こんにちは。
なんか最近このHP・・・というかブログのアクセス数が急増しているんですが、なぜでしょう?
どこかで晒されたんじゃなかろうかとハラハラしています(;'∀')
まぁ歯チャンネルで顔出して回答しているので、今更なんですけどね。
さて。
今日は当院で複数の歯の神経の治療を行った方で非常にいい結果になってくれた方が居るのでそのご報告をさせて頂きます。
神経の治療の成功率についてはこちらの記事でも記載しましたが・・・
通常外国の専門医では
①初回の神経の治療が80%~90%
②2回目以降の神経の治療が70%以下
となっています。
日本国内で2011年の情報では
保険の根管治療の成功率は3割〜5割
となってます。
原因としては保険診療での料金設定が低すぎるからですね。
時間をかけてちゃんとやればやるだけ赤字になる治療なので、適当に1回5分も掛けないでちゃちゃっと終わらせるという治療をやっているところもあるそうです。
なんせ根管治療の点数は1根管(根が一つしかないもの)で30点ですからね。
30点ていうことは、医院に入る総額としては300円です。
窓口負担額としてはその3割なので90円ですね。
もちろんこれに再診料や月々の管理料などが入ってくるので費用はもう少し行きますけど・・・
子供のお駄賃じゃないんですから・・・(笑)
私は根管治療はそれなりに気合を入れてやっているつもりですので、根の洗浄だけで1時間取ったりしますが・・・
そうなると要は時給300円ですからね。
私と受付・助手の3人に別けるとそれぞれ時給100円ですよ。
最低賃金を圧倒的に更新するというね(;'∀')
逆に5分しか処置を行っていないのであれば、1時間で20人の治療が行えるわけですから、時給は6000円となります。このくらいであれば人件費で考えても採算が取れる感じですね。
正直者が馬鹿を見るじゃないですけど、真面目にやればやるほど損するシステムってどうにかなりませんかねぇ!?
・・・また話が横にずれてしまいましたね・・・。
保険診療の話になるとついつい横道に逸れてしまいますね(-_-;)
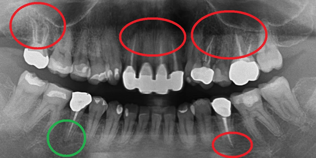
では本題の写真がこちらです。
こちらが術前で

こちらが術後1年半経過後、初診に戻った際に撮影したものです。

赤丸の部分がすべて私の方で神経の治療を行わせていただいた部分になります。
緑丸の部分が治療を行っていないところですね。
そしてそれら全てで根の先の膿が小さくなっているのがわかります。
本数的に言うと・・・7本ですね。
また治療後の補綴物も全て適合よく入っているので、まったく問題ありません。
上記した通り、保険診療は時間をかけて処置をしても、逆にささっと終わらせても医院サイドで得られる収入は変わりません。
10年後にここに通院しておいて方が良かった・・・と思えるような医院選びが出来ると良いですね。
#根管治療,#成功率,#保険診療