こんにちは。
口腔内の状態が良い方はコロナウイルス罹患時に悪化しづらい傾向があるとのお話を医師の方から伺いました。
口の中が綺麗な方ほど感染症に掛かりづらいのは元々エビデンス(科学的根拠)がある話でしたが、悪化しづらいというのもあるんですね。
定期検診を含めて通院する・しないは担当医とご自身で相談の下、決めるしかありませんが・・・どちらにしても手洗い嗽はもちろん、歯磨き・食生活も気を付けたいところですね。
さて、今日は・・・
歯の抜歯の原因の一つである歯根破折についてです。
歯根破折というのは、力に耐えられず歯の根が折れてしまうことです。(こちらの記事でも書きましたね。)
神経の治療を行う事で、健康な歯の部分が減ってしまい、力に耐えきれなくなってしまう事があります。
また、一昔前までは・・・

こーんな感じで
「神経の治療後はメタルコア(金属の土台)を入れる」
というのが歯科界での常識でした。
当然金属は歯よりも固いので、噛む度に楔のような作用が働き、歯が折れる主たる原因となってしまっていました。
現在では歯根破折のリスクを減らすことが出来るファイバーコアが保険適用内でも認められていますので、わざわざ歯根破折のリスクが圧倒的に高いメタルコアを入れる機会は無くなってきましたが・・・
その一昔前に入れられたメタルコアが患者さんのお口の中にはまだまだ残っています。
また一度削った歯は当然二度と元には戻せませんので、一度メタルコアを入れられた方についてはメタルコアを除去した後も歯根破折のリスクは高い状態が維持されてしまいます。
こちらの方は私が治療に入った時にはファイバーコアが入っていましたが・・・
その前は太いメタルコアが入れられていたそうです。

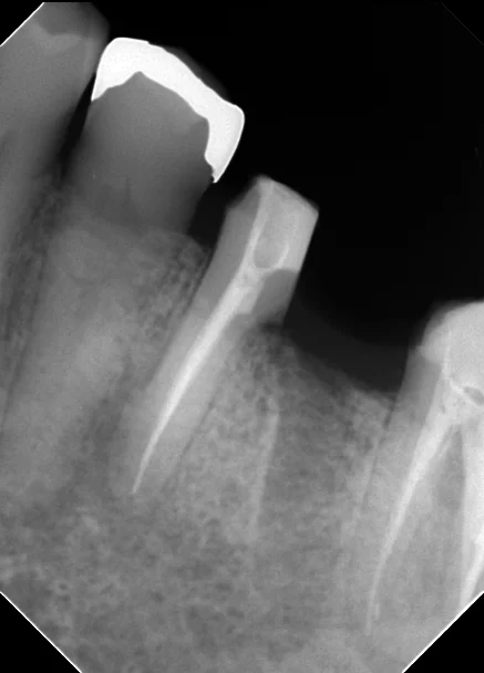
実際に被せ物を除去して根の状態を直接肉眼で確認したところ、後ろ側の根がレントゲンには写らないラインで真っ二つに折れていました。
通常、歯根破折が起こった歯の第一選択は「抜歯」になります。
折れてしまうと元に戻すことが出来ませんからね。
(一部歯根破折の接着修復というテクニックもありますが・・・あまり予後が良いとは思えず私は行っていません。)
ただし、ここで待っていただきたいのが・・・
写真のような根が2つある歯についてです。
折れているのがどちらか一方であれば、もう一方はまだ温存できる状態になります。
なので、こんな感じで一本だけ抜歯すれば、手前の根は残すことが出来るようになります。

残した方の歯の神経の治療を行うかどうかは先生の考えかたに寄るかもしれませんが・・・
私は確実に感染が生じていると思っていますので、必ず根管治療を行います。
拡大視野ではなく、裸眼で治療された場合は根の管を見逃していることが結構ありますので、再根管治療しておかないと予後が不安なんですよね・・・。
今回の場合も2本の根の管があるように最初のレントゲン上では写っていましたが、実際にはその2本は非常に細い道でつながっており、しかも元々の根の管がその細い道の中に隠れていました。
最初のレントゲンに比べると神経の治療後の薬が根の先まで綺麗に入っているのが分かるかと思います。
無事に神経の治療も終わり、後ろの根の抜歯後の傷も問題なく治ったため、最終的な被せ物に移行することとなりました。
模型がこちらです。

で、セラミックを装着した模型がこちらです。

見た感じ普通に2本の歯っぽく見えるように仕上げてもらいました。
写真を撮り忘れてしまいましたが・・・
歯がない所謂「ダミー部」については歯間ブラシやブリッジ用のフロスを通せるように若干の隙間を作っています。
実際のお口の中の写真がこちらです。

着けた後がこちらですね。

適合良く大きな調整なく綺麗に入ってくれました。
普通歯根破折で抜歯を行う際には、問題の無い根まで抜いてしまう事が結構ありますが、それをするとブリッジを作る際に一つ手前の歯まで大きく削る羽目になってしまいます。
2本の根がどちらもダメになっているのであれば仕方ありませんが・・・
残せるのであれば残してあげたほうが、10年20年後に見た時に圧倒的に有利かと思います。
今回の方は保険診療でのやり直しに嫌気がさしたとのことで自費診療のセラミックで行いましたが、この治療方法は保険適用内ですので、普通に保険の金属のもので仕上げることも出来ます。
歯科医師から「抜くしかない」と言われても、1本でも根が残ることで治療の選択肢が広がりますし、健康面でも経済面でも有利ですので、『どちらかを残すことが出来ないか』を抜く前に聞いておくのがお勧めです。