こんにちは。
3連休中のため医院を休診にして家族と過ごさせていただいております。
休診明けからまた頑張って診療していきたいと思いますのでよろしくお願いいたします。
さて、ここ最近遠方からの初診の方や歯科医療従事者からの問い合わせが非常に増えております。
また初診数増加に伴い、急患対応も多くなってまいりましたので、再度ご案内させていただきます。
【当院での初診の取り扱いについて】
当院は現在、予約の患者さんで1~2週間先まで比較的埋まってきている状況になっております。(土曜日は相変わらず1月先まで埋まっております。)
急患の場合は、コロナ渦も相まって、可能な限りお待ちいただかないよう予約の患者さんの治療内容等を考慮し、日時を指定させていただいております。
従って、どうしても「この曜日のこの時間で」などの希望される日時が限定的な場合は通常の予約をお願いしております。
皆様お仕事や私生活がお忙しい中、1~2週間お待ちいただいた上で予約を取っていただいております。
無理に初診の方の希望に対応することで予約の患者様の治療に影響を及ぼすことは、当院が目標としている「公平公正な医療の提供」には反してしまうと考えております。
痛みがあるなどの急を要する場合は、通常の予約枠ではないため希望の時間のご案内ができかねることを予めご了承ください。
さて、本日の症例写真はダイレクトボンディングについてです。
今回は近隣の方です。
最近は近隣の方もダイレクトボンディングを希望されるケースが増えており、ブログで公開している甲斐があるなぁと感じております。
では、医療法(医療広告ガイドライン)の兼ね合いで毎回書いている内容をまた今回も記載したいと思います。
ダイレクトボンディングのメリットは
・基本的には歯をできる限り多く残すことを目指す治療法である。
・もし一部欠けたりしても、そこだけ治療しなおすことが出来る。
・歯よりも少し柔らかい(反対側の歯が割れたりはしない)。
・金属を使用しないため、金属アレルギーは生じない。
です。
逆にデメリットとしては、
・材質的に経年劣化を起こしてくるので、後々磨き残しが溜まりやすくなる。
・強度が弱いため、割れたり欠けたりすることがある。
・保険が使えない為、高額(当院では4万円+税です)。
材質的なデメリットは非常に大きいのですが、それを考えても患者さんにお勧めできるメリットは、被せ物になるのを、5年でも10年でも先に伸ばすことが出来るという点です。
1回治療したところは必ずいつか駄目になりますが、その時に歯が残っていれば、ひょっとするとまたダイレクトボンディングで対処できるかもしれませんからね。
私は良く「歯の治療は回数券だ」と患者さんにお伝えしています。
20枚綴りの回数券を治療の度に消費していくとします。
ダイレクトボンディングは1~2枚程度しか消費しない治療法ですが、部分的な金属の詰め物は一気に3~5枚くらい消費するようなイメージで、被せ物についてはは5~10枚消費するようなイメージです。
(先生によってはインレーの段階で10枚くらい一気に行くかもしれません・・・。)
例えばダイレクトボンディングが1回の治療で5年持ったとして…クラウンと同様の5枚消費するには25年かかります。
逆にクラウンを25年以上持たせることが出来るのなら良いのかもしれませんが…それが出来る!と自信満々に答えられる歯科医師はまずいないでしょう。
もちろん先生によって考え方は違いますし、価値観も違うため患者さんがどこの医院を選び、何の材料を選ぶかは人それぞれですが…
少なくとも私が同じような状態で治療を受ける際には可能な限りはダイレクトボンディングで治療してもらいたいですね。
で、ダイレクトボンディングでは無理というサイズになってきたら、今度は被せ物(クラウン)に移行するという流れを希望すると思ってます。
また、治療とは削る量が増えれば増えるだけその難易度も増していきます。それに伴って、持つ期間としても短くなっていってしまいます。
だからこそ小さいサイズの虫歯の時点で、ダイレクトボンディングで治療する意義は非常に大きいんです。
当院は保険医療機関ですので、非常に小さい虫歯の場合は保険適用内の「コンポジットレジン修復」にて治療を行っていますので、もし精度や持ちに拘りがあるのであれば、最初から「ダイレクトボンディングを希望」とお伝えください。
先日来院されてから自費診療を希望された方がいらっしゃったのですが、保険と自費の治療ではその予約時間が大きく異なりますので、本数が制限されてしまい、来院回数が増えてしまうことがあります。
ですので、次回予約の際には「自費診療希望である旨を伝えておいていただければ幸いです。」
こちらからダイレクトボンディングは如何ですか?という聞き方はしていないため、隠しメニューみたいな存在になってますので、希望される方はよろしくお願いいたします。
さて。
では症例写真に移ります。
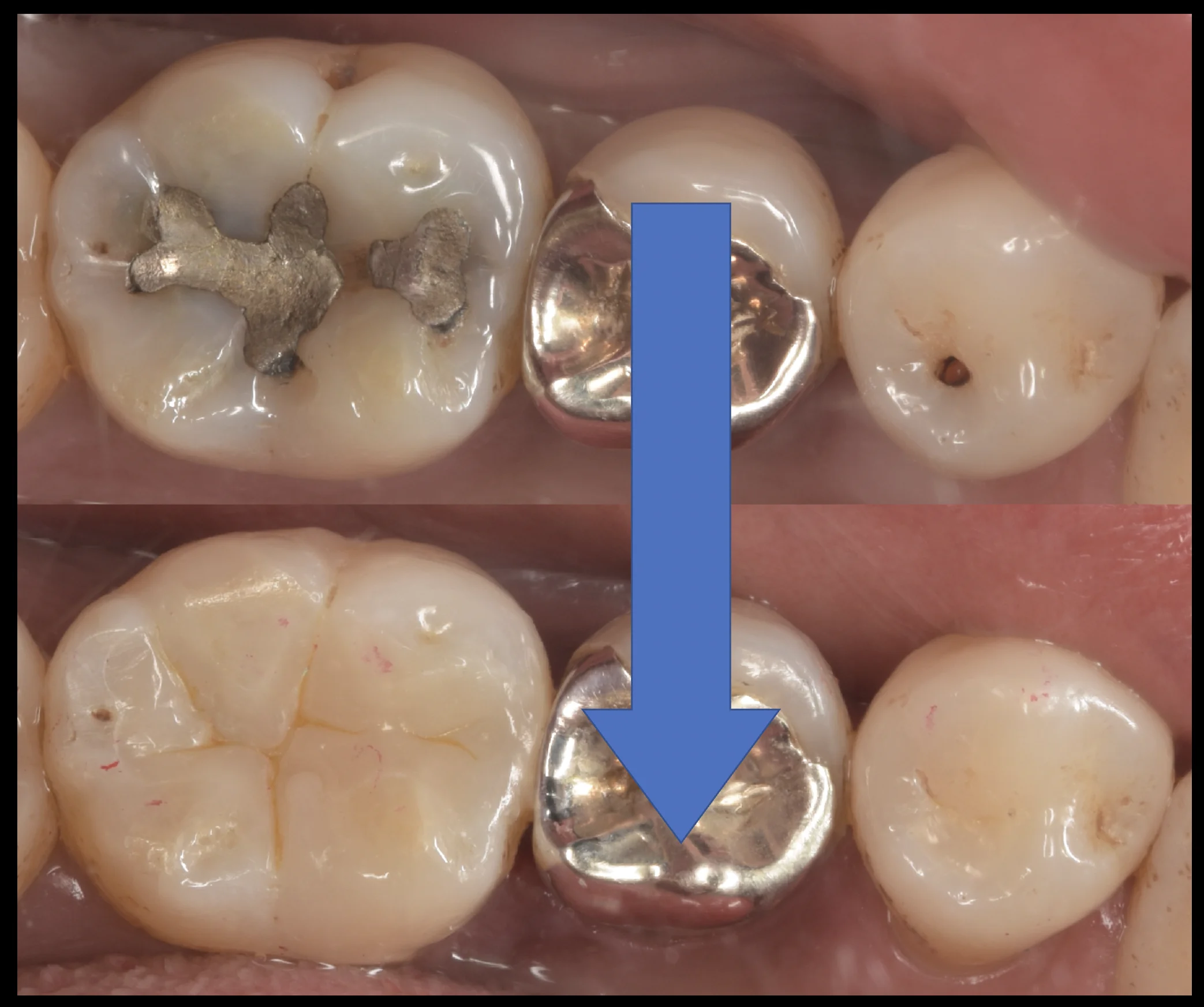
まずは術前からです。

今回は、画面上の左側の金属(アマルガム)と一番右の黒く穴が空いている場所を治療していきます。
アマルガムは随分と昔に日本市場から消えた材料です。
私が毎回行っているダイレクトボンディングなどの台頭に伴い国内では完全に消え去った治療になります。
この材料は水銀を固めて歯に詰めているものになります。
水銀と聞くと警戒してしまいそうですが、この状態では基本的に水銀が溶け出したりして体に害が生じることはないと言われています。
またダイレクトボンディングと違って膨張していく材料になるため、隙間ができづらく虫歯にはなりづらいとされていますが、歯にクラックという亀裂が生じやすくなってしまうのがデメリットです。
また実際にはこの写真のようにアマルガムが欠けたりすることで大きくギャップができてしまい、そこから虫歯になることが多いです。
なんの問題もないのであれば積極的に除去する必要はないかと思われますが、虫歯になっているのであれば治療に入った方が無難だと思います。
アマルガムを除去し、右の歯の虫歯を見やすくしたのがこちらになります。

左の歯の内部が真っ黒になっており、右側の歯についてもそこそこ内面が黒く広がっているのがわかるかと思います。
そして虫歯を取り切ったのがこちらになります。

ところどころ黒い部分が残っていますが、この場所自体は虫歯ではありません。
ただ着色がついている部分についてはダイレクトボンディングの接着強さを優位に低下させるためなるべくなら取り切った方が持ちはよくなるため、私はできれば取り切るようにしています。
ただし、今回はこれ以上除去した場合、神経にダメージが入りそうだと判断し、一部着色している部分を温存しています。
虫歯自体は完全に取り切れているのでその点は問題はありません。
そして詰め終わったのがこちらになります。

いかがでしょうか?
違和感なく仕上げられたかと思います。
左側については詰めた部分がまだわかりやすくなっていますが、これは歯の乾燥が原因のため、1週間くらいして歯に水分が戻ると色としては違和感がなく合ってきます。
左はやや大きいですが、右の歯の虫歯は非常に小さいため、予後としては右の歯の方が相当に長期的に使えると予想できます。
実際歯の間に入っていない、右の歯のような虫歯は当院でも先代から20年以上持っているケースも珍しくないため個人的にはやはり小さければ小さいだけダイレクトボンディングで治療するメリットは大きいなと感じています。
治療の術前術後がこちらになります。

長時間の治療お疲れ様でしたヽ(゚∀゚)ノ パッ☆
しっかりと使っていけると思います!
なるべく長く使っていけるように
・TCHをはじめとする力のコントロール
・食事のタイミング、食生活
・ブラッシング
に注意していただければ幸いです!