こんにちは。 最近また少しずつ体重が増えてきてしまっているので、少しずつ落とさないとなと思っています(⌒-⌒; )
まぁ無理なダイエットは体に悪いので、無理のない範囲でジリジリとですね・・・!
さて、ここ最近遠方からの初診の方や歯科医療従事者からの問い合わせが非常に増えております。 また初診数増加に伴い、急患対応も多くなってまいりましたので、再度ご案内させていただきます。 【当院での初診の取り扱いについて】 当院は現在、予約の患者さんで1〜2週間先まで比較的埋まっている状況になっております。 急患の場合は、コロナ渦も相まって、可能な限りお待ちいただかないよう予約の患者さんの治療内容等を考慮し、日時を指定させていただいております。 従って、どうしても「この曜日のこの時間で」などの希望される日時が限定的な場合は通常の予約をお願いしております。
皆様お仕事や私生活がお忙しい中、1~2週間お待ちいただいた上で予約を取っていただいております。 無理に初診の方の希望に対応することで予約の患者様の治療に影響を及ぼすことは、当院が目標としている「公平公正な医療の提供」には反してしまうと考えております。 痛みがあるなどの急を要する場合は、通常の予約枠ではないため希望の時間のご案内ができかねることを予めご了承ください。 (基本的な初診時の受診の流れはこちらをご覧ください。) さて、本日はセラミッククラウンについてです。 近隣の方ですね。最近当院近隣でも審美的な治療を希望される方が増えてきました。
見た目というのは社会生活上でとても大事になりますからそれが結構認識されてきているのかなと思います。 では、医療法(医療広告ガイドライン)の兼ね合いで毎回書いている内容をまた今回も記載したいと思います。 セラミッククラウンのメリットは ・生体親和性材料の為、アレルギーなどの反応は生じない。 ・細菌繁殖しにくい為、虫歯や歯周病になりづらい。 ・化学的に安定している為、変形変色などは生じない。 ・セラミックと歯茎は接着するため、歯茎が下がって行きづらい。 です。 逆にデメリットとしては、 ・一部欠けてしまった場合はそこだけの修理などはできず、完全に一度破壊してやり直す必要が出てくる。 ・所謂「陶器」の為、衝撃などに弱く、術者の腕や噛み合わせによっては割れたり欠けたりすることがある。 ・適正な厚みを確保する必要があるため、それが出来ないケースには使用できない。 ・金属の被せ物に比べると歯を削る量が多め。 ・保険が使えない為、高額(当院では1本154,000円(税込)です)。 といったところです。 ダイレクトボンディングのブログの時に毎度書いていますが、私はよく「歯の治療は回数券」と患者さんにお伝えしています。 20枚綴りの回数券を治療の度に消費していくとします。 ダイレクトボンディングは1~2枚程度しか消費しない治療法ですが、部分的な金属の詰め物は一気に3~5枚くらい消費するようなイメージで、被せ物についてはは5~10枚消費するようなイメージです。 セラミッククラウンは被せ物ですので大体5〜10枚使用するような感じです。 ただしメタルクラウンやCAD/CAM冠に比べ、その物性的に非常に予後が良くなりやすい材料でもあります。 そのため、1回1回の治療が長持ちしやすくなり、結果として前述の2つのクラウンよりも歯を残せる確率が上がってきます。 大体何年もつの?と聞かれることがありますが、残念ながら断言しかねます。 元々の歯の残存量はもちろん、神経の治療の有無・噛み合わせや歯並び・TCHなどの習癖など様々な要因によって持ちは変わって来るためです。 ただ一般的には10年を超えて生じるトラブルは寿命と考えた方がいいと言われていますので、大体そのくらいを目安に考えてもらった方がいいかもしれませんね。
それでは実際の症例写真に写っていきます。
まずは仮歯の状態です。

仮歯の段階である程度形を合わせておくことで、最終的な形態の際に必要な厚みが取れているかどうかが分かりやすくなります。
ここら辺、あんまり気にしない先生も多いのですが、私は結構気にするタイプです。
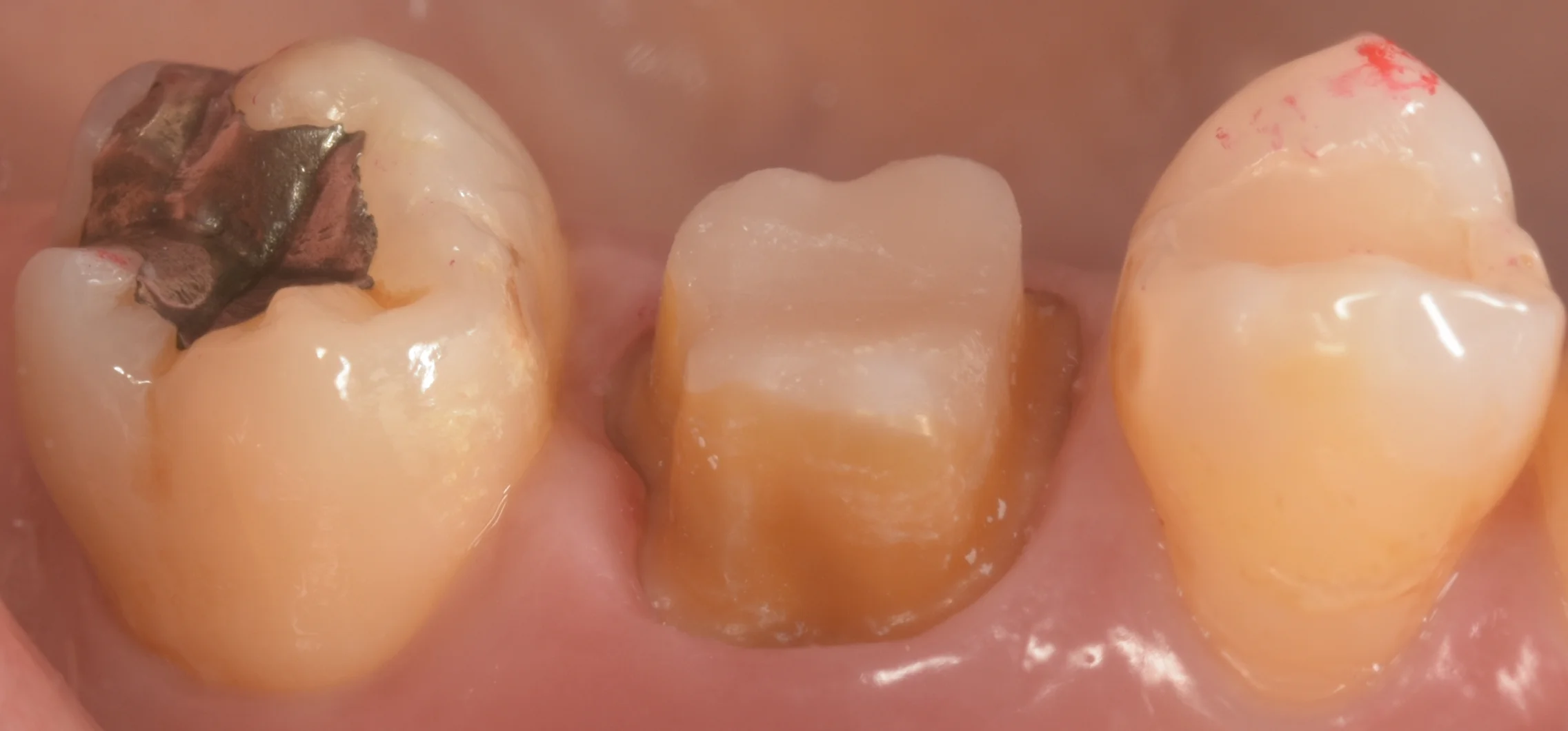
そして仮歯を外したのがこちらです。

少し特殊な形態の歯だったので、形が少しクネクネしている感じになっています。
真上から見たのがこちらです。

セラミックでも保険のCAD/CAM冠でもそうですが、材料にはそれぞれ最小の厚みというものが決まっています。
そしてその厚み以上に取ればいいというわけでもなく、材料の部分を分厚くしすぎると今度は歯が少なくなり剛性が失われることで歯が折れやすくなってしまいます。
そのため、適切な厚みを確保するというのが非常に大切になります。
セミラックの場合は歯茎付近の厚みは1mmは確保すべきとなっているため、歯の厚みとのバランスでこのような形となりました。
そして、Set時の写真がこちらです。

歯のてっぺんあたりの色がやや黄色味がありますが、概ね合ってる感じですね。
適合はバッチリで全く段差もない状態でした。
自費診療を受ければ一生歯が持つということは残念ながらあり得ませんが、それでも時間をかけて一つ一つの工程をしっかりと治療することでその予後は良好になっていきます。
また材料的にセラミックは非常に生体への親和性が高いため、その点でも非常に有利ですね。
なるべく長くしっかりと使っていけるといいですね!
長時間の治療、お疲れ様でしたヽ(゚∀゚)ノ パッ☆