こんにちは。
前回の記事でもお書きした、セミナーですが、突発的に開催が決定したものにも僅か2日で100人定員の所、150人近くのご応募があり、早々に締め切りました。
セミナー自体は無事に終了し、参加者の皆様からは大変なご好評をいただきました。
非常に大きな舞台で緊張しましたが、比較的楽しく講師を出来たかと思います。
・・・あがり症なので、なるべく人前には立ちたくないですけどね・・・(;'∀')
さて、今日は、
いつも通り、保険の白い詰め物なんですが・・・
若干違うのが、噛む面ではなく、歯の側面の治療です。
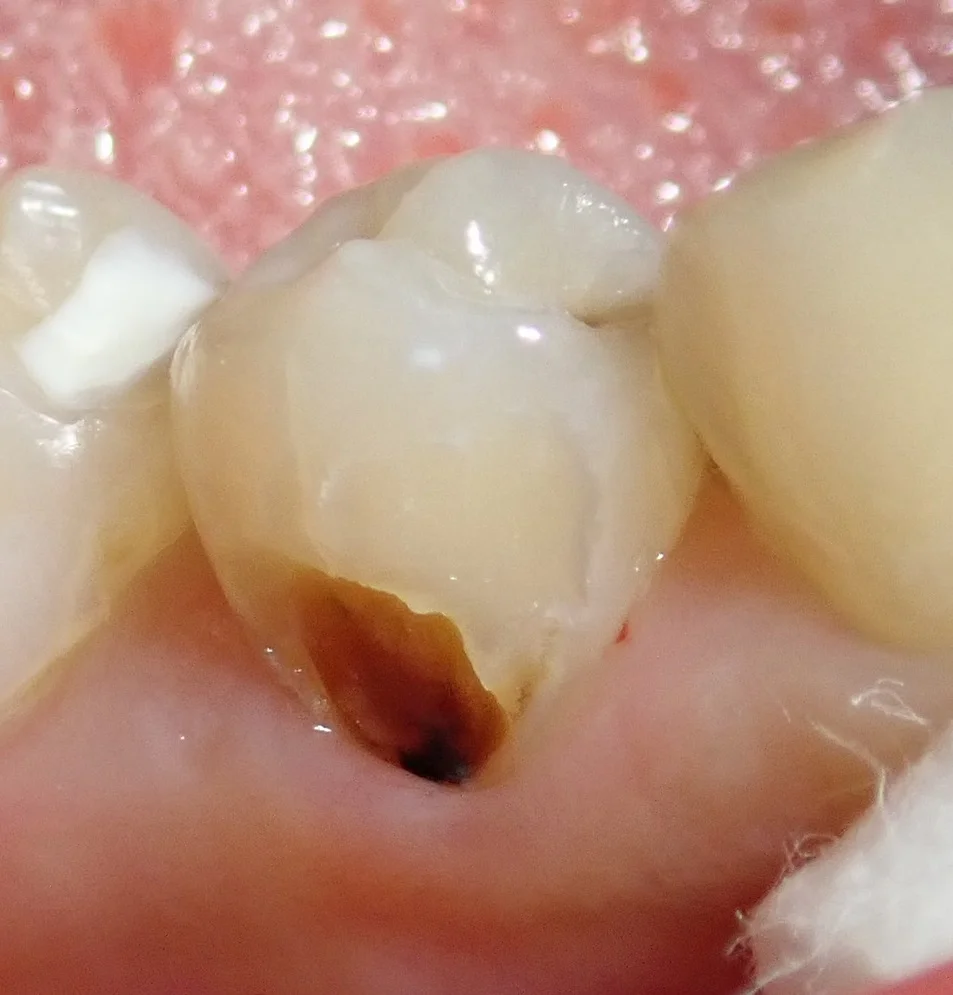
早速術前写真ですが、
こんな感じです。

この赤丸の部分なんですが、もともと入っている白い詰め物が適合が悪く、下の部分で虫歯になって黒くなっています。
また、虫歯の期間が長かったのか、虫歯によって空いた穴に歯茎が入り込んでいる状態でした。
古い詰め物を外した時の写真がこちらです。

こうみると結構真っ黒になっているのが分かるかと思います。
そして取りきった写真がこちらです。

歯茎が盛り上がってて、削ったところに入り込んでいたため、
この下の写真のように圧排糸という、歯茎を押しのける糸を入れて、入り込んだ歯茎を押しのけていきます。

で、大体詰めた状態がこうなります。

この時点で大分歯の形には近づいているかと思いますが、若干形態に不備がありますので、調整しました。
その後、研磨したのがこちらです。

術前術後で見比べるとこんな感じです。

形が綺麗に修正されているのが分かるかと思います。
同じ治療方法で、同じ費用でも仕上がりが変わると持ちが大きく変わってきます。
歯科医師によって治療の得手不得手がありますので、レジンでの治療を希望するのであれば、やはりレジンが得意な先生を探されるのが大切かと思います。
#保険診療,#虫歯の治療,#コンポジットレジン