こんにちは。
HPのTOPに妻が妊娠中とのことを記載しておりましたが、この度無事に出産を終え、家族が1人増えました。
3200gの元気な男の子です。
これからがむしろ忙しくはなりますが、家族一丸となり頑張っていきたいと思います。
さて、ここ最近遠方からの初診の方や歯科医療従事者からの問い合わせが非常に増えております。初診数増加に伴い、急患対応も多くなってまいりましたので、再度ご案内させていただきます。
【当院での初診の取り扱いについて】
当院は現在、予約の患者さんで3~4週間先まで完全に埋まっている状況になっております。
急患の場合は、コロナ渦も相まって、可能な限りお待ちいただかないよう予約の患者さんの治療内容等を考慮し、日時を指定させていただいております。
従って、どうしても「この曜日のこの時間で」などの希望される日時が限定的な場合は通常の予約をお願いしております。
皆様お仕事や私生活がお忙しい中、3~4週間お待ちいただいた上で予約を取っていただいております。
無理に初診の方の希望に対応することで予約の患者様の治療に影響を及ぼすことは、当院が目標としている「公平公正な医療の提供」には反してしまうと考えております。
痛みがあるなどの急を要する場合は、通常の予約枠ではないため希望の時間のご案内ができかねることを予めご了承ください。
さて、本日の症例写真はダイレクトボンディングについてです。
今回は他県から3時間掛けてお越しくださっている方の治療です。
じゃ、医療法(医療広告ガイドライン)の兼ね合いで毎回書いている内容をまた今回も記載したいと思います。
ダイレクトボンディングのメリットは
・基本的には歯をできる限り多く残すことを目指す治療法である。
・もし一部欠けたりしても、そこだけ治療しなおすことが出来る。
・歯よりも少し柔らかい(反対側の歯が割れたりはしない)
・金属を使用しないため、金属アレルギーは生じない。
です。
逆にデメリットとしては、
・材質的に経年劣化を起こしてくるので、後々磨き残しが溜まりやすくなる
・強度が弱いため、割れたり欠けたりすることがある。
・保険が使えない為、高額(当院では4万円+税です)
材質的なデメリットは非常に大きいのですが、それを考えても患者さんにお勧めできるメリットは、被せ物になるのを、5年でも10年でも先に伸ばすことが出来るという点です。
1回治療したところは必ずいつか駄目になりますが、その時に歯が残っていれば、ひょっとするとまたダイレクトボンディングで対処できるかもしれませんからね。
私は良く「歯の治療は回数券だ」と患者さんにお伝えしています。
20枚綴りの回数券を治療の度に消費していくとします。
ダイレクトボンディングは1~2枚程度しか消費しない治療法ですが、部分的な金属の詰め物は一気に3~5枚くらい消費するようなイメージで、被せ物についてはは5~10枚消費するようなイメージです。
(先生によってはインレーの段階で10枚くらい一気に行くかもしれません・・・。)
例えばダイレクトボンディングが1回の治療で5年持ったとして…クラウンと同様の5枚消費するには25年かかります。
逆にクラウンを25年以上持たせることが出来るのなら良いのかもしれませんが…それが出来る!と自信満々に答えられる歯科医師はまずいないでしょう。
もちろん先生によって考え方は違いますし、価値観も違うため患者さんがどこの医院を選び、何の材料を選ぶかは人それぞれですが…
少なくとも私が同じような状態で治療を受ける際には可能な限りはダイレクトボンディングで治療してもらいたいですね。
で、ダイレクトボンディングでは無理というサイズになってきたら、今度は被せ物(クラウン)に移行するという流れを希望すると思ってます。
また、治療とは削る量が増えれば増えるだけその難易度も増していきます。それに伴って、持つ期間としても短くなっていってしまいます。
だからこそ小さいサイズの虫歯の時点で、ダイレクトボンディングで治療する意義は非常に大きいんです。
当院は保険医療機関ですので、非常に小さい虫歯の場合は保険適用内の「コンポジットレジン修復」にて治療を行っていますので、もし精度や持ちに拘りがあるのであれば、最初から「ダイレクトボンディングを希望」とお伝えください。
先日来院されてから自費診療を希望された方がいらっしゃったのですが、保険と自費の治療ではその予約時間が大きく異なりますので、本数が制限されてしまい、来院回数が増えてしまうことがあります。
ですので、次回予約の際に「自費診療希望である旨を伝えておいていただければ幸いです。」
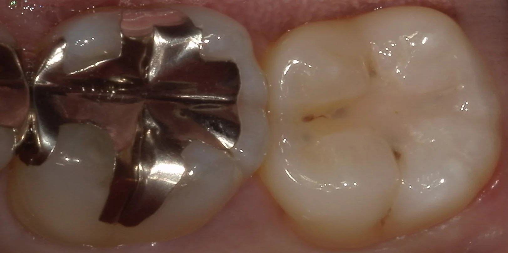
では術前の写真からです。

画像右側の写真が今回治療を行った部分になります。
もともと保険の白い詰め物で治療されていますが、透けて取り残しが見えているというのと、画像の上と下の部分に微小な漏洩が起こっており、そこから内面に大きく虫歯が進行している状態でした。
サイズで行くと非常に小さな虫歯ではありますので、保険診療でもある程度の予後は期待できるかと思われますが・・・
少しでも長く使いたいとのことでしたので、自費診療へと切り替えて治療を行うこととなりました。
うちでは自費と保険では接着システムを変えています。
一応材料学的な数値としては接着強さは保険と自費で2倍違うものを使用していますので、持ちも大きく変わってきます。
正確には違いますが、イメージで言うとそのまま2倍の持ちで考えてもらった方がわかりやすいと思います。
毎回書いていますが、治療は回数券です。
小さな虫歯を保険で行った場合、仮に10年持ったとして、自費で治療を行った場合、うまくいくと20年持つかもしれません。
20年持つとなるとその歯を生涯残せる可能性はぐっと上がってきます。
だからこそ「小さい虫歯ほど自費診療で治療した場合のコスパはよくなる」んですよね。
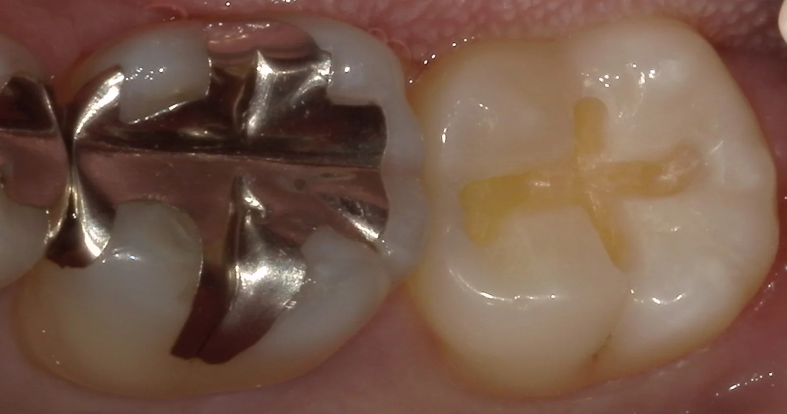
さて、そして詰め物だけ外したのがこちらです。

透けて見えていた部分はそこまで深くありませんが、画面の上下に位置する黒い部分。
ここが非常に深かったです。
そして、虫歯を取り切ったのがこちらの写真です。

綺麗に歯の色が出たのがわかるかと思います。
詰め物の治療をする際、着色部分も含めてしっかりと除去しておいた方が接着には有利に働くのがわかっていますので、無理のない範囲で除去しきるようにしています。
そして、詰め終わったのがこちらです。

実は小さい虫歯ほどその形態を付与するのは難しいのですが、うまいこと付与できたかと思います。
時間がかかった分、歯が乾燥して色があっていない箇所もありますが、1週間もすれば歯に水分が戻り、色は馴染んでくるはずです。
これだけ歯がしっかりと残っている状態なので、非常に長期的な予後が期待できると思いますので、私もその予後を追うのが楽しみですね。
遠方から長時間の治療、お疲れさまでしたヽ(゚∀゚)ノ パッ☆