コロナ騒動が全く落ち着く気配がありませんね。
TVをあまり見ない私はいつも通り生活していますが・・・
メディアでは結構不安を煽ってきているようですし、SNSではデマが横行しているので、真偽をしっかりと見抜きながらむやみやたらと踊らされないように注意したいですね。
そういえば東日本大震災でもデマとか風評被害がやたらと起こってましたね・・・。
さて、今日は
こちらのブログでも紹介したiTero Element2で仕上がった症例についてご紹介したいと思います。
自費で治療されている方々は既に皆さんiTero Element2を使用して型取りを行っていますが・・・あまりに便利。
なんで今までこれを導入していなかったのかと言いたくなる程便利です。
今後は確実に治療のデジタル化が進んでくると言われていますが、今後も歯科界の流れに乗り遅れて浦島太郎のようにならないように気を付けていきたいと思います。
iTero Element2を使った口腔内のスキャンについては上記リンクで飛べるブログを参照して頂くとして・・・
今回は技工所さんから仕上がってきたものメインで記載します。
いつもは送った後、石膏の模型で仕上がってきていたんですが・・・
今回は、


こんな感じの3Dプリンターで模型が仕上がってきました!
前のブログでも書きましたが、
従来の型取りで行う方法は実は精度の良いものを作るのは非常に難しいです。
というのも、
①「型取りの材料が固まるときに収縮」し、
②「石膏を注ぐまでに時間が経つとそれでも収縮」し、
③「石膏によって模型に起こす際には膨張した後収縮」して、
④「技工士さんが模型を削りだす際に歯と模型の溝を誤って削って」しまう事もあり・・・
⑤そしてその後、「技工士さんが金属やセラミックを作るときにワックスで形を整えた後に材料に何百度という高温を加えて、室温にゆっくり冷やしていく為、それでまた変形」が起こってしまいます。
ざっと思いつく限りでもこれだけの変形の要因が起こってきます。
だからこそ調整なしで技工物が入るというのは非常に少なく、また技工士さんの技術が必要になってくるんです。
調整なしでセット出来るという事は、技工士さんが付与した形態を壊さないで済むため、見た目上非常に綺麗に仕上がりやすいです。
保険診療の場合は見た目はサポートされていませんが、自費診療の場合は見た目も重要な項目の1つですからね。
形態を壊さないで済むというのは非常に大きなメリットなんです。
さて、それに対してこのiTero Element2は
口の中の情報を直接スキャンすることで①~②のリスクが無くなり、
模型に起こす際にも3Dプリンターを用いることで③~④のリスクが無くなり、
その後、従来の形を整えた後に材料に熱を加えて冷やすという工程をしなくて済むよう、既に完成された材料を削りだすことで材料の硬化時の変形を無くすことが出来ます。
上記の結果、ほとんど調整不要なセラミックが仕上がってきます。
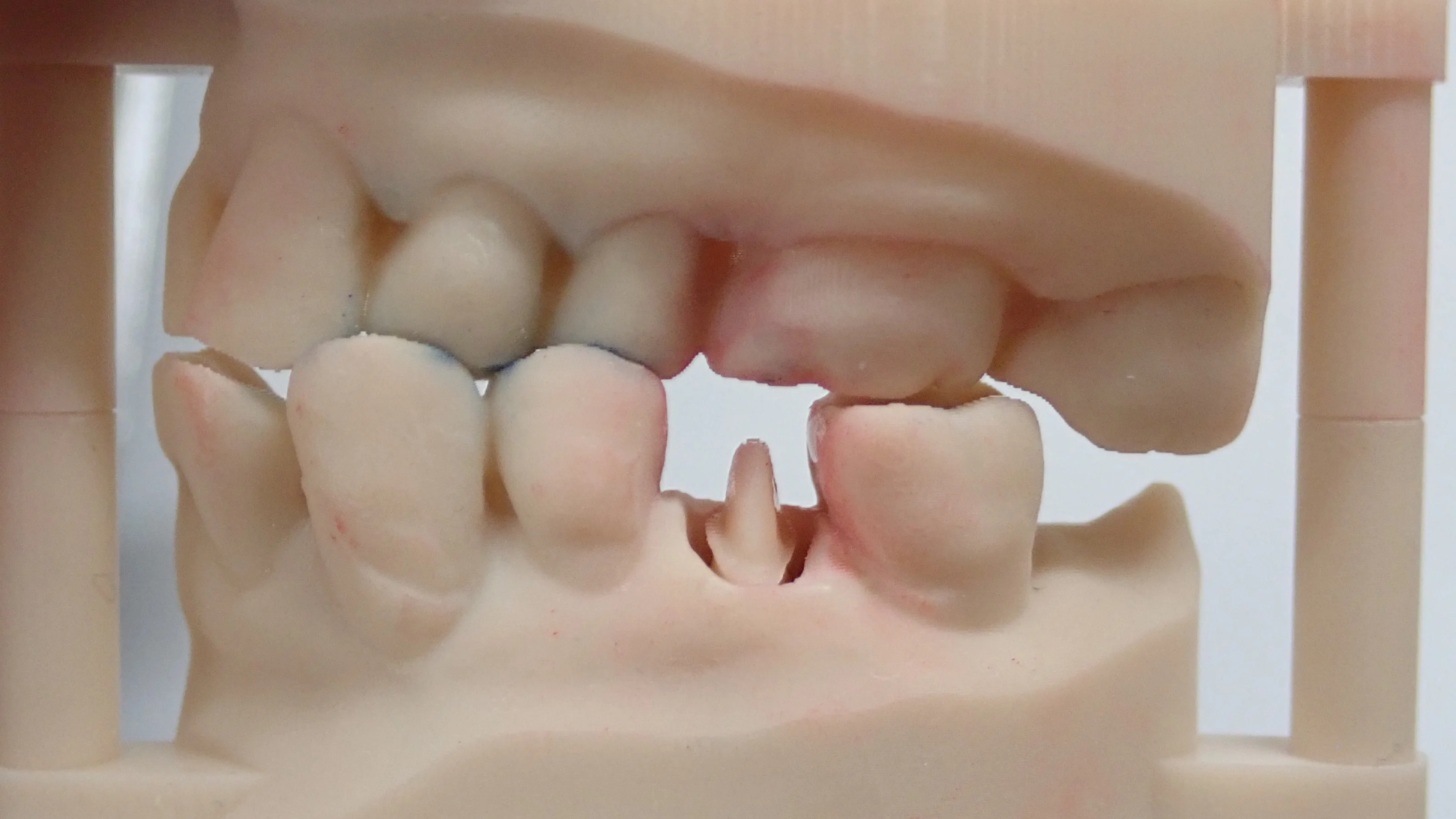
ちなみに、仕上がったセラミックを入れる前の口の中がこちらです。

で、入れた後がこちらです。

実際に適合を見てみると、こんなに適合良いのか!と驚きました。
ほぼ無調整で入るので、気持ちいいですよね。
今後も治療の質を向上できるように、勉強はもちろんですが、設備投資もしっかりと行っていこうと思います!
#自費診療,#セラミック