こんにちは。
そういえば保健所の立入調査の際に担当者の方からうちのHPについては特に指摘などはありませんでしたが・・・
一般的なHP上の違法行為についての話がありました。
その中で言われたのが、「HPで症例を出す際には患者が誤解をするようなことは書かないように」とのことでした。
またなかなかに難しい表現ですが・・・
「所謂チャンピオンケースしか載せていないとかですかね?」と聞いたら「そうですね。それとか患者の口コミを載せているとかです。」と言われました。
チャンピオンケースというのは要は非常に上手くいった100点満点の症例ということです。
それのみを載せて、あたかも全員が全員このレベルの治療を行っていますよ~!と出すことです。
でも実際には人間なので常に100点を取り続けられる訳じゃないですよね?
なので、そういった上手くいったケースのみを載せるのはダメという事になっています。
うちのHPは、保険も自費もありのままを載せているので、特に保健所さんから何も言われなかったんだと思います。
保険診療ではなかなか写真を撮る余裕が無いので、どうしても自費診療の比重が大きくなりますけどね(;^_^A
確かにHPの写真などはその先生の実力が分かりやすいので、非常に参考になることが多いのですが・・・
実はその先生が治療したものではなくインターネット上の他院の症例をコピーして載せているだけという事もありますので、なるべく日常的な症例を挙げているところを探すのがお勧めです。
当院ではありのままの症例掲示をしていますので、ご安心ください(笑)!
さて、前置きが非常に長くなりましたが・・・
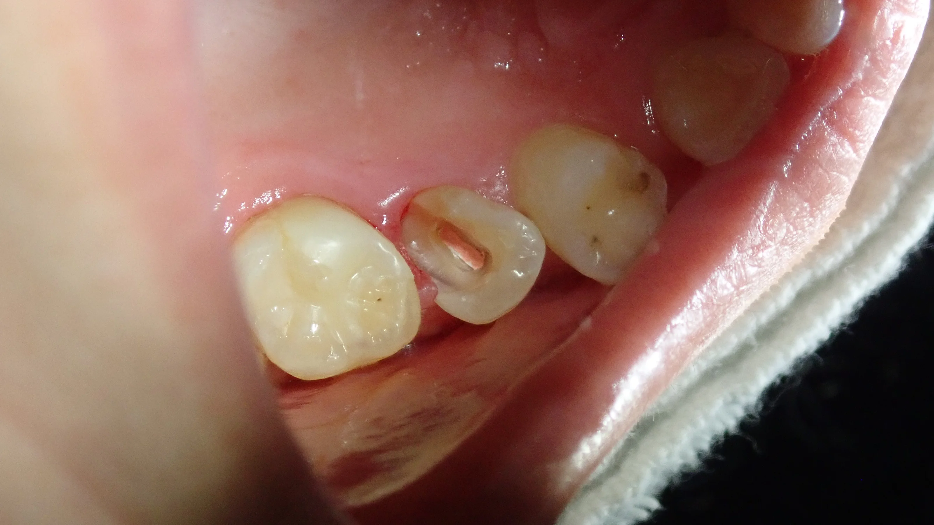
早速術前から

こちらで紹介した症例同様、神経の治療後にダイレクトボンディングを行ったケースです。
私は高確率で根管治療前には隔壁を作成します。
そしてそれをそのまま利用してダイレクトボンディングを行う事が多いのですが・・・
今回は、後ろの歯(画面左側の歯)との間の隔壁に段差が出来てしまいました・・・。
この状態でダイレクトボンディングを行った所で長期安定は得られませんので、一度隔壁を全て除去して一から充填し直すことにしました。
隔壁を除去した状態がこちらです。

元々全く合っていないコンポジットレジン(保険内の白い詰め物)が入っていたため、歯茎にも強い炎症が起こっていました。
根本の適合を合わせた隔壁を作成することで歯ブラシが良く当たるようになるため、歯茎の炎症が改善します。
そうすると、その後の処置(ダイレクトボンディングやインレー・クラウンなど)を行う際に非常に精度の高い治療を行う事が出来るようになります。
そして、術後の写真がこちらです。

後ろの歯は強度的にも問題なかったので、コンポジットレジンにて治療しています。
そしてそうなるとあまり強くステイン(歯の溝への着色)を入れると違和感が強いと思いましたので、軽めのステインにしています。
術前術後の比較がこちらです。

画像の向きを直すために角度を変えたんですが、なんだか無駄にオシャレな感じに仕上がりました。
後ろの歯との段差も消えましたし、フロスなどでの引っ掛かりもなく、良好です!
神経の治療後は多くの場合でクラウンになってしまう事が多いです。
確かにダイレクトボンディングに比べ、クラウンの方が強度も強いので、良いのですが・・・
クラウンは歯の全周を大きく削ってしまうため、歯の寿命が一気に短くなります。
既にクラウンの形態に削られているのであれば話は別ですが、そこそこ歯が残っているのであればダイレクトボンディングによる治療の方が、余程歯を削る量が少ないのでお勧めです。
少しでも長く歯が長持ち出来るように、ダイレクトボンディングがもっと広がると良いなと思っています。
#自費診療 #ダイレクトボンディング #虫歯の治療