こんにちは。
本日は保険適用の治療の「硬質レジン前装冠」です。
これは保険で出来る白い歯で、見た目もそこそこ良いので、昔はよく私もおススメしていました。
しかし、経年変化による劣化による長期安定性の無さと、その強度の低さから・・・
非常に限られた方にしか行わない治療です。
現に、ここ数年で硬質レジンジャケット冠を入れたのは10本もありません。
ちなみに、略語としてHJCと言われます。
で、非常に少ないこのHJCをつい先日Setしたので、患者さんから了解を得たので載せさせていただきます。
というわけで、
Set前の写真です。
上から見た図と

横から見た図です。

形としては、オールセラミックの形に非常に近いですね。
次に、模型上での写真です。
同じく、上から見た図と

横から見た図

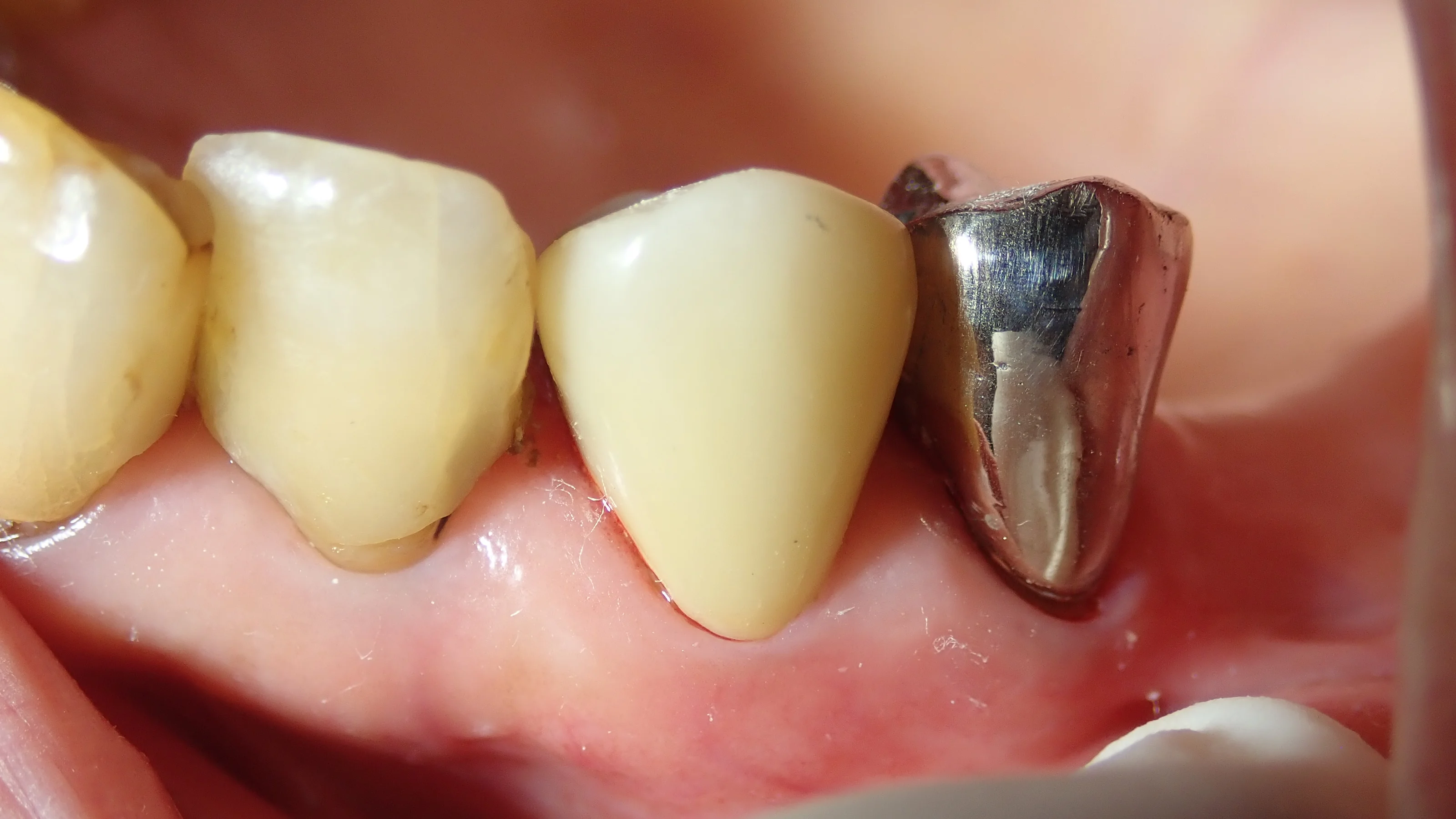
最後方臼歯(その歯並びの中で一番奥の歯のこと)は最も咬合力が加わる部位で、今回の場合、義歯との兼ね合いもあったので、さすがにここはメタルになりました。
で、Set時の写真です。
上からの図

横からの図

咬合面(噛む面のことです)の形態が凹凸の無い形状になっていますが、これは技工士さんのエラーというわけではありません。
セラミックであれば、裂溝(咬合面に存在する溝)を付与してもその強度からも特に大きな問題はありませんが・・・
HJCはそうはいきません。下手に裂溝を作成してしまうとそこの強度が落ちるため、割れてしまう危険性があります。
厚みを持たせて割れづらくするために、やたらと歯を削って短くするというのも手ではありますが・・・
脱離の原因になってしまいます。
今回は、歯ぎしりを多くされる方でしたので、歯の長さを短くするわけにはいきませんでしたので、裂溝をなくす方向にしました。
(本来は歯ぎしりが多い方に使うべき材料ではありません。)
使用できる方は非常に限られますが、こういう治療もあります。
#保険診療 #虫歯の治療 #メタルクラウン