことは、当院が目標としている「公平公正な医療の提供」には反してしまうと考えております。
痛みがあるなどの急を要する場合は、通常の予約枠ではないため希望の時間のご案内ができかねることを予めご了承ください。
さて、本日の症例写真はダイレクトボンディングについてです。
富山県から前泊して治療に来てくださいました。
遠方からの車の運転、お疲れ様です。
では、医療法(医療広告ガイドライン)の兼ね合いで毎回書いている内容をまた今回も記載したいと思います。
ダイレクトボンディングのメリットは
・基本的には歯をできる限り多く残すことを目指す治療法である。
・もし一部欠けたりしても、そこだけ治療しなおすことが出来る。
・歯よりも少し柔らかい(反対側の歯が割れたりはしない)。
・金属を使用しないため、金属アレルギーは生じない。
です。
逆にデメリットとしては、
・材質的に経年劣化を起こしてくるので、後々磨き残しが溜まりやすくなる。
・強度が弱いため、割れたり欠けたりすることがある。
・保険が使えない為、高額(当院では4万円+税です)。
材質的なデメリットは非常に大きいのですが、それを考えても患者さんにお勧めできるメリットは、被せ物になるのを、5年でも10年でも先に伸ばすことが出来るという点です。
1回治療したところは必ずいつか駄目になりますが、その時に歯が残っていれば、ひょっとするとまたダイレクトボンディングで対処できるかもしれませんからね。
私は良く「歯の治療は回数券だ」と患者さんにお伝えしています。
20枚綴りの回数券を治療の度に消費していくとします。
ダイレクトボンディングは1~2枚程度しか消費しない治療法ですが、部分的な金属の詰め物は一気に3~5枚くらい消費するようなイメージで、被せ物についてはは5~10枚消費するようなイメージです。
(先生によってはインレーの段階で10枚くらい一気に行くかもしれません・・・。)
例えばダイレクトボンディングが1回の治療で5年持ったとして…クラウンと同様の5枚消費するには25年かかります。
逆にクラウンを25年以上持たせることが出来るのなら良いのかもしれませんが…それが出来る!と自信満々に答えられる歯科医師はまずいないでしょう。
もちろん先生によって考え方は違いますし、価値観も違うため患者さんがどこの医院を選び、何の材料を選ぶかは人それぞれですが…
少なくとも私が同じような状態で治療を受ける際には可能な限りはダイレクトボンディングで治療してもらいたいですね。
で、ダイレクトボンディングでは無理というサイズになってきたら、今度は被せ物(クラウン)に移行するという流れを希望すると思ってます。
また、治療とは削る量が増えれば増えるだけその難易度も増していきます。それに伴って、持つ期間としても短くなっていってしまいます。
だからこそ小さいサイズの虫歯の時点で、ダイレクトボンディングで治療する意義は非常に大きいんです。
当院は保険医療機関ですので、非常に小さい虫歯の場合は保険適用内の「コンポジットレジン修復」にて治療を行っていますので、もし精度や持ちに拘りがあるのであれば、最初から「ダイレクトボンディングを希望」とお伝えください。
先日来院されてから自費診療を希望された方がいらっしゃったのですが、保険と自費の治療ではその予約時間が大きく異なりますので、本数が制限されてしまい、来院回数が増えてしまうことがあります。
ですので、次回予約の際には「自費診療希望である旨を伝えておいていただければ幸いです。」
さて。
では症例写真に移ります。
まずは術前からです。

今回は画面上の左から2番目の歯を治療しています。
元々は保険の白い詰め物が入っている状況ですね。
こちらは1年ほど前にレントゲンで確認した際には虫歯にはなっていなかった歯なのですが、今回レントゲン診査をした際に虫歯になっているのが確認できたため、介入と至りました。
古い詰め物を除去したのがこちらの写真になります。

やや黒くなっているのが分かりますかね?
さらに古い詰め物を取って光が通りやすくなったため、虫歯が内部で広がっているのが透けて、見た目でも分かります。
虫歯を取り切ったのがこちらになります。

本来の歯の色が出て、綺麗になっているのがわかるかと思います。
最深部に一部着色が残存していますが、ここについては虫歯ではないです。
ただし着色が残っている部分については接着力が落ちてしまうため、私は基本的にはなるべく除去するようにしています。
今回はこれ以上取ると神経へのダメージになりそうだったためそこの一部の着色のみを残しました。
そして詰め終わったのがこちらになります。

割と自然に再現できたかと思いますヽ(゚∀゚)ノ パッ☆
ちなみに、こちらの患者さん、実は画面上の右から2番目の歯も当院にて治療させていただいております。
それが1年ちょっと前なんですが、ブログでも書かせていただきました。
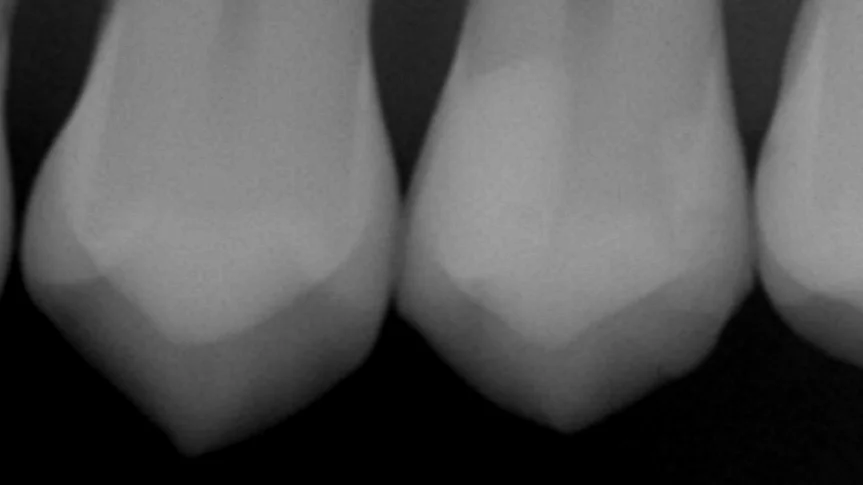
この時に詰めた歯のレントゲンがこちらですね。

画面右側の歯がそれになります。
1年程度では一才の段差がない状態をキープできていますね。
内面にもCは特に発生しておらず、状態としては非常に良好であると考えられます。
また次様子見をしている虫歯が治療が必要なレベルに達した際にはご連絡をお願いいたします。
遠方より通院・長時間の治療、大変お疲れ様でした。
なるべく長く使えるといいですね!