Replace Silver Filling
銀歯のやり替えについて、メリット・リスク・保険適用の有無を正直にご説明します。
Our Policy
二次う蝕(銀歯の下の虫歯)がなく、問題なく機能している銀歯であれば、やり直しは推奨しません。歯はやり直すたびに削る量が増え、歯質が少なくなるためです。
ただし、銀歯がコンプレックスになっていて日常生活に支障がある場合や、ご本人が強く希望される場合にはご相談ください。やり替えのメリット・リスクを丁寧にご説明したうえで、治療計画をご提案します。
審美目的での銀歯からダイレクトボンディングへの置き換えは、保険適用外です(全国共通のルールです)。自費診療となりますので、費用は税込・症状により変動します。詳細は料金表ページをご確認ください。
なお、二次う蝕が発見された場合は保険診療で銀歯を除去し、治療を行うことがあります。
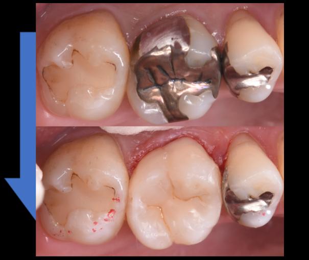
Case Photo


When to Consider
Pros & Cons
FAQ
審美目的での銀歯からダイレクトボンディングへの置き換えは保険適用外です(全国共通)。自費診療での対応となります。ただし、二次う蝕(銀歯の下の虫歯)が見つかった場合は、保険診療で銀歯を除去し治療を行うことがあります。
二次う蝕がなく、問題なく機能している銀歯であれば、やり直しは推奨しません。歯はやり直すたびに削る量が増え、歯質が少なくなるためです。銀歯がコンプレックスになっている場合など、ご本人が強く希望される場合にはご相談ください。
周囲の歯と色を合わせたレジンで修復するため、修復箇所が目立ちにくくなります。金属特有の違和感もなくなり、自然な見た目と噛み心地を取り戻せます。