正中離開(すきっ歯)の治療

 

坂寄歯科医院初のダイレクトボンディングによる治療が完了しました。

患者さん本人にも許可を得たので、写真を載せたいと思います。

 

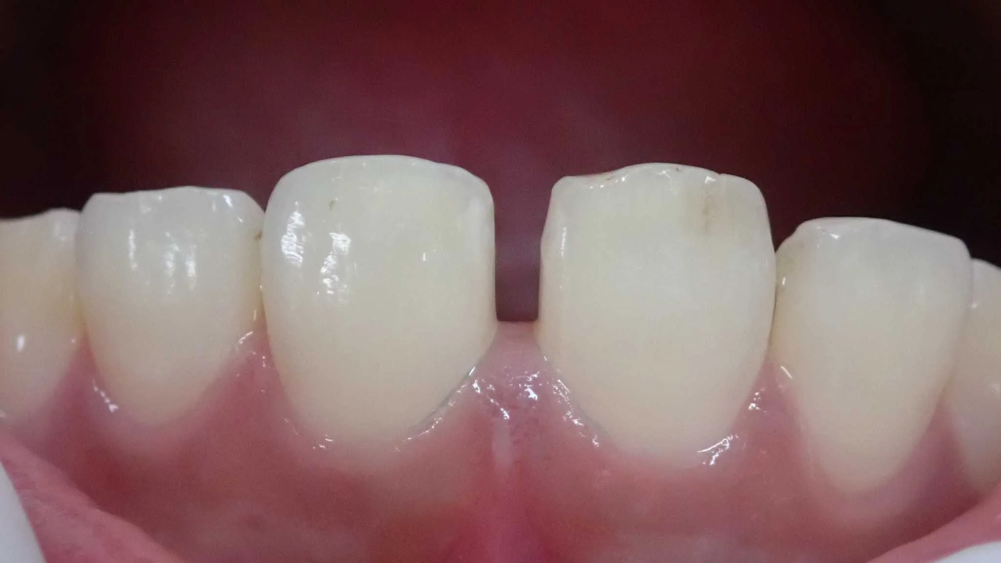
まずは術前の写真から。

正中離開(すきっ歯)の治療|坂寄歯科医院(取手市藤代)

矯正治療後の後戻りで前歯に1.5mm程の隙間が出来ています。

 

今まではこの隙間を修正しようとすると、

①矯正治療

②被せ物による治療

の2パターンしかありませんでした。

 

第一選択としては①の矯正治療です。

 

それがなぜ②の被せ物による治療がオススメできないかというと・・・

歯というものは一度削ってしまうともう二度と元に戻らない、「有限」なものです。

その為、なるべく歯を残した治療を行った方が良いわけなんですが・・・

被せ物をしようとすると、

正中離開(すきっ歯)の治療|坂寄歯科医院(取手市藤代) - 画像2

 

 

 

 

 

 

 

 

 

こんな感じで、全周を大きく削る必要がある為です。

一度でも治療したところはいつかまた必ず虫歯や破折で作り直しになってしまいますから、そういう点でも、なるべく歯を温存した治療を行おうというのが現代の歯科治療の流れなわけです。

 

そして、歯科治療の発展のお陰で、①②以外にも接着修復と呼ばれる治療が出来るようになりました。

 

それが一番最初に書いたダイレクトボンディングによる治療です。

接着部分は少し削る必要がありますが、それでも表層の0.1mm前後を薄ーく削って・・・

 

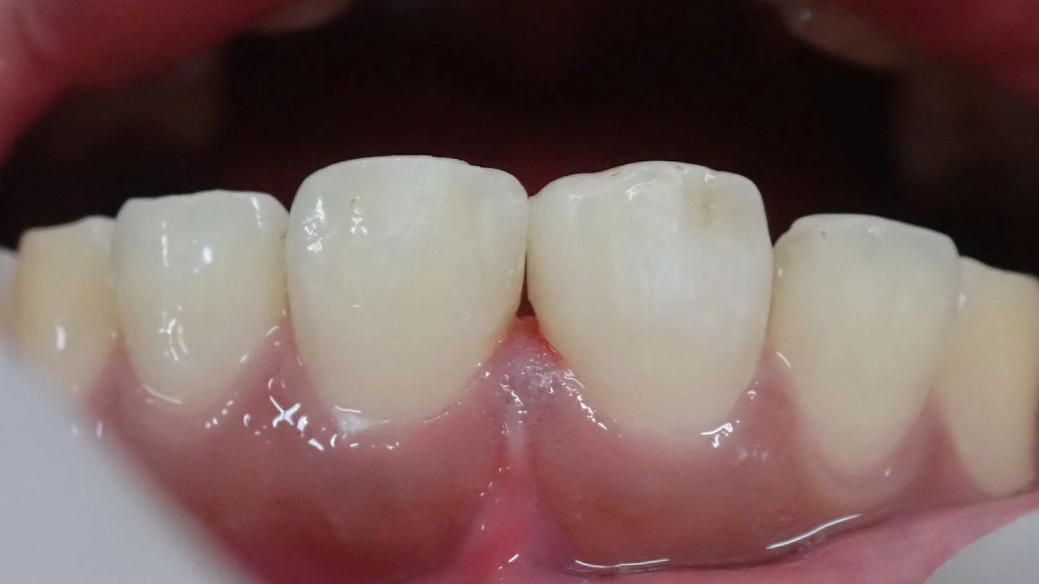
仕上がったものがこちらです。

正中離開(すきっ歯)の治療|坂寄歯科医院(取手市藤代) - 画像3

 

殆ど歯を削っていませんが、隙間は綺麗に埋められたと思います。

もちろんフロスを通しても、ひっかかるような所は一切ありません。

 

なるべくご自身の歯を残したいとお考えであれば、是非選択肢の一つに考えて頂いた方が良い治療と思っています。

 

もしもご不明な点などがあれば、お気軽にお問い合わせくださいね。

#ダイレクトボンディング #自費診療

← ブログ一覧に戻る