こんにちは。
最近じりじりと気温が下がっては来ましたね。
といっても、まだまだ暑く、熱中症への注意は引き続き、必要な状況ですからね。
エアコンの効いた部屋でも熱中症になることは十分にあり得ますので、水分補給はしっかりと行うようにしてくださいね。
さて、今日は
「中心結節破折が原因で起こった神経の壊死を放置して、外部吸収が起こったケース」
について。
非常に長ったらしいタイトルになりましたが、
まず、一つ一つ説明させていただきます。
・中心結節
これは前から4番目・5番目の歯(小臼歯)に多く起こってくる形態異常の1つです。
こういうやつですね。

これの何が不味いかって、この突起の中に神経が入っていることがあるんですよね。
そして、ここはかみ合わせなどですり減ったり、折れたりすることで、神経が口の中に露出してしまう事があります。
神経の治療中にも様々な方法を駆使して、神経の管の中に唾が入らないように、再感染が起こらないように注意をして行いますが・・・
中心結節が折れてしまうと、常時口の中の唾に神経が汚染され、細菌感染が進み続けていきます。
その結果、神経が死んでしまいます。
これが
・神経の壊死
になります。
まぁ細かく言うとちょっと違うんですが、私がよく説明している「神経が死んでしまっている状態」という感じです。
神経が死んでしまったら、その元々神経があった空間に細菌が繁殖し始めます。
その結果、膿が出始めて、根の先から膿が排出されていきます。
根の先の位置にニキビみたいなぽつっとしたものがある場合は、大体こうなってしまっていることが多いですね。
そして更にその状態を放置し続けると、今度は根の先が外側から溶かされてしまうことがあります。
それが
・外部吸収
になります。
外部吸収まで至ってしまうと、根の中の膿を綺麗にしても、綺麗に根の中に薬を詰めるのが難しくなってしまいます。
そのため、治療の予後としては悪くなりやすいですね。
今では、MTAという特殊なセメントを使用することで、そのリスクを減らすことが可能になっています。
ただし、まだ保険で認められていない治療方法の為、神経の治療~被せ物まで全てが自費診療になってしまうため、高額になりやすいというのがデメリットです。
さて、では実際の状態から。
今回は神経の治療が終わった時のレントゲンからです。

右が術前に膿の袋にレントゲンに写る柔らかい棒状のものを刺してレントゲンを撮ったもの。
左が最終的なお薬を詰め終わったところです。
口の中にある、ニキビのようなところにこういう材料を入れて撮影することで、その膿がどの歯・どの根から出てるのかを判断できるので、非常に便利です。
デメリットは変なところに刺さると痛いことですね・・・(;'∀')
今回の場合だと、根っこが2本ありますが、そのうちの1つの方がニキビの原因になっている状態でしたね。
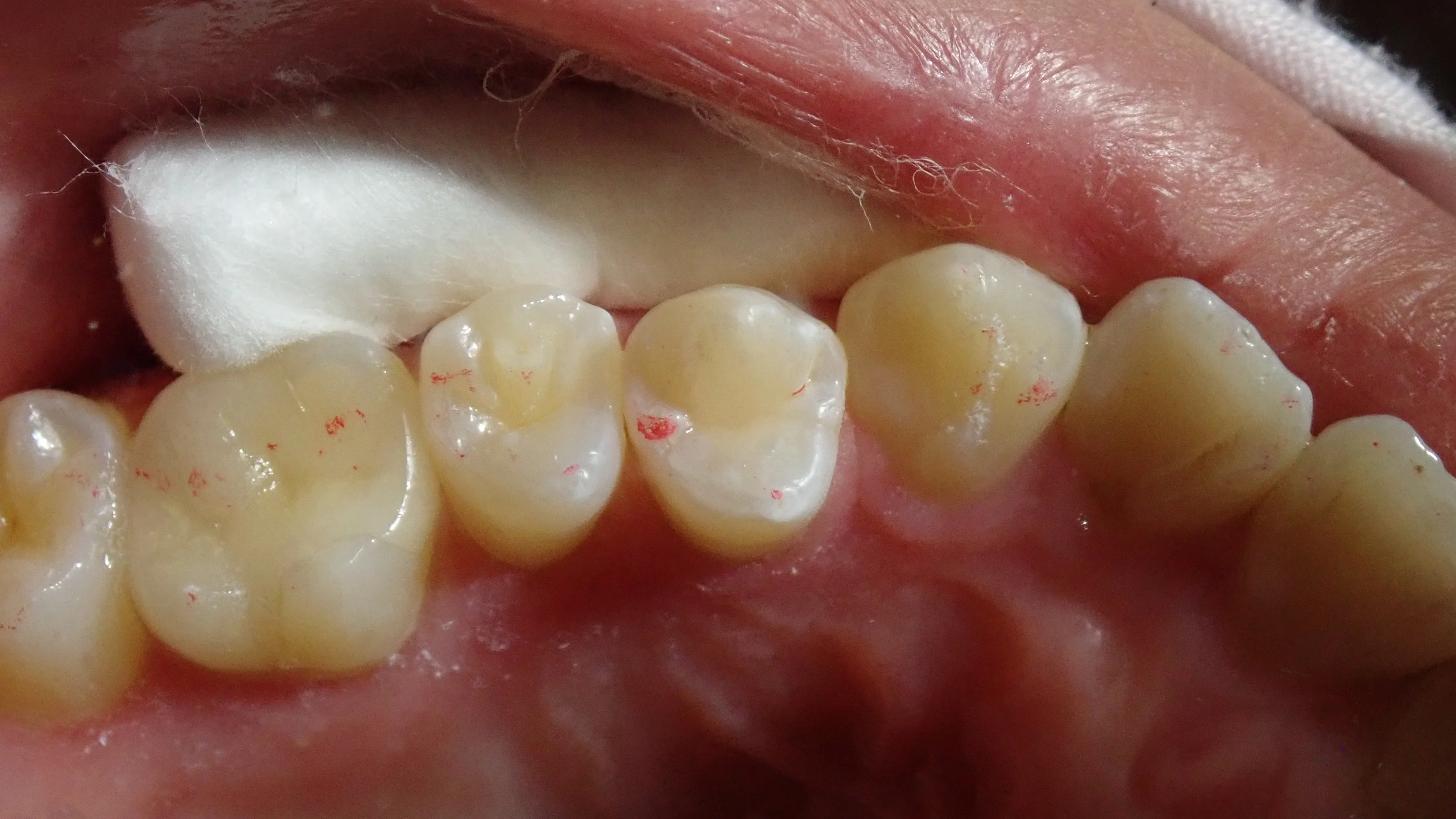
そして、お薬を詰め終わった写真がこちらです。

元々中心結節が折れることで感染を起こした状態でしたので、無駄に歯を削ったり、被せ物を入れたりする必要はありませんでした。
なので、こんな感じで、最小限の歯質削除を行って、神経の治療を行っていきました。
そして、最終的に詰め終わったのがこちら。

色の違いによる段差は少なからず出てしまっていますが、それでも、被せ物などを入れるよりは歯を削る量としても最小で済ませられます。
何度もこのブログでもお伝えしていますが、歯の治療とはチケット制みたいなものです。
20枚綴りのチケットがあったとして、治療の毎に数枚を消費していきます。
こんな感じで、小さく詰めた場合はチケットとしては1枚~2枚で済みますが、被せ物となると一気に5~10枚消費するような感じになります。
自費であれ、保険であれ、治療したところはいつか必ず駄目になり、やり直しが必要になってきます。
その時に、残りのチケットが18枚あるのか、10枚しかないのか、では大きな差になってきます。
それが結果として、20~30年後に振り返った時に必ず有利に働いています。
なので、私は小さく削って詰めるという処置が得意という事もあり、結構こういう治療を行うことが多いですね。
とはいえ、歯科医師によって考え方や得意な治療は異なります。
掛られている先生が最もお勧めする治療法・材料が最もいい結果を出せると思いますので、掛かられている先生がレジンを得意としていなかった場合には無理矢理依頼するといったことはしない方が良かと思います(;^_^A
良い歯科医院・良い歯科医師に出会えると良いですね!
#虫歯の治療,#コンポジットレジン