Front Teeth Direct Bonding
すきっ歯・変色・矮小歯の修復を、歯を削る量を最小限に抑えて行います。
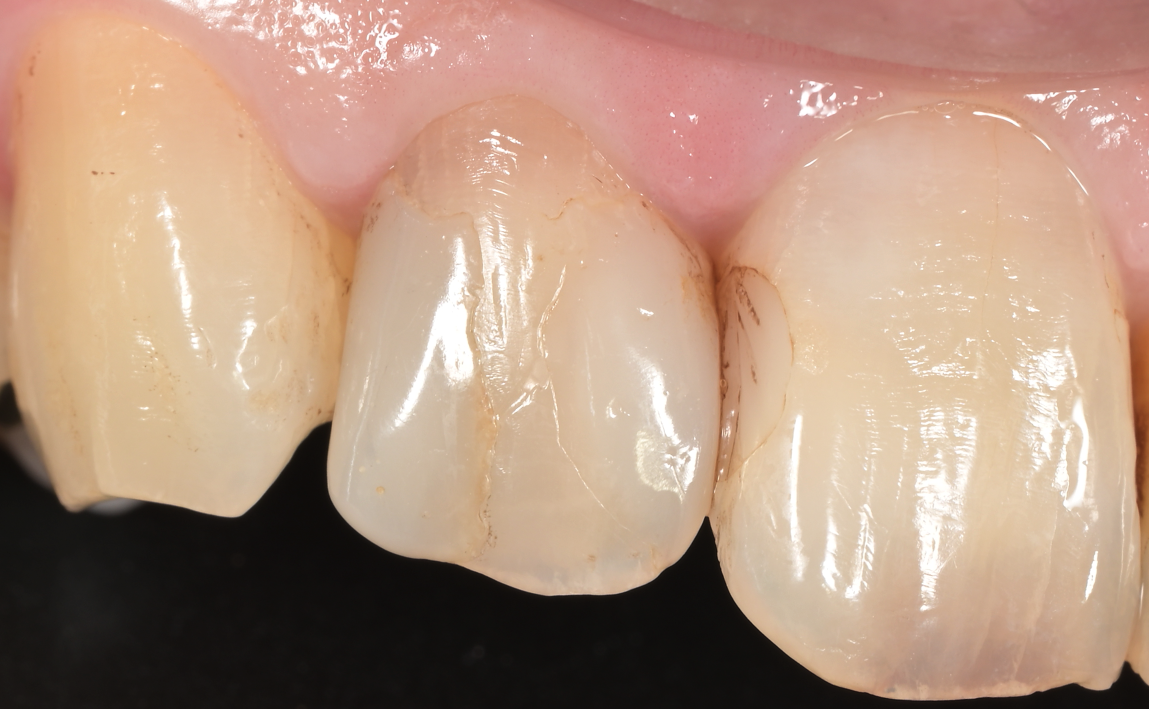
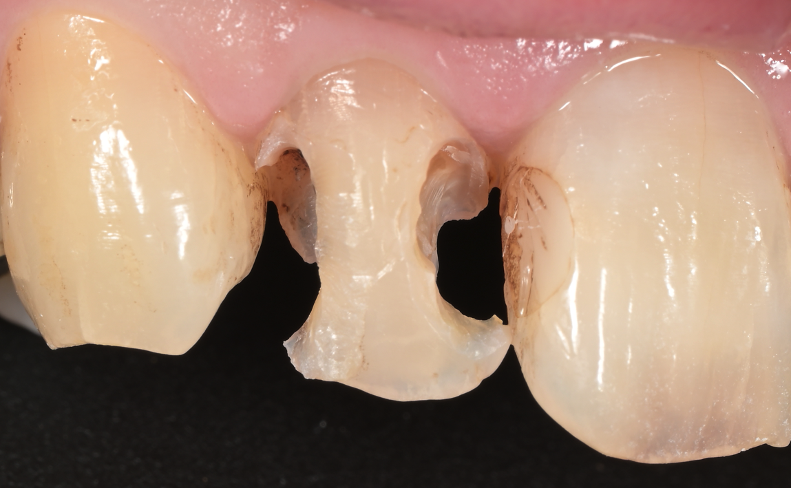
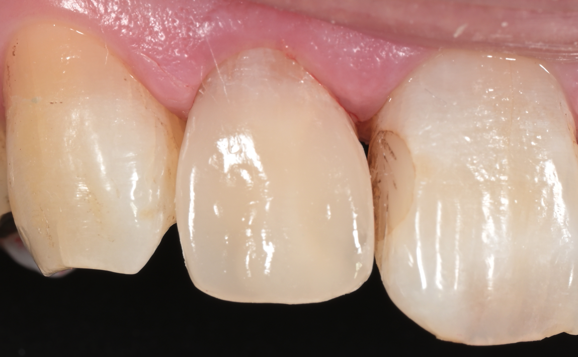
Case Photo
虫歯・欠けのある前歯をダイレクトボンディングで修復した実際の症例です。




Overview
セラミック治療と比較して、健康な歯質を大幅に温存できます。将来のやり直しにも備えられる、歯に優しい治療法です。
型取りや仮歯の期間が不要。1本あたり45〜60分で治療が完了し、その日のうちに自然な見た目の歯になります。
複数の色のレジンを重ねることで、周囲の歯と調和した自然な仕上がりを実現します。修復箇所が目立ちにくいのが特徴です。
Common Cases
Our Approach
前歯のダイレクトボンディングは、見た目の改善だけでなく「歯を守る」という観点からも優れた治療法です。セラミッククラウンのように歯を大きく削る必要がないため、ご自身の歯をできるだけ残すことができます。
ただし、すべてのケースに適しているわけではありません。ホワイトニング済みの歯は色調を合わせるのが難しく、ホワイトニングの効果が後退すると色の差が目立つ場合があります。また、噛み合わせが深いケース(ディープバイト)では、レジンに過度な力がかかり欠けるリスクが高くなるため、慎重な判断が必要です。
治療時間は1本あたり45〜60分が目安ですが、残存歯質の量や修復範囲によってはさらにかかることもあります。実際の治療計画は診査を行ったうえでご提案いたします。
FAQ
すきっ歯(正中離開)の閉鎖、変色した歯の修復、矮小歯(小さい歯)の形態修正などに適しています。歯を削る量を最小限に抑えながら、自然な見た目を再現できます。
1本あたり45〜60分が目安です。ただし、残存歯質の量や修復範囲によってはさらに時間がかかる場合があります。実際の治療時間は診査後に判断します。
ホワイトニング済みの歯は色調の合わせが難しく、ホワイトニングの効果が後退すると色の差が目立つことがあるため、適さないケースがあります。事前の診査でご相談ください。