こんにちは。
この間集計したら県外からの来院患者が月に約30名ほど居るようでした。
片道3時間以上からの通院も10人以上いる為、そろそろ遠方からの通院をご希望の方に向けてのページを作成しようと思います。
さて。
前回も書きましたが、ここ最近遠方からの初診の方や歯科医療従事者からの問い合わせが非常に増えております。初診数増加に伴い、急患対応も多くなってまいりましたので、再度ご案内させていただきます。
【当院での初診の取り扱いについて】
当院は現在、予約の患者さんで2~3週間先まで完全に埋まっている状況になっております。
急患の場合は、コロナ渦も相まって、可能な限りお待ちいただかないよう予約の患者さんの治療内容等を考慮し、日時を指定させていただいております。
従って、どうしても「この曜日のこの時間で」などの希望される日時が限定的な場合は通常の予約をお願いしております。
皆様お仕事や私生活がお忙しい中、2~3週間お待ちいただいた上で予約を取っていただいております。
無理に初診の方の希望に対応することで予約の患者様の治療に影響を及ぼすことは、当院が目標としている「公平公正な医療の提供」には反してしまうと考えております。
痛みがあるなどの急を要する場合は、通常の予約枠ではないため希望の時間のご案内ができかねることを予めご了承ください。
さて、では本日の症例写真はダイレクトボンディングについてです。
なんと片道5時間以上かけて来院された方となります。期待に添えられるように頑張りました。
じゃ、医療法の兼ね合いで毎回書いている内容をまた今回も記載したいと思います。
ダイレクトボンディングのメリットは
・基本的には歯をできる限り多く残すことを目指す治療法である。
・もし一部欠けたりしても、そこだけ治療しなおすことが出来る。
・歯よりも少し柔らかい(反対側の歯が割れたりはしない)
・金属を使用しないため、金属アレルギーは生じない。
です。
逆にデメリットとしては、
・材質的に経年劣化を起こしてくるので、後々磨き残しが溜まりやすくなる
・強度が弱いため、割れたり欠けたりすることがある。
・保険が使えない為、高額(当院では4万円+税です)
材質的なデメリットは非常に大きいのですが、それを考えても患者さんにお勧めできるメリットは、被せ物になるのを、5年でも10年でも先に伸ばすことが出来るという点です。
一回治療したところは必ずいつか駄目になりますが、その時に歯が残っていれば、ひょっとするとまたダイレクトボンディングで対処できるかもしれませんからね。
私は良く「歯の治療は回数券だ」と患者さんにお伝えしています。
20枚綴りの回数券を治療の度に消費していくとします。
ダイレクトボンディングは1~2枚程度しか消費しない治療法ですが、部分的な金属の詰め物は一気に3~5枚くらい消費するようなイメージで、被せ物についてはは5~10枚消費するようなイメージです。
(先生によってはインレーの段階で10枚くらい一気に行くかもしれません・・・。)
例えばダイレクトボンディングが1回の治療で5年持ったとして…クラウンと同様の5枚消費するには25年かかります。
逆にクラウンを25年以上持たせることが出来るのなら良いのかもしれませんが…それが出来る!と自信満々に答えられる歯科医師はまずいないでしょう。
もちろん先生によって考え方は違いますし、価値観も違うため患者さんがどこの医院を選び、何の材料を選ぶかは人それぞれですが…
少なくとも私が同じような状態で治療を受ける際には可能な限りはダイレクトボンディングで治療してもらいたいですね。
で、ダイレクトボンディングでは無理というサイズになってきたら、今度は被せ物(クラウン)に移行するという流れを希望すると思ってます。
また、治療とは削る量が増えれば増えるだけその難易度も増していきます。それに伴って、持つ期間としても短くなっていってしまいます。
だからこそ小さいサイズの虫歯の時点で、ダイレクトボンディングで治療する意義は非常に大きいんです。
当院は保険医療機関ですので、非常に小さい虫歯の場合は保険適用内の「コンポジットレジン修復」にて治療を行っていますので、もし精度や持ちに拘りがあるのであれば、最初から「ダイレクトボンディングを希望」とお伝えください。
さて、では写真の方に移らせていただきます。
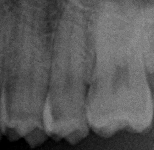
まずは術前です。

見た感じは全く普通に見えますが、実はレントゲン上で・・・
神経にかかりそうなくらいの大きな虫歯になっている状態でした。

このレントゲンの黒い部分が虫歯なのですが、全体が写る大きなレントゲン上でこれほどはっきりと見える虫歯は非常に大きいことが多いため、なかなか危ない状況であることが多いです。
歯を軽く削って虫歯を露出させたのがこちらです。

これで見ても、黒くないので虫歯はそんなに大きくないように見えるかもしれませんが・・・
実は黒い虫歯は慢性う蝕と言って進行が緩慢なのに対して、こういう風に色素の薄い虫歯は急性う蝕と言って、進行が急速であることが多いです。
なので、虫歯を取りきってみると・・・

こんな感じで、非常に大きく虫歯になっていました。
実は外側の歯はもうほとんど残っておらず、最表層のエナメル質という構造のみが残存している状況になっていました。
今回はインレーにされていたりしたわけではなく、全く他の先生に触られていない状態だったため、非常に大きく歯を温存することが出来ました。
こういうときこそダイレクトボンディングの本領が発揮できますね。
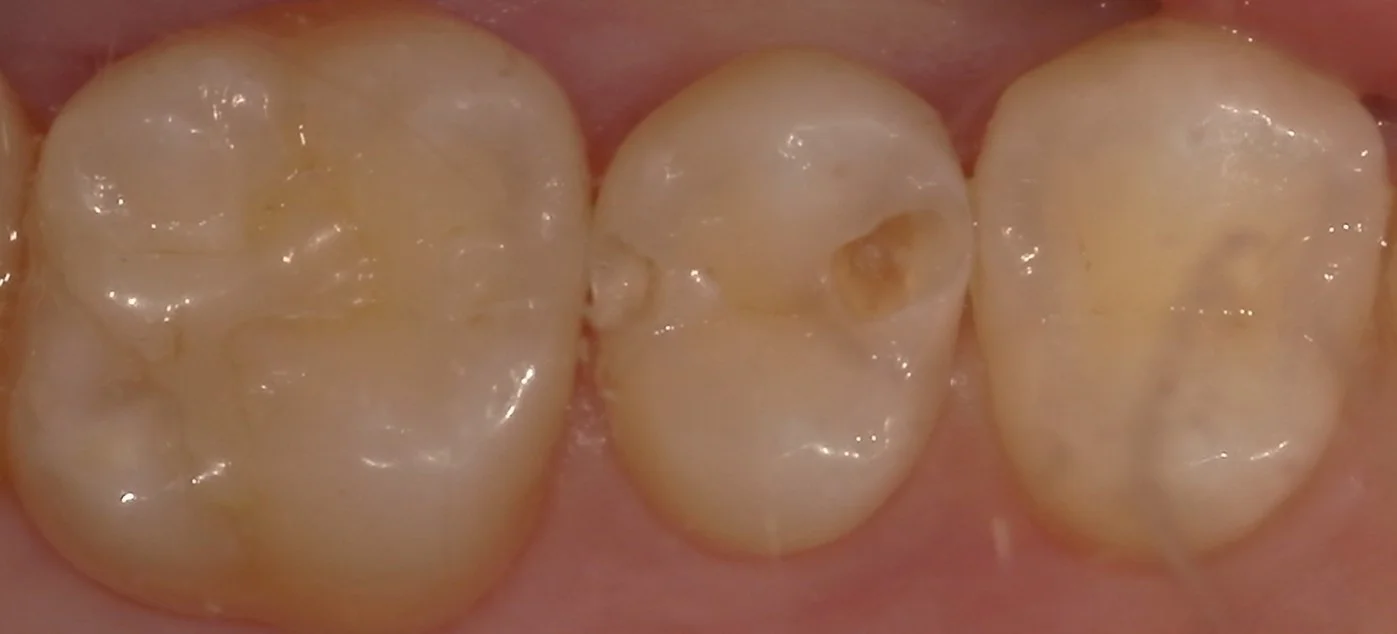
そして詰め終わったのがこの状態です。

違和感なく仕上げられたかと思います。
患者さん自身、喜んでいただけました。
また余談ですが、この方は日ごろの定期健診を行う医院を新しく見つけ、かかった所、そちらの歯科医師からも綺麗だと言って頂けたようです。
しっかりとケアしてなるべく長く使っていただければ幸いです。