こんにちは。
最近どんどん熱くなっていますね・・・。
熱いのが苦手な私にとってはつらい季節になってきました・・・。
なかなかブログを更新できていませんが、空いた時間に更新していきたいと思いますので、更新しているのを見かけたらラッキーくらいのゆるーい気持ちでお願いします(笑)
さて、今回はメタルボンドブリッジを入れられた方の写真をアップさせていただきます。
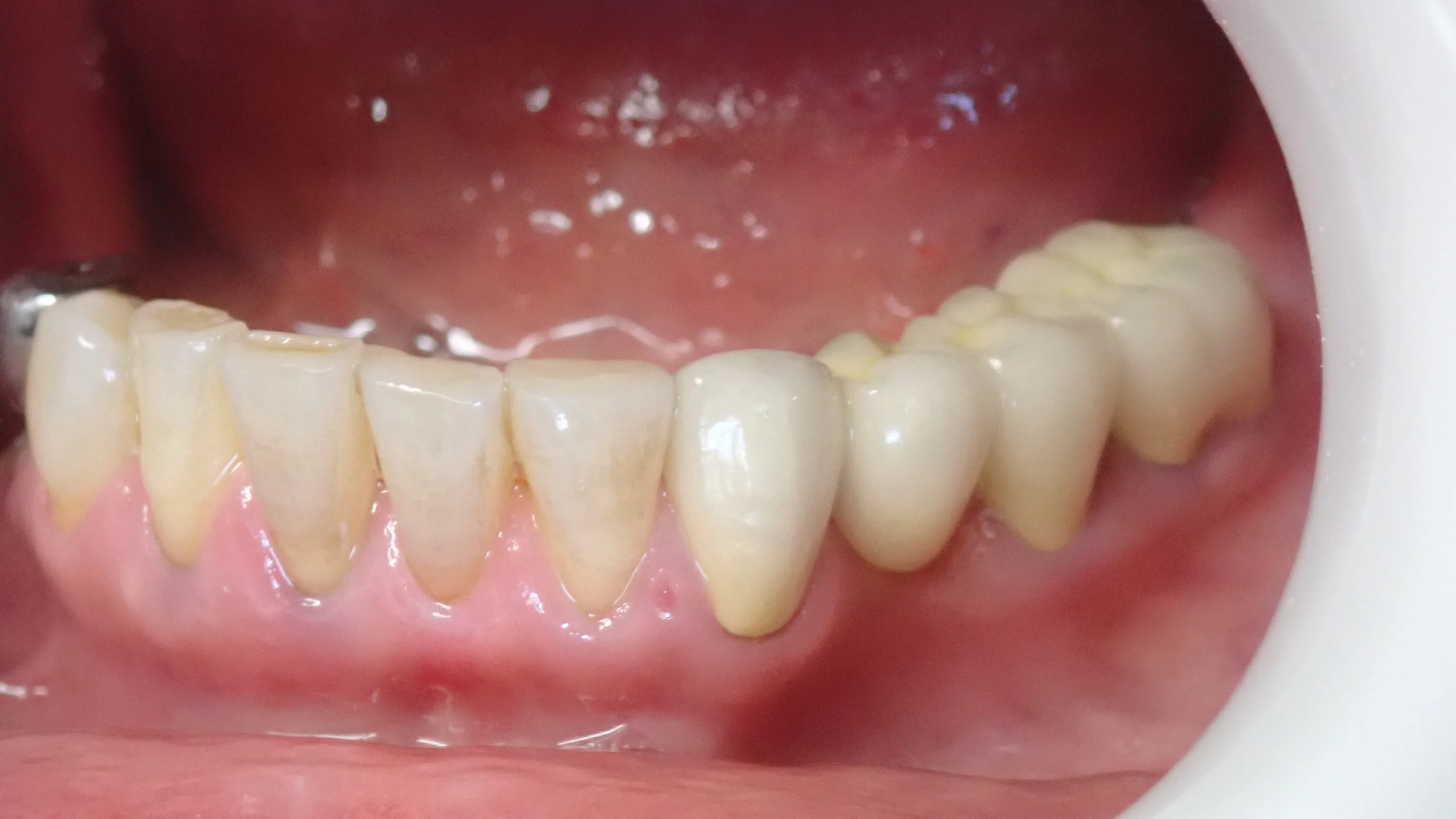
入れたのはこちらです。
どこか分かりますかね?

正解は画面で言うと、右下の4本です。
奥から3つめの歯が欠損しており、3本を土台に使ったブリッジを作成しました。
言われれば、他とは微妙に違うのでわかってしまうとは思いますが、日常生活で一般の方にバレるようなことはないはずです(;^_^A
少なくとも肉眼ではぱっと見分かりませんでしたので、私も患者さんも満足したケースとなりました。
ちなみに、メタルボンドとはなにかというと。
目に見える表層部分にセラミックを使用して、芯となっている部分には金属を使用している治療法となります。

(←根元のグレーの部分が金属です。表層はセラミックですが、内面はすべて金属になっています。)
当院で治療と説明を受けられた方はご存知かと思いますが、
セラミックは非常に安定している物質ですので、その分、劣化というものが非常に少ない材料です。
そのため、「長く使った材料の劣化によって磨き残しが付きやすくなる」ということを防ぐことが出来ます。
要は二次カリエス(治したところからまた虫歯になること)や歯周病に対して非常に有利であるということですね。
ただし、芯となっている部分もセラミックを使用している「オールセラミック」と違い、金属部分からの金属イオンの溶出が起こることがあります。
そのため、金属アレルギーはもちろん、花粉症をはじめとする各種アレルギーをお持ちの方などにとっては少し歯科系金属に対するアレルギーの発症リスクが出てきてしまいます。
歯科で使用する材料にはそれぞれに長所と短所が多く存在しますので、ご自身に合った治療法を選択することが最もお口の健康を維持できる秘訣となります。
それでは、今日はここまでとさせて頂きます。
また同様の治療結果を載せていきたいと思いますので、気長にお待ちください(-_-;)
#自費診療 #メタルボンド