こんにちは。
こちらの記事でも記載したiTeroエレメント2ですが・・・
現在保険診療内での使用はまだ認められていない為、自費診療で使用しています。
今の所義歯を除く全ての自費診療で使用していますが・・・
適合が本当に良いですね。
今回ご紹介するのもセラミックなんですが、本当に素晴らしかったです。
出来てきたセラミックがこちらです。
奥から2番目の所ですね。

セラミックを取り外した模型がこちらです。

手前の歯との間が非常にぼそぼそになっていると思いますが・・・
これは歯茎よりも非常に深い部分に虫歯ができてしまっており、その歯茎を押しのけておかないと綺麗に型取りが出来ないので、押しのけた結果こういう感じになりました。
こういう時は普通の型取りでもなかなか上手に採れない所ですが、しっかりと歯茎を押しのけるという事が出来ればこんな感じで綺麗に歯のラインを出して型取り出来ます。
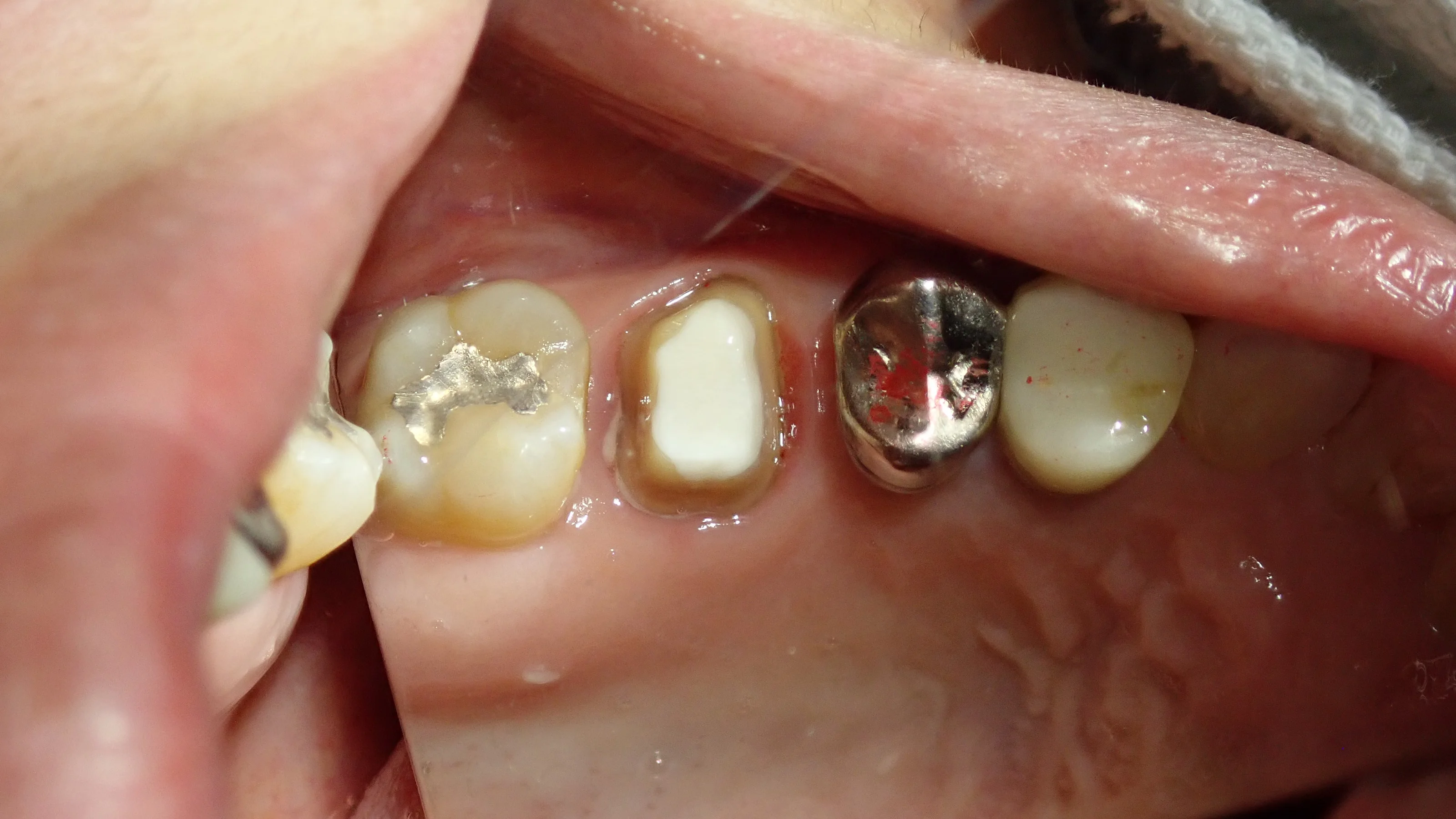
着ける前の口の中の写真がこちらです。

押しのけた部分に若干の炎症はありますが・・・
仮歯が良い感じに入っていたので、綺麗な歯茎になっていますね。
少なくとも型取りしたときのぼそぼそした感じは無くなっています。
そしてSetしたのがこちらの写真です。

一切の調整をすることなく、そのままスポッと入りました。
iTero導入後、本当に適合が良いものが作れるようになってきたので、嬉しい限りです。
後は、マイクロスコープと・・・型取りしたらその日のうちに被せ物を作ることが出来るCAD/CAMを導入すればもう完璧です!
まぁ・・・さすがにコロナが落ち着いてからになると思いますけど(;'∀')
#セラミック,#自費診療,#虫歯の治療