こんにちは。
7月になり随分と気温が上がってきましたね。
脱水などには注意し水分補給を行うようにしてくださいね。
ただスポーツドリンクはむし歯のリスクが高すぎるのでなるべく普通に水や麦茶での水分補給をお願いいたします。
さて、ここ最近遠方からの初診の方や歯科医療従事者からの問い合わせが非常に増えております。
また初診数増加に伴い、急患対応も多くなってまいりましたので、再度ご案内させていただきます。
【当院での初診の取り扱いについて】
当院は現在、予約の患者さんで2~3週間先まで比較的埋まってきている状況になっております。(土曜日は相変わらず1月先まで埋まっております。)
急患の場合は、可能な限りお待ちいただかないよう予約の患者さんの治療内容等を考慮し、日時を指定させていただいております。
従って、どうしても「この曜日のこの時間で」などの希望される日時が限定的な場合は通常の予約をお願いしております。
皆様お仕事や私生活がお忙しい中、2~3週間お待ちいただいた上で予約を取っていただいております。
無理に初診の方の希望に対応することで予約の患者様の治療に影響を及ぼすことは、当院が目標としている「公平公正な医療の提供」には反してしまうと考えております。
痛みがあるなどの急を要する場合は、通常の予約枠ではないため希望の時間のご案内ができかねることを予めご了承ください。
ただし、歯科医師の方はある程度の診断を自分でも問題なく行えるでしょうし、口腔内写真やレントゲン写真を事前に送っていただけるのであれば、当日に処置を行うことも可能となっております。
そのため歯科医師の方はご予約の際には問い合わせフォームよりお問い合わせていただけると比較的スムーズに進むかも知れません。
さて、本日の症例写真はダイレクトボンディングについてです。
今回は千葉県からいらっしゃってくださっている方です。
では、医療法(医療広告ガイドライン)の兼ね合いで毎回書いている内容をまた今回も記載したいと思います。
ダイレクトボンディングのメリットは
・基本的には歯を最も多く残すことが出来る治療法である。
・もし一部欠けたりしても、そこだけ治療しなおすことが出来る。
・歯よりも少し柔らかい(反対側の歯が割れたりはしない)。
・金属を使用しないため、金属アレルギーは生じない。
です。
逆にデメリットとしては、
・材質的に経年劣化を起こしてくるので、後々磨き残しが溜まりやすくなる。
・強度が弱いため、割れたり欠けたりすることがある。
・保険が使えない為、高額(当院では4万円+税です)。
材質的なデメリットは非常に大きいのですが、それを考えても患者さんにお勧めできるメリットは、被せ物になるのを、5年でも10年でも先に伸ばすことが出来るという点です。
1回治療したところは必ずいつか駄目になりますが、その時に歯が残っていれば、ひょっとするとまたダイレクトボンディングで対処できるかもしれませんからね。
私は良く「歯の治療は回数券だ」と患者さんにお伝えしています。
20枚綴りの回数券を治療の度に消費していくとします。
ダイレクトボンディングは1~2枚程度しか消費しない治療法ですが、部分的な金属の詰め物は一気に3~5枚くらい消費するようなイメージで、被せ物についてはは5~10枚消費するようなイメージです。
(先生によってはインレーの段階で10枚くらい一気に行くかもしれません・・・。)
例えばダイレクトボンディングが1回の治療で5年持ったとして…クラウンと同様の5枚消費するには25年かかります。
逆にクラウンを25年以上持たせることが出来るのなら良いのかもしれませんが…それが出来る!と自信満々に答えられる歯科医師はまずいないでしょう。
もちろん先生によって考え方は違いますし、価値観も違うため患者さんがどこの医院を選び、何の材料を選ぶかは人それぞれですが…
少なくとも私が同じような状態で治療を受ける際には可能な限りはダイレクトボンディングで治療してもらいたいですね。
で、ダイレクトボンディングでは無理というサイズになってきたら、今度は被せ物(クラウン)に移行するという流れを希望すると思ってます。
また、治療とは削る量が増えれば増えるだけその難易度も増していきます。それに伴って、持つ期間としても短くなっていってしまいます。
だからこそ小さいサイズの虫歯の時点で、ダイレクトボンディングで治療する意義は非常に大きいんです。
当院は保険医療機関ですので、非常に小さい虫歯の場合は保険適用内の「コンポジットレジン修復」にて治療を行っていますので、もし精度や持ちに拘りがあるのであれば、最初から「ダイレクトボンディングを希望」とお伝えください。
先日来院されてから自費診療を希望された方がいらっしゃったのですが、保険と自費の治療ではその予約時間が大きく異なりますので、本数が制限されてしまい、来院回数が増えてしまうことがあります。
ですので、次回予約の際には「自費診療希望である旨を伝えておいていただければ幸いです。」
今のところはこちらからダイレクトボンディングは如何ですか?という聞き方はしていないため、隠しメニューみたいな存在になってますので、希望される方はよろしくお願いいたします。
さて。
では症例写真に移ります。
まずは術前からです。

画像上で左二つの治療を今回行いました。
真ん中は古いプラスチックが欠けていますがぱっと見はむし歯はなさそうに見えます。
対して左側の歯はどう見ても内部で大きくなってそうな、黒っぽいのが透けて見えている状態です。
軽く削ってみたのがこちらの写真です。

中央の歯のプラスチックはまだ取り切れてはいないですが、すでに虫歯が露出していますね。
左側の歯は表面のエナメル質がほぼ消失して、大きな穴が空いていたのがわかります。
この方はここのところに食べかすが挟まる+フロスが引っかかるとのことでむし歯になっていると言う予測の元、いろいろな医院さんを探して当院を選ばれました。
こういうケースが私が最も得意とする部分ですので、
「さすが歯科衛生士さん。的確な医院選び。」
と思いました笑
さて、虫歯を取り切ったのがこちらになります。

綺麗な歯の色が出たのがわかると思います。
こう言った歯との間の治療を行う際に私が意識していることの1つに、「歯茎側のエナメル質はなるべく残す」というのがあります。
これは接着修復に携わる歯科医師ならほぼ全員知っていることではありますが、歯の最表層に存在するエナメル質と歯の内部に存在している象牙質は接着力が大きく違います。
エナメル質の方が圧倒的に接着力が強く、また後々の加水分解も起こってこないため、この部分にエナメル質が残存しているかどうかは長期予後を得られるかどうかに大きな影響があると私は考えているからです。
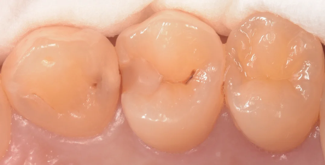
そして治療完了後の写真がこちらになります。

違和感なく綺麗に詰め終われたかと思います。
歯の溝の形態がやや特徴的で、私が良くやるデザインだと違和感が出そうだったため、後ろ半分の部分のデザインを模倣する形で詰めていきました。
歯の形自体もやや難しかったですが、問題なく歯とのあたりも再現できたと思います。
フロスも引っかからず段差もない状態ですので、しっかりと管理していけば長期的に安定して使っていけると思います。
遠方から長時間の治療、お疲れ様でした!