こんにちは。
しばらくブログを更新していなかったので、5日周期の更新をすっかりと忘れてしまっていました。
一日遅れですが、更新していきたいと思います。
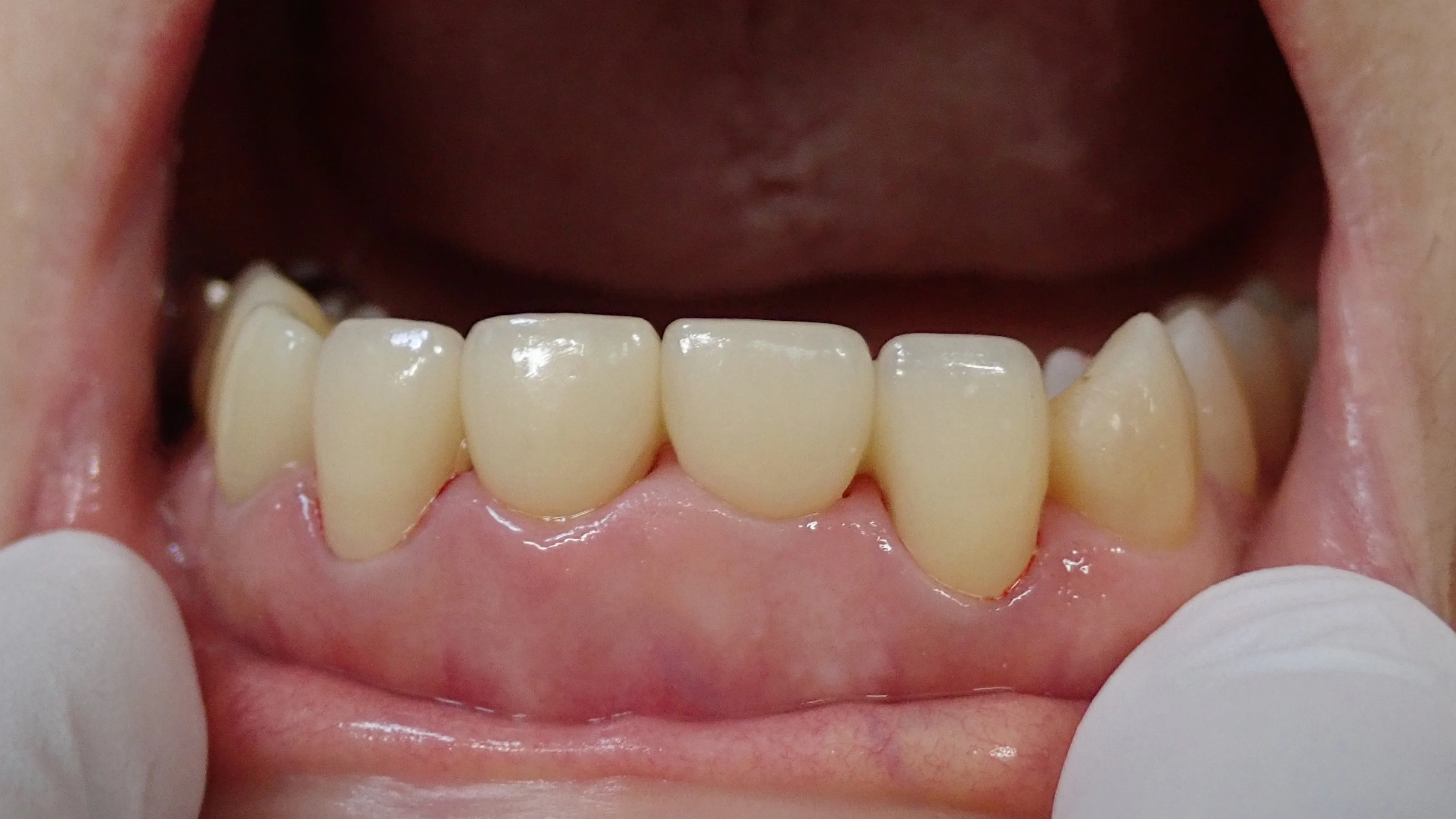
さて、セラミックですし、最終的なものから。

画像の中央4本が今回入れたセラミックになります。
セメント除去後の為、歯茎から血が出てしまっている分、少し分かりやすくなっていますね。
神経の治療を前歯4本で纏めて一気に進めて、前歯4本を一気にセラミックに置き換えました。
割とイメージが付きやすいかと思いますが、1本ずつセラミックに置き換えるよりもこういう具合に隣同士の歯の場合は同じタイミングで纏めて作り直すと色が合わせやすくなるため、治療の審美面でのハードルが非常に低くなります。
わざわざ治療が不要な歯を作り直す必要はないと思いますが、
治療が必要になったのであれば一気に治してしまった方が見た目上、非常に綺麗に仕上がります。
これは保険で治療しても自費で治療しても一緒ですね。
この方は審美領域(上の前歯)という事もあり、仮歯を作成してから神経の治療に入りました。
なので、
①前歯を仮歯に置き換える(60分)
②神経の治療(45分)×3回
③土台立て~セラミックの型取り(60分)
④セラミックのSet(45分)
ということで合計6回の治療でここまで行けました。
通院回数は少ない方が良いという考えの下、診療していますので、1回の治療時間は普通の歯科医院さんよりも長くなってしまう傾向にありますので、そこはご了承ください(;^_^A
まぁ、長い時間抑えてキャンセルになると大赤字になってしまうので、キャンセルが多い方については予約時間を制限させていただいていますけどね('ω')ノ
さて、ちなみに、仮歯の写真と模型の写真がこちらです。


仮歯の表層に仮のセメントのバリが張り付いてザラザラしてますね・・・。
歯とのギャップは無い様に仕上げてましたし、患者さんの歯ブラシが丁寧だったおかげで炎症などはほとんど起きずに綺麗に入れることが出来ました!
歯の模型の写真で見て貰えば分かりますが、被せ物を入れようとするとどうしてもこんな感じに歯を小さく削る必要が出てきます。
歯というものは治療のステージが進めば進むだけ、ご自身の歯は無くなっていき、治療の成功率は低くなっていきます。
そしてそれに対して、治療に掛かる費用はどんどん高くなっていきます。
このブログでもしつこい位に言っていますが、
「治したところは必ずまたダメになります」
だからこそ、治療のステージが進んでいない最初の方(例えば保険の白い詰め物で治すときなど)にどれだけ治療を長持ちさせられるかが、それ以降の人生で非常に大事になってきます。
うちは保険医療機関ですので、基本的には保険診療を行っていますが、最近は自費診療を希望されて来院される方も増えてきています。
日本人の歯に対する意識も段々変わってきており、嬉しい限りです。
「長持ちする治療を希望している」「見た目も良いものにしたい」という希望が御有りの方は最初に自費診療での治療を検討している旨をお伝えいただけると幸いです。
#自費診療,#セラミック,#虫歯の治療,#被せ物