こんにちは。
今回は保険適用の治療法であるコンポジットレジンでの治療をアップしたいと思います。
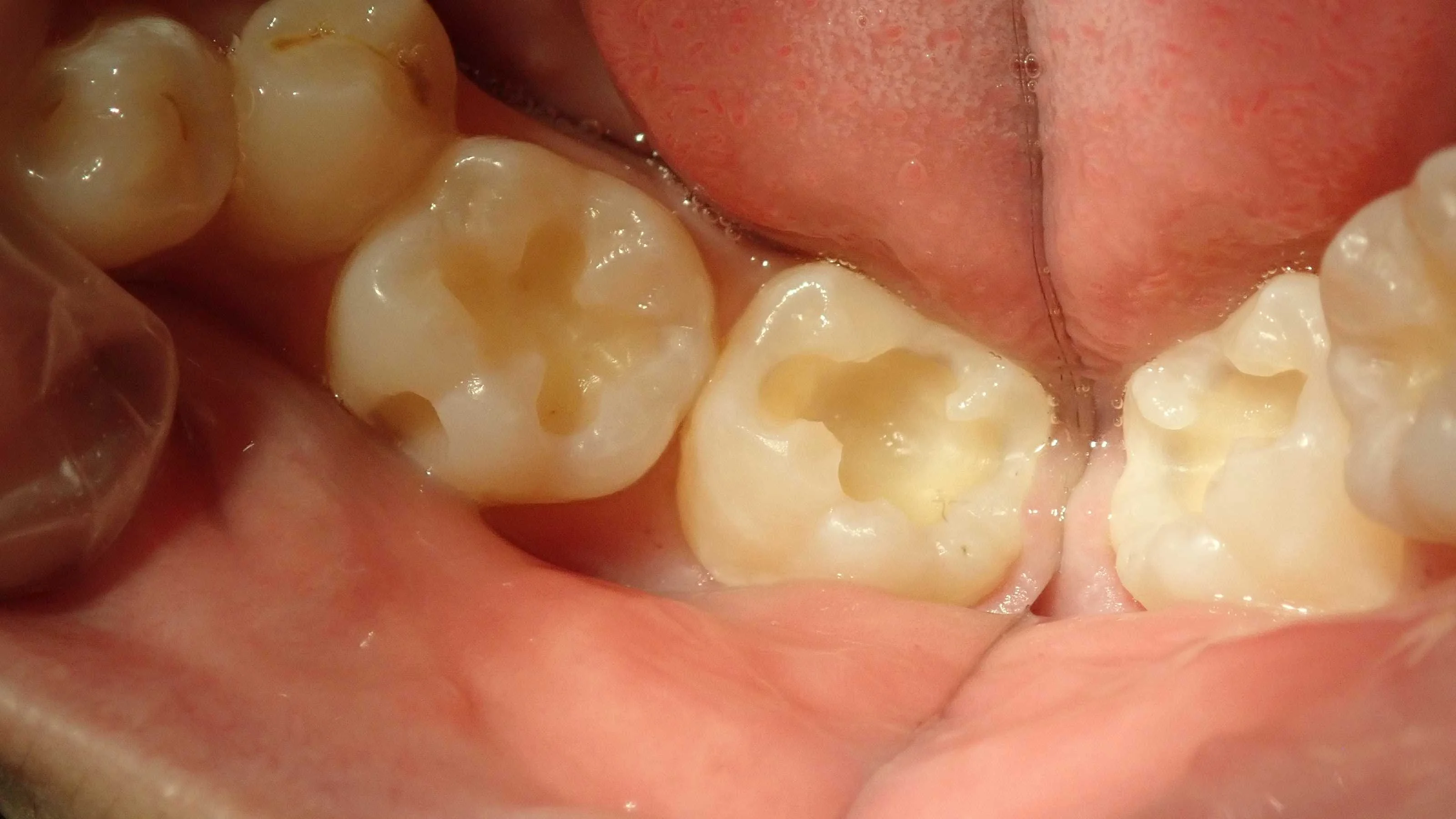
最初の状態がこちらです。

下の奥歯だったので、鏡を入れて撮影しています。
手前はともかくとして、奥のほうは中々な虫歯です。
ちなみに、虫歯の治療が必要かどうかというのは、
肉眼のみでの診断では分かりません。
必ずレントゲンなど、複数の検査を併用して治療が必要かどうかを判断する必要があります。
何か一つ、これだけやってれば大丈夫なんて便利なものは残念ながらありませんので・・・(;^_^A
で、虫歯を取り切った写真がこちらです。

ごめんなさい。奥の光の反射が激しくてどれだけ深いのかはわかりづらいですね。
「神経まではいかないまでも、かなり大きい」
といった感じでした。
ただ、今回は歯と歯の間には虫歯がなかったので、強度的には問題がないと判断し、説明した上でそのままコンポジットレジンでの治療となりました。

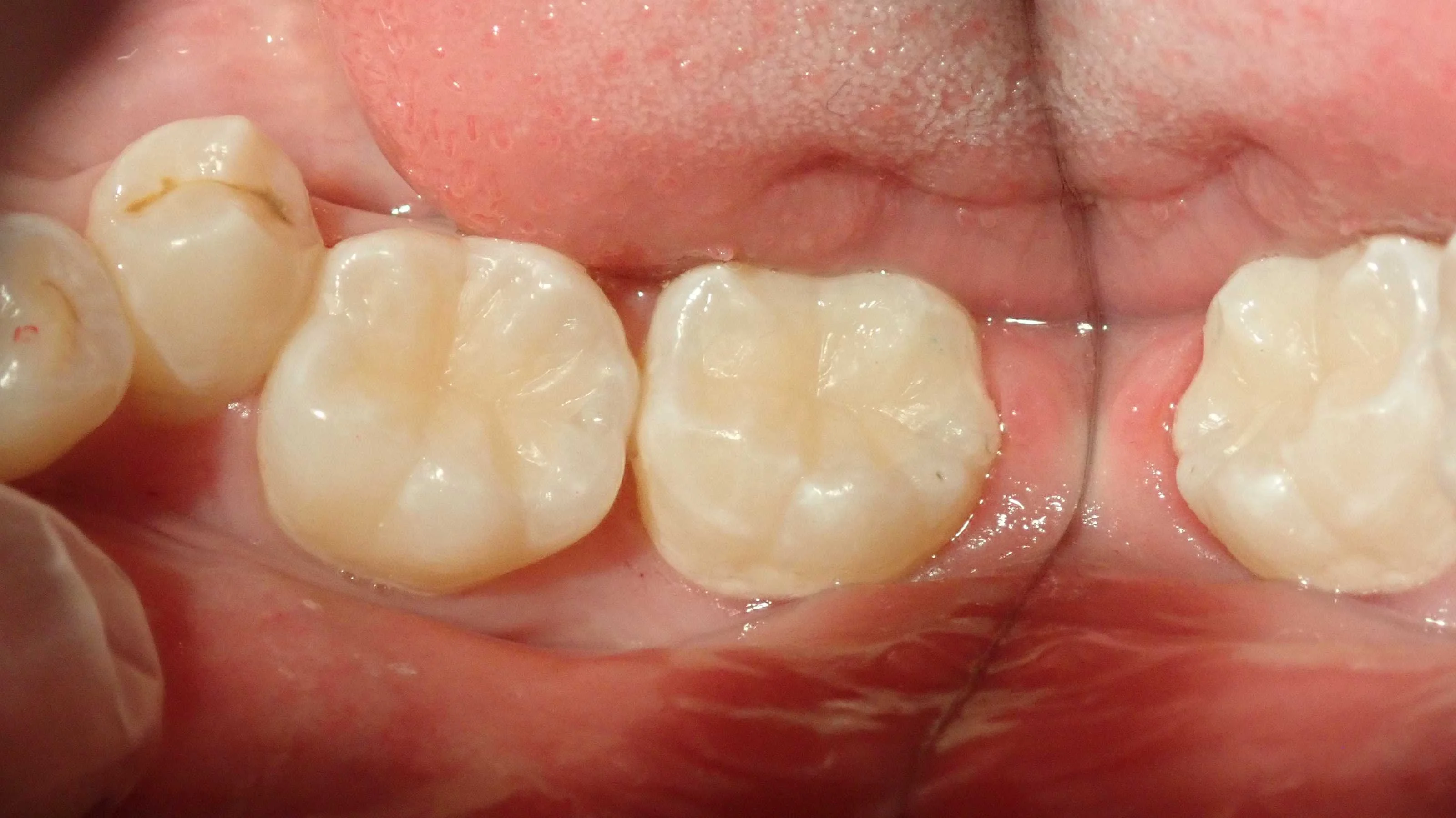
術後です。
よくコンポジットレジンの治療をされた歯を見ると、咬合面(物を噛む面です。要は真上です。)に溝を入れていないケースを多々目撃します。
(ちなみにこの溝のことを裂溝と言います。)
歯科医師にはこの裂溝を再現する先生としない先生の2パターンが居ます。
写真でもお分かりかと思いますが、私は保険だろうが自費だろうが再現するタイプです。
理由としては、
・・・これだけ長い間、人類の進化上で消えていない以上、なんか意味ある・・・よね?
程度のものです。
あとはまぁ、見た目もこっちのほうが綺麗なんで再現するようにしています。
歯が多く残っているものであれば保険内でもこういった治療法がありますので、なるべく大きくなる前に歯医者さんには行くようにしましょうヽ(゚∀゚)ノ パッ☆
#コンポジットレジン #保険診療 #虫歯の治療