セラミックの被せ物

こんにちは。

結婚式やらセミナー講師やらでドタバタしていたため更新が遅れてしまいました。

4月からは診療時間が変わりますので、皆様、ご注意ください。

 

さて、ここ最近遠方からの初診の方や歯科医療従事者からの問い合わせが非常に増えております。

また初診数増加に伴い、急患対応も多くなってまいりましたので、再度ご案内させていただきます。

 

【当院での初診の取り扱いについて】

当院は現在、予約の患者さんで1~2週間先まで完全に埋まっている状況になっております。

急患の場合は、コロナ渦も相まって、可能な限りお待ちいただかないよう予約の患者さんの治療内容等を考慮し、日時を指定させていただいております。

従って、どうしても「この曜日のこの時間で」などの希望される日時が限定的な場合は通常の予約をお願いしております。

 

皆様お仕事や私生活がお忙しい中、1~2週間お待ちいただいた上で予約を取っていただいております。

無理に初診の方の希望に対応することで予約の患者様の治療に影響を及ぼすことは、当院が目標としている「公平公正な医療の提供」には反してしまうと考えております。

 

痛みがあるなどの急を要する場合は、通常の予約枠ではないため希望の時間のご案内ができかねることを予めご了承ください。

(基本的な初診時の受診の流れはこちらをご覧ください。)

 

 

さて、本日は前回に引き続きセラミッククラウンについてです。

 

では、医療法(医療広告ガイドライン)の兼ね合いで毎回書いている内容をまた今回も記載したいと思います。

 

セラミッククラウンのメリットは

・生体親和性材料の為、アレルギーなどの反応は生じない。

・細菌繁殖しにくい為、虫歯や歯周病になりづらい。

・化学的に安定している為、変形変色などは生じない。

 

です。

 

逆にデメリットとしては、

・一部欠けてしまった場合はそこだけの修理などはできず、完全に一度破壊してやり直す必要が出てくる。

・所謂「陶器」の為、衝撃などに弱く、術者の腕や噛み合わせによっては割れたり欠けたりすることがある。

・適正な厚みを確保する必要があるため、それが出来ないケースには使用できない。

・金属の被せ物に比べると歯を削る量が多め。

・保険が使えない為、高額(当院では1本154,000円(税込)です)。

 

といったところです。

 

ダイレクトボンディングのブログの時に毎度書いていますが、私はよく「歯の治療は回数券」と患者さんにお伝えしています。

 

20枚綴りの回数券を治療の度に消費していくとします。

 

ダイレクトボンディングは1~2枚程度しか消費しない治療法ですが、部分的な金属の詰め物は一気に3~5枚くらい消費するようなイメージで、被せ物についてはは5~10枚消費するようなイメージです。

セラミッククラウンは被せ物ですので大体5〜10枚使用するような感じです。

 

ただしメタルクラウンCAD/CAM冠に比べ、その物性的に非常に予後が良くなりやすい材料でもあります。

そのため、1回1回の治療が長持ちしやすくなり、結果として前述の2つのクラウンよりも歯を残せる確率が上がってきます。

大体何年もつの?と聞かれることがありますが、残念ながら断言しかねます。

元々の歯の残存量はもちろん、神経の治療の有無・噛み合わせや歯並び・TCHなどの習癖など様々な要因によって持ちは変わって来るためです。

 

ただ一般的には10年を超えて生じるトラブルは寿命と考えた方がいいと言われていますので、大体そのくらいを目安に考えてもらった方がいいかもしれませんね。

 

 

では症例写真に移ります。

 

土台の状態からです。

 

側面から見たのがこちら。

 

セラミックの被せ物|坂寄歯科医院(取手市藤代)

 

噛む面から見たのがこちらになります。

 

セラミックの被せ物|坂寄歯科医院(取手市藤代) - 画像2

 

歯茎よりも深い位置まで歯がなくなってしまっていたので、深くまで削ることになってしまっていますが、私個人の考えとしてはあまり歯茎よりも深い位置に削り込むのは好きではないです。

エラーが生じやすくなり、治療の難易度が上がる為です。

また次治療をやり直す際にはすでに歯が深くまで無くなってしまっているため、場合によっては歯を抜かざるを得なくなってしまうケースもある・・・ということも合間ってあんまりやりたくない手法の一つですね。

 

見た目は歯茎よりも深い位置に入れた方が圧倒的に綺麗なんですけどもね。

見た目のために後々歯を温存できる可能性を減らすくらいなら私はあまり入れたくないんですよねぇ・・・(⌒-⌒; )

 

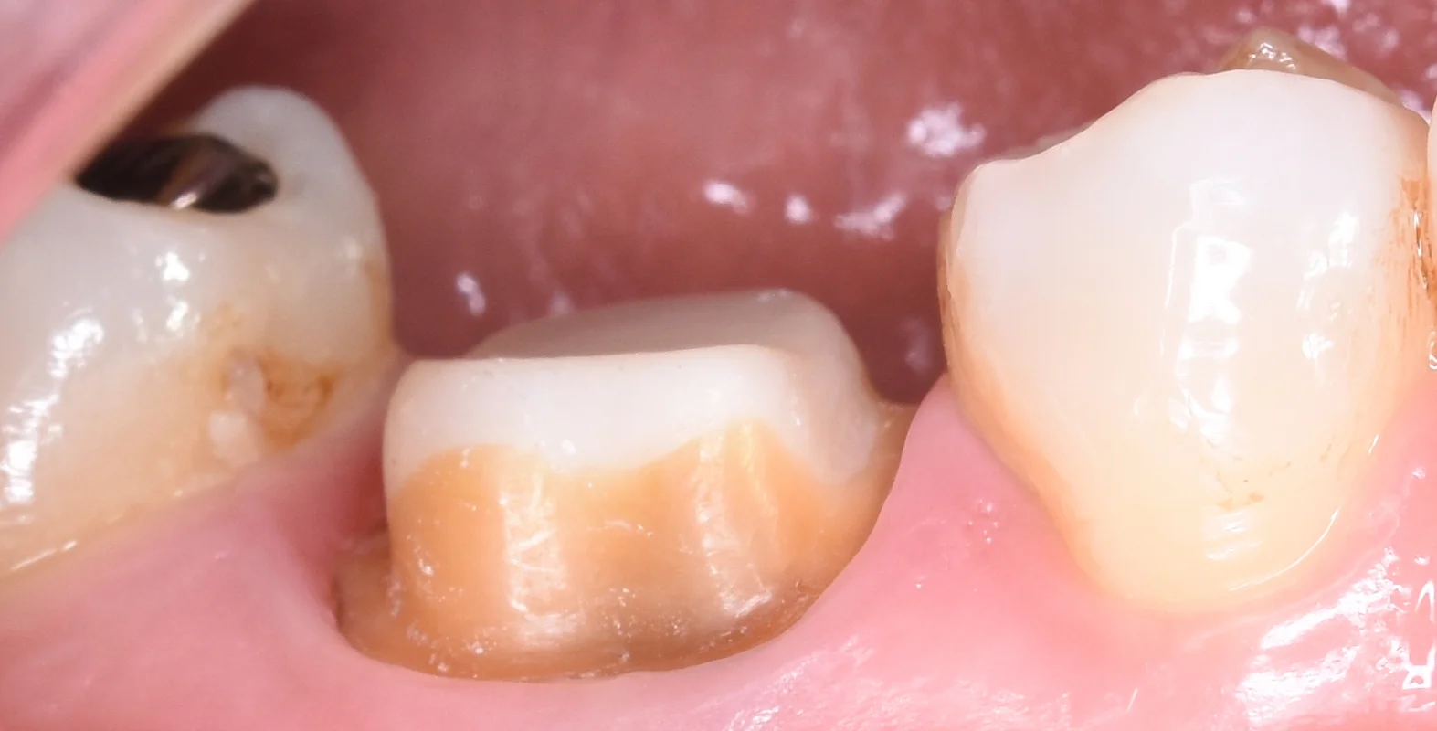
さて、そして被せ物をつけた後の写真がこちらになります。

側面から見たのがこちらで、

 

セラミックの被せ物|坂寄歯科医院(取手市藤代) - 画像3

 

噛む面から見たのがこちらです。

 

セラミックの被せ物|坂寄歯科医院(取手市藤代) - 画像4

 

噛む面から見ると、手前の歯との色の違いが気になりますが、患者さん的には非常に喜んでいただけたので、このまま装着することとなりました。

 

また画面右側の歯にも虫歯がありましたので、後日来ていただいた際に治療に入りました。

 

こちらは歯も十分残ってましたので、普通に白い詰め物で対応することとしました。

特に希望はなかったので、そのまま保険で治療しています。

 

術前の写真がこちらです。

 

セラミックの被せ物|坂寄歯科医院(取手市藤代) - 画像5

 

見た目上は分かりづらいと思いますが、前に入れたセラミックとの間の歯の色が黒くなっているのがわかるかと思います。

 

そこを完全に取り切ったのが、こちらになります。

 

セラミックの被せ物|坂寄歯科医院(取手市藤代) - 画像6

 

古い詰め物を残して詰める方法も可能は可能なのですが、

・接着が困難なため、長期的に見ると古い詰め物との界面から虫歯になってくる可能性が高い。

・私ではなく前医が治療したため、取り残しの可能性は否定できない。

という2つの理由から今回は古い詰め物を完全に除去しています。

 

そして詰め終わったのがこちらになります。

 

セラミックの被せ物|坂寄歯科医院(取手市藤代) - 画像7

 

元々セラミックも私が入れているので、その形態に合わせて溝を作り、詰めています。

今は乾燥しているので、詰めた部分の色が合っていないように見えると思いますが、1週間もすると水分が戻り、さらに違和感がなくなってきます。

 

形作り・型取り、Set、詰め物と3回に分けた治療、お疲れ様でした!

 

なるべく長持ちするといいですね!

← ブログ一覧に戻る