閉鎖根管の治療には根気が必要

こんにちは。

 

最近、水戸やら埼玉やらの遠方からお問い合わせを頂くことが増えてきましたが・・・

申し訳ありませんが、実際に診査を行っていない私が治療方法について提示することは出来ません。

また私で残せると判断した歯でも他の歯科医師が見ると抜歯が適切と判断されることもあります。

治療方針というのは先生によって大きく変わってきてしまいますので、治療についてのご質問は実際に通院中の先生か、或いはセカンドオピニオンを受けられた方が確実かと思います。

 

 

さて、本日は「閉鎖根管」について。

 

こちらの記事でも書きましたが・・・

 

虫歯の期間が長いと、神経の管が石灰化と言って石によって塞がっていきます。

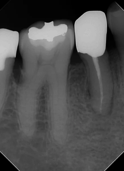
例えば、この方ですが・・・

閉鎖根管の治療には根気が必要|坂寄歯科医院(取手市藤代)

分かりますかね?

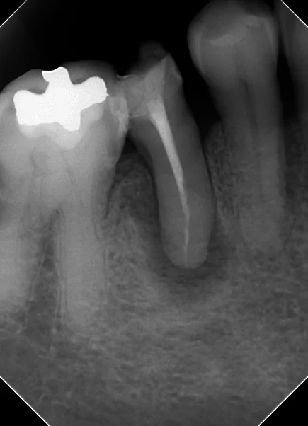
根の中央付近で神経の管が封鎖されているため、前の先生ではそれ以上に触れなかったのかそのままお薬を詰めている状態になっており、神経の管の下の方に何も入っていない状況になっています。

 

すこし分かりやすい様にマークを入れるとこういう感じです。

閉鎖根管の治療には根気が必要|坂寄歯科医院(取手市藤代) - 画像2

根管が閉塞しているのが、赤丸の部分です。そこの上の方には白い薬剤が軽く入っていますが、下の方には何も入っていないのが分かると思います。

 

画像上で青くしている所が膿が溜まっている箇所になります。

非常に広範囲に膿が溜まっていますね。

 

 

閉鎖根管の細さは髪の毛よりも細い状態になっているので、更に細い針金のような器具を使用して丁寧に石灰化している所を取り除いていく必要があり、結構根気が必要になります。

 

ここで慌てて処置をしてしまうと、細い針金のような器具が折れてしまい、更に難易度を上げる原因になってしまいます。

 

なので、慌てず、焦らず、確実に処置を進めていく必要があるんですね。

 

この方の場合は1回目の治療の時点で思ったよりも簡単に閉鎖している所は除去し終え、根の形を最終的なものを詰めやすい状況に整える所まで行けました。

2回目の治療で根の中をしっかりと丁寧に洗浄し、

3回目で最終的なお薬を詰めました。

 

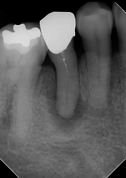
詰め終わった直後のレントゲンがこちらです。

閉鎖根管の治療には根気が必要|坂寄歯科医院(取手市藤代) - 画像3

根の先の方までしっかりと綺麗に詰まっています。

根の先の膿の部分は処置スタートから1ヵ月しか経過していない為、全く変化がない状態です。

根の先の骨は数年単位でじりじりと溶かされていきますので、感染源が無くなったからと言って、すぐに骨が再生するわけではありません。

少なくとも半年~1年程度しっかりと経過を診てみないと本当に治療が成功したかどうかは分からないのが現実です。

 

ちなみに、治療を繰り返すたびに少しずつ根管内も削れて行きます。

削れば削るだけその歯の強度は落ちていきますので、そうならない為に根管の形を私はなるべく細めに仕上げるようにしています。

また、根管の仕上げが細ければ細いだけ、成功率は高くなるというデータもあるので、それを知ってからはずっと細めで仕上げています(笑)

 

もちろん感染源は除去しきらないと治りませんので、根管内に感染源が多く残っている場合などはその分削る必要がありますけどね・・・(;^_^A

 

 

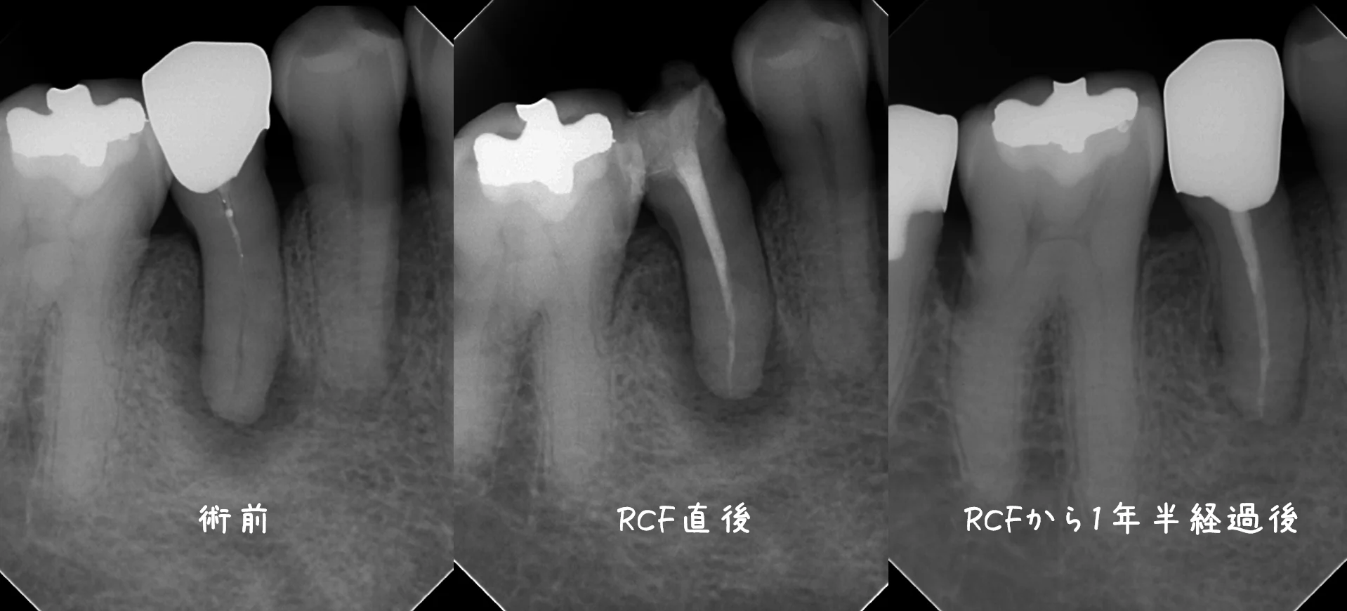
そして、1年半経過後、経過のレントゲンを撮らせて頂きました。

閉鎖根管の治療には根気が必要|坂寄歯科医院(取手市藤代) - 画像4

根の先の膿が随分と無くなってきているのが分かるかと思います。

処置開始~神経の治療完了時(RCF時)~1年半経過後を並べるとこうなります。

閉鎖根管の治療には根気が必要|坂寄歯科医院(取手市藤代) - 画像5

こうみると随分と良くなっているのが分かるかと思います。

 

それでもうっすら根の先の骨には空洞が残っていますね。

違和感や食事時の痛みなどは出ていませんので、特に問題はありませんが・・・

骨が完全に治るのには恐らくあと1年ほどは掛かりそうですね・・・。

 

あとは、被せ物の脇から虫歯が入り込んで、中の薬に感染が起こってしまったらまた再発しますね。

 

定期検診などで早めに発見し、早めに対応出来れば大丈夫だと思いますので、今後もしっかりと定期検診に来ていただきたいところですねヽ(゚∀゚)ノ

 

#根管治療 #保険診療

← ブログ一覧に戻る