こんにちは。
8月中の更新をすっかりと忘れてしまっていました・・・。
今年から長男が小学校に上がったため、初めての夏休みでしたが、子どもの頃は楽しくて仕方なかった夏休みですが親の立場からすると結構大変なものですね・・・笑
そのうち高学年になれば勝手に友達と遊びに行くと思いますので、それまでは遊んでもらおうと思います。
さて、ここ最近遠方からの初診の方や歯科医療従事者からの問い合わせが非常に増えております。
また初診数増加に伴い、急患対応も多くなってまいりましたので、再度ご案内させていただきます。
【当院での初診の取り扱いについて】
当院は現在、予約の患者さんで2~3週間先まで比較的埋まってきている状況になっております。(土曜日は相変わらず1ヶ月以上埋まっております。)
急患の場合は、可能な限りお待ちいただかないよう予約の患者さんの治療内容等を考慮し、日時を指定させていただいております。
従って、どうしても「この曜日のこの時間で」などの希望される日時が限定的な場合は通常の予約をお願いしております。
皆様お仕事や私生活がお忙しい中、2~3週間お待ちいただいた上で予約を取っていただいております。
無理に初診の方の希望に対応することで予約の患者様の治療に影響を及ぼすことは、当院が目標としている「公平公正な医療の提供」には反してしまうと考えております。
痛みがあるなどの急を要する場合は、通常の予約枠ではないため希望の時間のご案内ができかねることを予めご了承ください。
ただし、歯科医師の方はある程度の診断を自分でも問題なく行えるでしょうし、口腔内写真やレントゲン写真を事前に送っていただけるのであれば、当日に処置を行うことも可能となっております。
そのため歯科医師の方はご予約の際には問い合わせフォームよりお問い合わせていただけると比較的スムーズに進むかも知れません。
さて、本日の症例写真はダイレクトボンディングについてです。
今回は神奈川県からいらっしゃってくださっている方です。
では、医療法(医療広告ガイドライン)の兼ね合いで毎回書いている内容をまた今回も記載したいと思います。
ダイレクトボンディングのメリットは
・基本的には歯を最も多く残すことが出来る治療法である。
・もし一部欠けたりしても、そこだけ治療しなおすことが出来る。
・歯よりも少し柔らかい(反対側の歯が割れたりはしない)。
・金属を使用しないため、金属アレルギーは生じない。
です。
逆にデメリットとしては、
・材質的に経年劣化を起こしてくるので、後々磨き残しが溜まりやすくなる。
・強度が弱いため、割れたり欠けたりすることがある。
・保険が使えない為、高額(当院では4万円+税です)。
材質的なデメリットは非常に大きいのですが、それを考えても患者さんにお勧めできるメリットは、被せ物になるのを、5年でも10年でも先に伸ばすことが出来るという点です。
1回治療したところは必ずいつか駄目になりますが、その時に歯が残っていれば、ひょっとするとまたダイレクトボンディングで対処できるかもしれませんからね。
私は良く「歯の治療は回数券だ」と患者さんにお伝えしています。
20枚綴りの回数券を治療の度に消費していくとします。
ダイレクトボンディングは1~2枚程度しか消費しない治療法ですが、部分的な金属の詰め物は一気に3~5枚くらい消費するようなイメージで、被せ物についてはは5~10枚消費するようなイメージです。
(先生によってはインレーの段階で10枚くらい一気に行くかもしれません・・・。)
例えばダイレクトボンディングが1回の治療で5年持ったとして…クラウンと同様の5枚消費するには25年かかります。
逆にクラウンを25年以上持たせることが出来るのなら良いのかもしれませんが…それが出来る!と自信満々に答えられる歯科医師はまずいないでしょう。
もちろん先生によって考え方は違いますし、価値観も違うため患者さんがどこの医院を選び、何の材料を選ぶかは人それぞれですが…
少なくとも私が同じような状態で治療を受ける際には可能な限りはダイレクトボンディングで治療してもらいたいですね。
で、ダイレクトボンディングでは無理というサイズになってきたら、今度は被せ物(クラウン)に移行するという流れを希望すると思ってます。
また、治療とは削る量が増えれば増えるだけその難易度も増していきます。それに伴って、持つ期間としても短くなっていってしまいます。
だからこそ小さいサイズの虫歯の時点で、ダイレクトボンディングで治療する意義は非常に大きいんです。
当院は保険医療機関ですので、非常に小さい虫歯の場合は保険適用内の「コンポジットレジン修復」にて治療を行っていますので、もし精度や持ちに拘りがあるのであれば、最初から「ダイレクトボンディングを希望」とお伝えください。
先日来院されてから自費診療を希望された方がいらっしゃったのですが、保険と自費の治療ではその予約時間が大きく異なりますので、本数が制限されてしまい、来院回数が増えてしまうことがあります。
ですので、次回予約の際には「自費診療希望である旨を伝えておいていただければ幸いです。」
今のところはこちらからダイレクトボンディングは如何ですか?という聞き方はしていないため、隠しメニューみたいな存在になってますので、希望される方はよろしくお願いいたします。
さて。
では症例写真に移ります。
まずは術前からです。

今回は画面右側の保険の金属が入っている歯を治療していきます。
保険の金属の脇に隙間ができて、そこから虫歯が入り込んでいるのが画像上でもわかりますね。
矢印をつけるとこう言うところです。

こういった金属の詰め物であるインレーなどの詰め物を内側性修復と言います。
内側性とは歯の内面部分を治していると言うことで、逆に外側性修復というと歯の尖っている部分などを失ってしまい、そこを補修したもののことを言います。
良く詰め物・被せ物と言いますが、
・歯の内部を削って詰める詰め物→内側性
・歯の外側を削って被せる被せ物→外側性
と言った感じで分類されます。
内側性修復は基本的に噛んだ時に歯に対して亀裂が入るような力が加わるため、こう言った感じで、一部の歯が割れてしまったりすることがあります。
金属は硬いので歯しか割れないためこう言うふうに大きなギャップができてしまうのが最大のデメリットですね。
対してダイレクトボンディングやコンポジットレジンはその素材自体が金属よりも柔らかいため歯が割れてしまった場合も一緒にその付近のレジンも割れて取れるためギャップを生じづらいと言われています。
そのため、そこから新たな虫歯に発展してしまう危険性が少ないんですよね。
最近は強度的にもエナメル質と同程度の強度を持つレジンも多いため、内側性修復の第一選択はレジンとなってきています。
今後も進化を続けていくのが目に見えているため、この傾向はこれからも強まっていくと多くの歯科医師が予測しています。
なので、若手の先生は今のうちにレジン系のテクニックを押さえておく方が無難だと思います(●´ω`●)
さて。話を症例に戻します。
金属を除去して内部のセメントを粗方とって虫歯を見やすくしたのがこちらになります。

非常にわかりづらいですが、画面上で上側の色が黄色っぽいところも全て虫歯になっている状態です。
臨床上で良く経験しますが、レントゲン上でそこまで大きくなくてもインレーを除去するとこのように内部で爆発的に虫歯が進行しているケースが多々あります。
定期検診で歯科医師にしっかりと確認してもらうのはもちろんとして、レントゲンなども定期的に撮影し、変化をしっかりと確認しておいた方が無難なのはこう言う部分もあります。
そして虫歯を取り切ったのがこちらになります。

歯の色が綺麗に出たのがわかるかと思います。
全体的にほぼ同じような色になっていますよね。
この「虫歯をどこまで取り切るか」も先生によって考え方はまちまちですね。
基本的に私は米国式・・・と言うわけではないですが、着色部分も可及的に取り除くようにしています。
日本では着色を残すように大学では指導されるのですが、そこを残すと接着力が優位に下がるため治療の予後が悪くなりやすいんですよね。
なので基本的に海外の歯科医師の治療写真など見てもほとんどが着色まで取り切っているのがわかると思います。
日本は歯科以外もそうですが比較的ガラパゴス化しやすい国なので、そう言う点では注意が必要かなと思います。
もちろんそれが悪というわけでもないですけどもね。
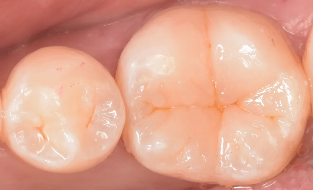
さて、詰め終わったのがこちらになります。

歯の溝の色は前後の歯と合わせておきましたので、色に関しては違和感がなく仕上げられたかと思います。
見た目もデザインについては結構特殊な歯の形をしていたため、やや違和感がありますが、少なくとも元の歯の形をイメージして詰めているので大きくは外していないと思います。
術前術後の比較の写真がこちらになります。

遠方から長時間の治療お疲れ様でした!