こんにちは。
大きなセミナーの講師が無事終了しました。
全3回のセミナーとなりましたが、3回で合計参加人数が1000人を超えました。
そのほとんどが歯科医師ですが、一部獣医さんも居ると言う・・・どうやら獣医学の方でも歯科を重要視する先生が増えてきているようですね。
人間に対する治療技術がどこまで応用できるかは不明ですが・・・まぁでも歯科の実験も最初は犬とかで試すので案外応用できそうですね。
さて、ここ最近遠方からの初診の方や歯科医療従事者からの問い合わせが非常に増えております。
また初診数増加に伴い、急患対応も多くなってまいりましたので、再度ご案内させていただきます。
【当院での初診の取り扱いについて】
当院は現在、予約の患者さんで1~2週間先まで比較的埋まってきている状況になっております。(土曜日は相変わらず1月先まで埋まっております。)
急患の場合は、コロナ禍も相まって、可能な限りお待ちいただかないよう予約の患者さんの治療内容等を考慮し、日時を指定させていただいております。
従って、どうしても「この曜日のこの時間で」などの希望される日時が限定的な場合は通常の予約をお願いしております。
皆様お仕事や私生活がお忙しい中、1~2週間お待ちいただいた上で予約を取っていただいております。
無理に初診の方の希望に対応することで予約の患者様の治療に影響を及ぼすことは、当院が目標としている「公平公正な医療の提供」には反してしまうと考えております。
痛みがあるなどの急を要する場合は、通常の予約枠ではないため希望の時間のご案内ができかねることを予めご了承ください。
また、初診の方で痛みが強い場合や緊急性が高い場合においては当院に無理に来て何時間も待つくらいであれば他の空いている医院さんを受診していただいた方が療養上良いと判断できる場合は他院へのお勧めすることもございますのでご了承ください。
ただし、歯科医師の方はある程度の診断を自分でも問題なく行えるでしょうし、口腔内写真やレントゲン写真を事前に送っていただけるのであれば、当日に処置を行うことも可能となっております。
そのため歯科医師の方はご予約の際には問い合わせフォームよりお問い合わせていただけると比較的スムーズに進むかも知れません。
さて、本日の症例写真は保険適用のコンポジットレジン充填(以下CR)についてです。
では、医療法(医療広告ガイドライン)の兼ね合いで毎回書いている内容をまた今回も記載したいと思います。
CRのメリットは
・基本的には歯を最も多く残すことが出来る治療法である。
・もし一部欠けたりしても、そこだけ治療しなおすことが出来る。
・歯よりも少し柔らかい(反対側の歯が割れたりはしない)。
・金属を使用しないため、金属アレルギーは生じない。
・保険適用のため、費用はそれのみで2000円前後(歯周治療も同日に行ったりする場合は金額が前後します。)
です。
逆にデメリットとしては、
・材質的に経年劣化を起こしてくるので、後々磨き残しが溜まりやすくなる。
・強度が弱いため、割れたり欠けたりすることがある。
材質的なデメリットは非常に大きいのですが、それを考えても患者さんにお勧めできるメリットは、被せ物になるのを、5年でも10年でも先に伸ばすことが出来るという点です。
1回治療したところは必ずいつか駄目になりますが、その時に歯が残っていれば、ひょっとするとまたCRで対処できるかもしれませんからね。
私は良く「歯の治療は回数券だ」と患者さんにお伝えしています。
20枚綴りの回数券を治療の度に消費していくとします。
CRは1~2枚程度しか消費しない治療法ですが、部分的な金属の詰め物は一気に3~5枚くらい消費するようなイメージで、被せ物についてはは5~10枚消費するようなイメージです。
(先生によってはインレーの段階で10枚くらい一気に行くかもしれません・・・。)
例えばCRが1回の治療で5年持ったとして…クラウンと同様の5枚消費するには25年かかります。
逆にクラウンを25年以上持たせることが出来るのなら良いのかもしれませんが…それが出来る!と自信満々に答えられる歯科医師はまずいないでしょう。
もちろん先生によって考え方は違いますし、価値観も違うため患者さんがどこの医院を選び、何の材料を選ぶかは人それぞれですが…
少なくとも私が同じような状態で治療を受ける際には可能な限りはCRで治療してもらいたいですね。
で、CRでは無理というサイズになってきたら、今度は被せ物(クラウン)に移行するという流れを希望すると思ってます。
また、治療とは削る量が増えれば増えるだけその難易度も増していきます。それに伴って、持つ期間としても短くなっていってしまいます。
だからこそ小さいサイズの虫歯の時点で、CRで治療する意義は非常に大きいんです。
当院は保険医療機関ですので、小さい虫歯の場合は基本的に保険適用内の「コンポジットレジン修復」にて治療を行っていますが、もし精度や持ち・見た目に拘りがあるのであれば、最初から「ダイレクトボンディングを希望」とお伝えください。
先日予約日時に来院されてから自費診療を希望された方がいらっしゃったのですが、保険と自費の治療ではその予約時間が大きく異なりますので、本数が制限されてしまい、来院回数が増えてしまうことがあります。
ですので、次回予約の際には「自費診療希望である旨を伝えておいていただければ幸いです。」
今のところはこちらからダイレクトボンディングは如何ですか?という聞き方はしていないため、隠しメニューみたいな存在になってますので、希望される方はよろしくお願いいたします。
さて。
では症例写真に移ります。
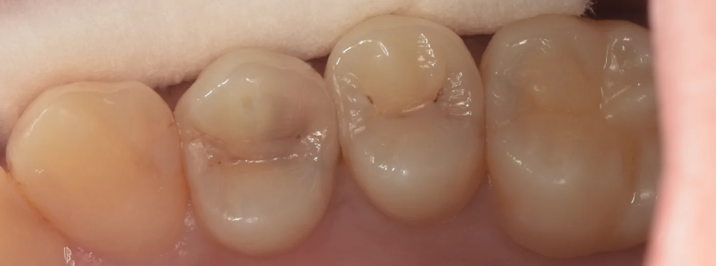
まずは術前からです。

見た目上はちょっと黒っぽいかな?程度ですが、実は軽く削ってみると・・・

こんな感じで内部に非常に大きな虫歯があるのが分かります。
虫歯がここまで大きく進むまでは10年近くの年月がかかります。
今まで定期的に検診で診てもらっていたとのことなのですが、肉眼で見るだけではどうしても見落としが生じてしまうため、当院では最低でも2年に1回のペースで全体的なレントゲン診査を行うようにしています。
じゃないと私も見落とす危険性がありますからね・・・。
しかも定期的にレントゲンを撮っておくことで、虫歯だけではなく癌を含めた疾患の経過も追うことができるため、急速に大きくなっているのか、緩慢な変化なのかが分かりやすくなるというメリットがあります。
現在定期検診で受診している方も定期的にレントゲンを撮影していなければ見落としなどが生じる危険性がありますから担当医に依頼すると良いかもしれません。
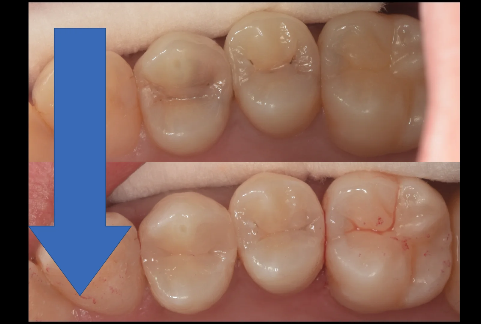
そして虫歯を取り切ったのがこちらになります。

非常に深く、どちらも神経が一層出てしまいました。
そのためVPTと呼ばれる神経を温存する処置も並行して行いました。
神経の治療に発展するとまた急激に歯の寿命が短くなってしまいますので、なるべく神経を取るのは最終手段にしたいところですね。
神経の治療自体、成功率はどれだけ頑張っても100%にはなり得ないですからね。
複雑すぎる根っこ部分の神経に触らずに温存できるならそれが一番ですね(●´ω`●)
詰め終わったのがこちらになります。

比較的自然に詰め終われたと思います。
今回私が治療介入した最初の歯科医師だったと言うこともあり、非常に多くの歯を温存することができました。
基本的に最初に介入する歯科医師というのは非常に重要な立場になります。
というのも、上記した通りですが歯と言うのは一度削ると元に戻せません。
ですのでこの時にインレーなどで大きく歯を削ってしまうとそれ以降の歯の強度が一気に下がってしまいます。
また、その再治療の際にもさらに大きく削ることになってしまうため、ますます治療の難易度が上がっていってしまいます。
ですので、ここでも歯科医院選びが重要だと言うことが分かります。
できれば永久歯が生え始める小学生くらいからある程度予防の方に注力している歯科医院さんを受診しておくと今後の人生でかなり有利になってくると思いますので、ご自身はもちろん家族の受診先を考えるときはそう言うのでも選ぶと良いと思います。
さて。治療前後の比較の写真です。

以上となります。
長時間口を開きっぱなしになって大変だったとは思います。
長時間の治療、お疲れ様でした!