こんにちは。
最近遠方から受診される方がそのご家族を紹介して頂けるケースが増えてきています。
通院に2~3時間以上かかる方もいらっしゃるにも関わらず当院を選んでいただき、誠にありがとうございます。
引き続き技術研鑽に努め、患者さんに還元できるよう頑張ってまいります。
さて、ここ最近遠方からの初診の方や歯科医療従事者からの問い合わせが非常に増えております。
また初診数増加に伴い、急患対応も多くなってまいりましたので、再度ご案内させていただきます。
【当院での初診の取り扱いについて】
当院は現在、予約の患者さんで3~4週間先まで完全に埋まっている状況になっております。
急患の場合は、コロナ渦も相まって、可能な限りお待ちいただかないよう予約の患者さんの治療内容等を考慮し、日時を指定させていただいております。
従って、どうしても「この曜日のこの時間で」などの希望される日時が限定的な場合は通常の予約をお願いしております。
皆様お仕事や私生活がお忙しい中、3~4週間お待ちいただいた上で予約を取っていただいております。
無理に初診の方の希望に対応することで予約の患者様の治療に影響を及ぼすことは、当院が目標としている「公平公正な医療の提供」には反してしまうと考えております。
痛みがあるなどの急を要する場合は、通常の予約枠ではないため希望の時間のご案内ができかねることを予めご了承ください。
さて、本日の症例写真はダイレクトボンディングについてです。
今回は他県から2時間掛けてお越しくださっている方の治療です。
では、医療法(医療広告ガイドライン)の兼ね合いで毎回書いている内容をまた今回も記載したいと思います。
ダイレクトボンディングのメリットは
・基本的には歯をできる限り多く残すことを目指す治療法である。
・もし一部欠けたりしても、そこだけ治療しなおすことが出来る。
・歯よりも少し柔らかい(反対側の歯が割れたりはしない)
・金属を使用しないため、金属アレルギーは生じない。
です。
逆にデメリットとしては、
・材質的に経年劣化を起こしてくるので、後々磨き残しが溜まりやすくなる
・強度が弱いため、割れたり欠けたりすることがある。
・保険が使えない為、高額(当院では4万円+税です)
材質的なデメリットは非常に大きいのですが、それを考えても患者さんにお勧めできるメリットは、被せ物になるのを、5年でも10年でも先に伸ばすことが出来るという点です。
1回治療したところは必ずいつか駄目になりますが、その時に歯が残っていれば、ひょっとするとまたダイレクトボンディングで対処できるかもしれませんからね。
私は良く「歯の治療は回数券だ」と患者さんにお伝えしています。
20枚綴りの回数券を治療の度に消費していくとします。
ダイレクトボンディングは1~2枚程度しか消費しない治療法ですが、部分的な金属の詰め物は一気に3~5枚くらい消費するようなイメージで、被せ物についてはは5~10枚消費するようなイメージです。
(先生によってはインレーの段階で10枚くらい一気に行くかもしれません・・・。)
例えばダイレクトボンディングが1回の治療で5年持ったとして…クラウンと同様の5枚消費するには25年かかります。
逆にクラウンを25年以上持たせることが出来るのなら良いのかもしれませんが…それが出来る!と自信満々に答えられる歯科医師はまずいないでしょう。
もちろん先生によって考え方は違いますし、価値観も違うため患者さんがどこの医院を選び、何の材料を選ぶかは人それぞれですが…
少なくとも私が同じような状態で治療を受ける際には可能な限りはダイレクトボンディングで治療してもらいたいですね。
で、ダイレクトボンディングでは無理というサイズになってきたら、今度は被せ物(クラウン)に移行するという流れを希望すると思ってます。
また、治療とは削る量が増えれば増えるだけその難易度も増していきます。それに伴って、持つ期間としても短くなっていってしまいます。
だからこそ小さいサイズの虫歯の時点で、ダイレクトボンディングで治療する意義は非常に大きいんです。
当院は保険医療機関ですので、非常に小さい虫歯の場合は保険適用内の「コンポジットレジン修復」にて治療を行っていますので、もし精度や持ちに拘りがあるのであれば、最初から「ダイレクトボンディングを希望」とお伝えください。
先日来院されてから自費診療を希望された方がいらっしゃったのですが、保険と自費の治療ではその予約時間が大きく異なりますので、本数が制限されてしまい、来院回数が増えてしまうことがあります。
ですので、次回予約の際に「自費診療希望である旨を伝えておいていただければ幸いです。」
今回の方も同様に、麻酔の奏功を待っている間に「自費でお願いします」とお伝えいただいたので、保険で3本同時に治療する予定でしたが、最も進行している1本だけを治療させていただきました。
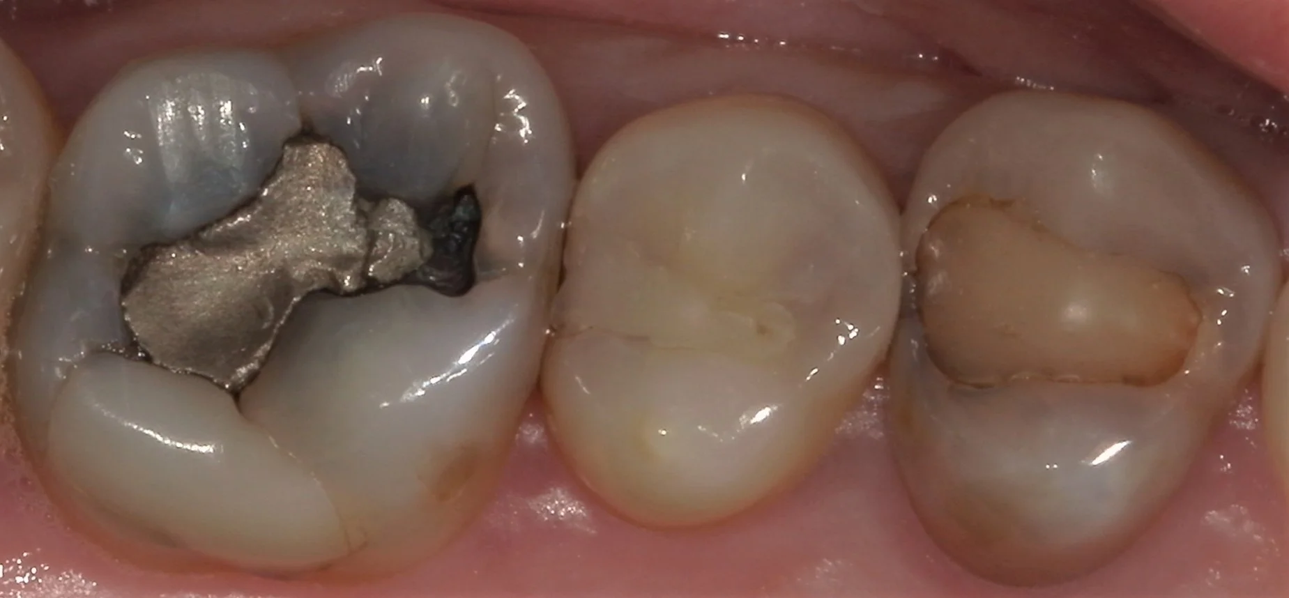
では術前の写真からです。

こちらの写真の中で実は最も神経に近かったのはレントゲン診査上、真ん中の歯でした。
そのため、本日は真ん中の歯のみ治療し、後日前後の歯を治療するという治療計画に変更いたしました。
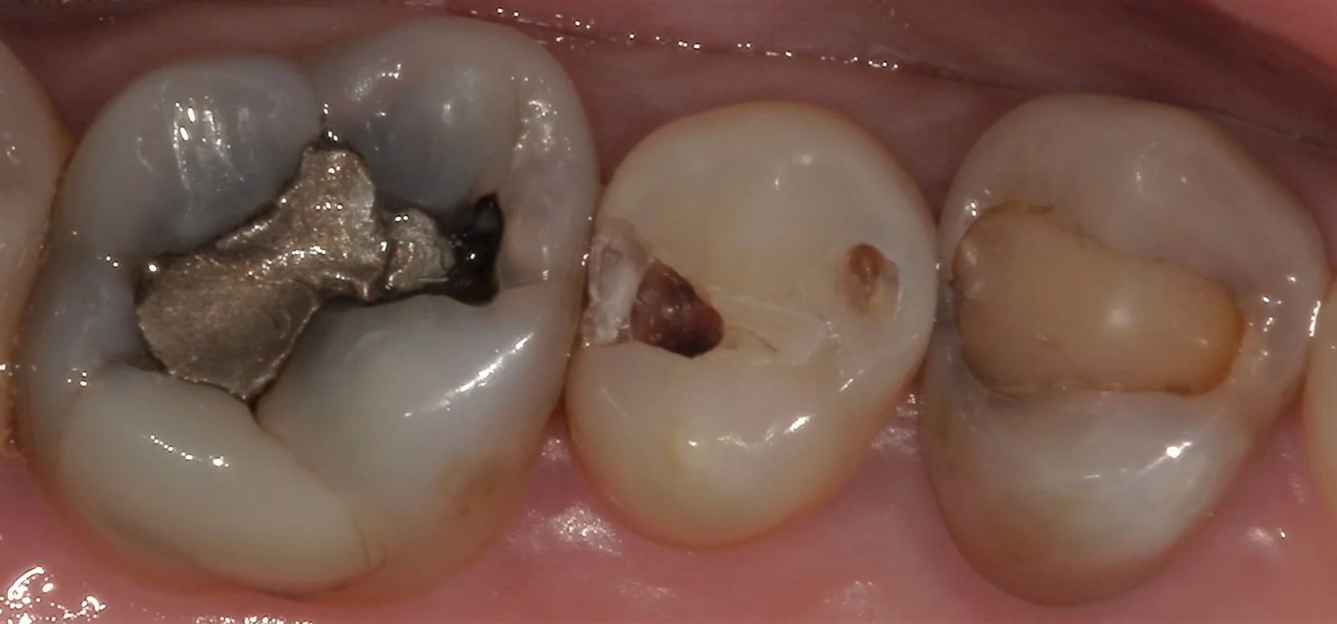
まず古い詰め物を取って虫歯を見やすくしたのが、こちらです。

こう見るとかなり内面が黒く虫歯になっているのが分かるかと思います。
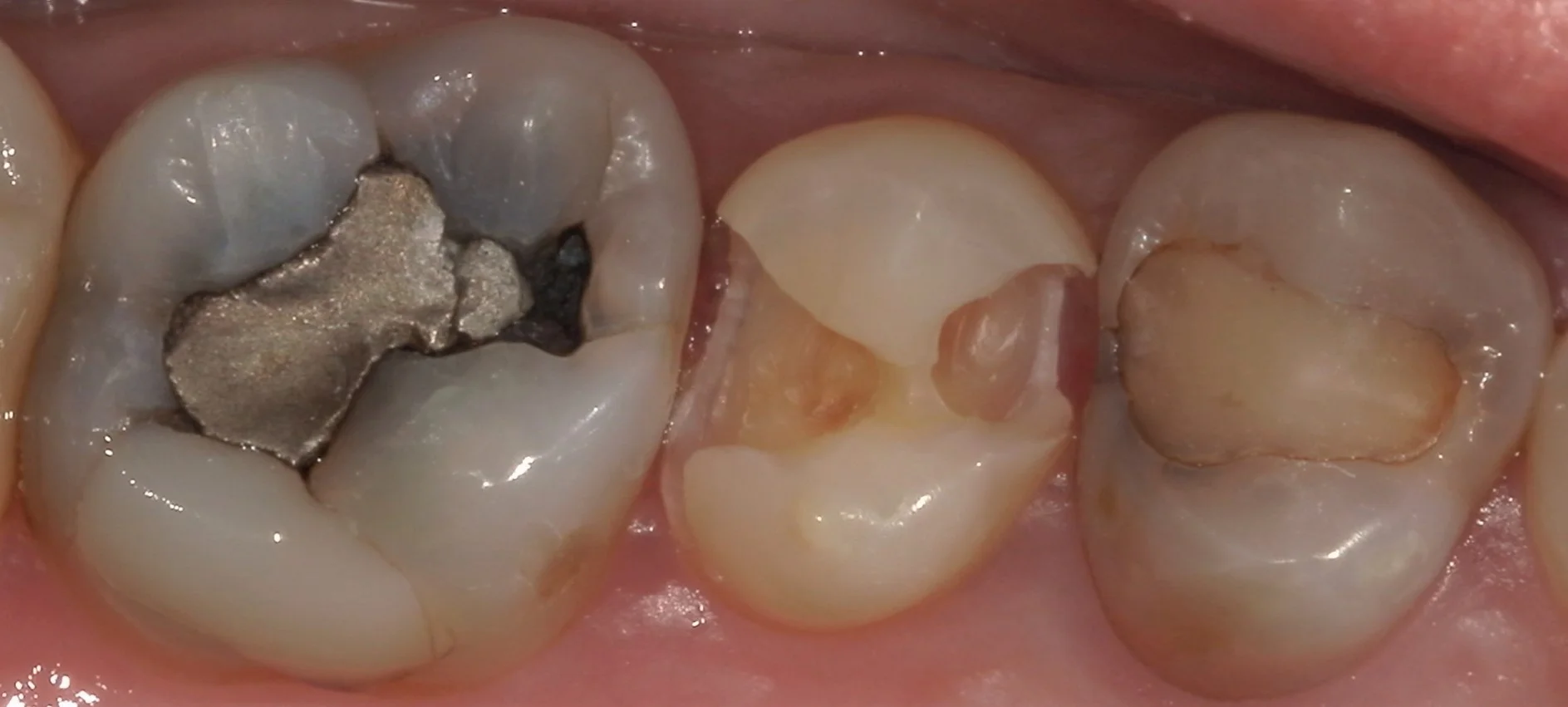
前後の歯の間にまで進行していましたので、そこら辺も全部除去したのがこちらです。

本来の歯の色が出て綺麗になりましたね。
中心部に内面が白く抜けている茶色く丸い楕円があるのが分かると思います。
この白い部分のほんの一層下の部分が神経になります。
今回は神経の露出はなかったので、そのまま詰めていきました。
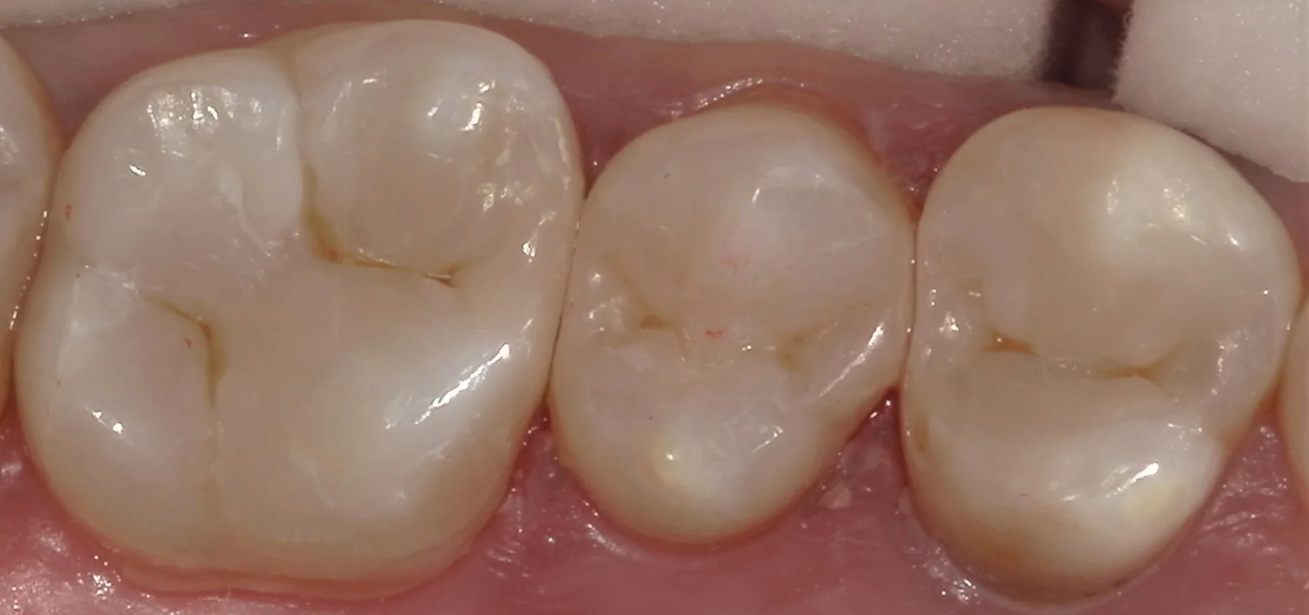
そして詰め終わったのが、こちらです。

随分と自然な形に仕上げられたかと思います。
そして1カ月後・・・今度はその前後の歯の治療でお越しいただきました。
その時に虫歯を見やすくしたのが、こちらの写真です。

画面左側の歯はレントゲンで見るよりも遥かに内面で大きくなっていましたね。
そして画面右側の神経の治療の際に詰めるピンクの薬が見えている状態です。
神経の治療後、私も詰め物で終わらせることは多々ありますが・・・
その際、このピンクの薬はこれほど大きく見える状態ではなく、ある程度除去しておいた方が予後が良いです。
というのも、このピンクの薬は白い詰め物はくっつかないですし、これに感染が生じると根の先に膿が溜まってしまう事もあります。
その為、再度虫歯になってもピンクの薬に細菌が到達しづらいように根の管の内面にまで除去しておいた方がその後の予後が良くなるんです。
虫歯やピンクの薬を除去したのが、こちらの写真です。

分かりづらいですが、根の管の大体2~3mmくらいまで削り込んでます。
これをするとしないとで感染リスクが大きく変わるので、歯科医師の方は是非気を付けて頂きたい部分でもありますね。
そして画面左側の歯については内面がほぼ無い状態になっていました。
噛むと割れてしまいそうなクラックのある部分・最低限の厚みを残した状態がこのくらいでした。
どちらの歯も表面のエナメル質の部分しか残存していないので、次駄目になったら流石に被せ物にせざるを得ない状況ですね。
そして詰め終わったのが、こちらになります。

段差もなく綺麗に詰めることが出来ましたヽ(゚∀゚)ノ パッ☆
あとはこれが1年でも長持ちしてくれることを祈るだけですね!
2日に分けて無事に完了させることが出来て良かったです!
術前術後はこんな感じです。

自然に綺麗に仕上げられたかと思います!
長時間の治療お疲れ様でした!!