こんにちは。
10月に2件のハンズオンのクローズドセミナー講師のご依頼を頂いた為、ブログの更新が全くできておりませんでした。
全てのセミナーが終了したため、通常のブログ更新に戻したいと思います。
さて。
本日は表題の通りなのですが・・・
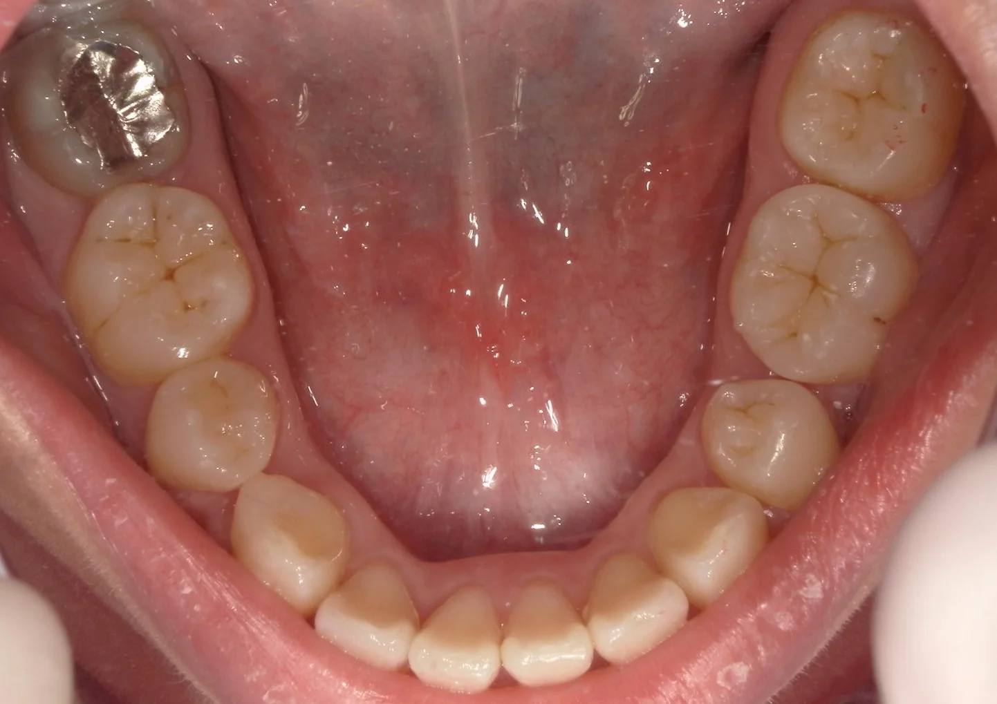
上下左右全ての部分の虫歯をセラミックを用いずにダイレクトボンディングにて治療した方のお写真を許可を頂きましたので、アップさせていただきます。
ちょっとしたクイズ形式でやってみましょうか。
どこを治療したでしょうか?!


分かりますかね?
結構歯科医師の方々に同じ質問しても分からない方がほとんどでした!
では、答えは下の方に載せますので、スクロールしていってくださいね。
正解はこちらです!


結構たくさんの数を治してました!
患者さんは歯科医師の方なので、治療の説明などはほぼ行わず、専門用語をどんどん使って治療に入れるのでサクサクと進んでいきました(笑)
車で2時間以上掛る他県からの来院でしたので、
上下左右で計4回の来院にて治療を完了させました。
一時的に痛みが出ることが多いのですが、この方は術後に痛みなどは一切なく、終えることが出来たので、非常に感動して頂けました。
今後もしっかりと歯磨きを頑張って長持ちさせていただきたいと思います!!