こんにちは。 最近またダイエットを再開しました。
3ヶ月ごとの定期管理でお会いしている方にびっくりしていただけるように頑張ります・・・笑
さて、ここ最近遠方からの初診の方や歯科医療従事者からの問い合わせが非常に増えております。 また初診数増加に伴い、急患対応も多くなってまいりましたので、再度ご案内させていただきます。 【当院での初診の取り扱いについて】 当院は現在、予約の患者さんで1〜2週間先まで比較的埋まっている状況になっております。 急患の場合は、コロナ渦も相まって、可能な限りお待ちいただかないよう予約の患者さんの治療内容等を考慮し、日時を指定させていただいております。 従って、どうしても「この曜日のこの時間で」などの希望される日時が限定的な場合は通常の予約をお願いしております。
皆様お仕事や私生活がお忙しい中、1~2週間お待ちいただいた上で予約を取っていただいております。 無理に初診の方の希望に対応することで予約の患者様の治療に影響を及ぼすことは、当院が目標としている「公平公正な医療の提供」には反してしまうと考えております。 痛みがあるなどの急を要する場合は、通常の予約枠ではないため希望の時間のご案内ができかねることを予めご了承ください。 (基本的な初診時の受診の流れはこちらをご覧ください。) さて、本日は審美領域の治療、セラミッククラウンについてです。
近隣の方ですね。最近当院近隣でも審美的な治療を希望される方が増えてきました。
見た目というのは社会生活上でとても大事になりますからそれが結構認識されてきているのかなと思います。 では、医療法(医療広告ガイドライン)の兼ね合いで毎回書いている内容をまた今回も記載したいと思います。 セラミッククラウンのメリットは ・生体親和性材料の為、アレルギーなどの反応は生じない。 ・細菌繁殖しにくい為、虫歯や歯周病になりづらい。 ・化学的に安定している為、変形変色などは生じない。 ・セラミックと歯茎は接着するため、歯茎が下がって行きづらい。
・自費診療で時間の制約がないため、精度の高い治療を行いやすい
・担当する技工士さんが熟練の技術を有しているベテランの方のため、精度が高いものができる。
です。 逆にデメリットとしては、 ・一部欠けてしまった場合はそこだけの修理などはできず、完全に一度破壊してやり直す必要が出てくる。 ・所謂「陶器」の為、衝撃などに弱く、術者の腕や噛み合わせによっては割れたり欠けたりすることがある。 ・適正な厚みを確保する必要があるため、それが出来ないケースには使用できない。 ・金属の被せ物に比べると歯を削る量が多め。 ・保険が使えない為、高額(当院では1本140,000〜180,000円(税込)です)。 といったところです。 ダイレクトボンディングのブログの時に毎度書いていますが、私はよく「歯の治療は回数券」と患者さんにお伝えしています。 20枚綴りの回数券を治療の度に消費していくとします。 ダイレクトボンディングは1~2枚程度しか消費しない治療法ですが、部分的な金属の詰め物は一気に3~5枚くらい消費するようなイメージで、被せ物についてはは5~10枚消費するようなイメージです。 セラミッククラウンは被せ物ですので大体5〜10枚使用するような感じです。 ただしメタルクラウンやCAD/CAM冠に比べ、その物性的に非常に予後が良くなりやすい材料でもあります。
そのため、1回1回の治療が長持ちしやすくなり、結果として前述の2つのクラウンよりも歯を残せる確率が上がってきます。 大体何年もつの?と聞かれることがありますが、残念ながら断言しかねます。 元々の歯の残存量はもちろん、神経の治療の有無・噛み合わせや歯並び・TCHなどの習癖など様々な要因によって持ちは変わって来るためです。 ただ一般的には10年を超えて生じるトラブルは寿命と考えた方がいいと言われていますので、大体そのくらいを目安に考えてもらった方がいいかもしれませんね。
それでは実際の症例写真に写っていきます。
まずは術前、初診時の口腔内写真です。

画面左側のブリッジ部分の審美不良を主訴として来院されましたが、画面右側前歯3本も結構大きな虫歯になっており、そちらも被せ物にしないと持たなそうでしたので、そのまま上の前歯6本をセラミックの治療で行うこととなりました。
こちらの方は歯の形や見た目に強いこだわりがある方でしたので、技工士さんにプロビジョナルレストレーションを作成していただき、それを調整することで形を煮詰めていきました。
プロビジョナルレストレーションは私の中では最終的な被せ物の形をイメージする+歯茎を綺麗な形態にするために入れるものですので、一般的な保険診療で行っている仮歯とは材質は同じでも全く違うものとなります。
そしておおよそ4回の来院で煮詰め終わった仮歯の形がこちらです。

色も残りの歯に合わせてプロビジョナルを作ってもらったのですが、患者さんはもっと白くしたいとのことでしたので、対応できるもので最も白い色で最終的なものを作成していただきました。
正直ここまで形を綺麗にしたプロビジョナルを作れる技工士さんは限られています。
相当上手に作ってくださったので、こちらも嬉しかったですね。
最終的なものがこちらです。

噛む面から撮影したものがこちらになります。
元々保険ブリッジの入っていた右上の歯の状態がやはり悪く、深いところまで虫歯になっていたため、型取りが非常に大変でした・・・。

画面いちばん左の歯の内部に黒いのが見えていますが、これは前回の治療の時に使用していた土台部分の金属の色が沈着した部分ですので、虫歯ではありません。
むしろここを除去すると歯が折れるリスクが高くなるため、今回は温存しました。
プロビジョナルの時点で歯ブラシを相当頑張ってくれていたので、これだけ歯茎の深くまで削り込んだケースでも、歯茎に炎症がほぼなく綺麗な状態でした。
被せ物を入れた状態がこちらです。

ブリッジの部分はその強度的にどうしてもこういう厚みのある形態になりますが、これは仕方がない部分ですね。
これを無くそうとするとインプラントしかなくなってしまいます。
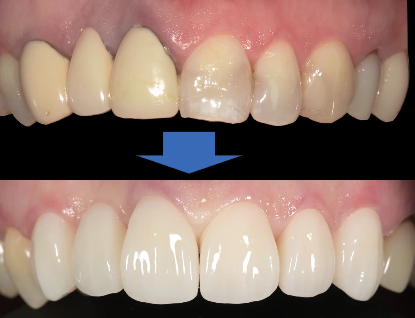
術前術後です。

撮影日が別日のため、画角がずれてしまっていますが、随分と見た目が綺麗になったのはわかると思います。
長期間・複数回にわたる治療、お疲れ様でした!
歯茎に関してはこの後のブラッシングでさらにあってくると思われますので、引き続きこの調子で定期管理に来つつ、セルフケアも頑張っていただければ相当持つと思います。
お互い頑張っていきましょう(●´ω`●)