こんにちは。
ここ最近Raspberrypiを利用した電子工作にハマっています。
ミシンで子供のよだれかけを作ってみたり、自分の鞄を帆布で作ってみたり、DIYやってみたり、電子工作やってみたり・・・自分でも一体何がしたいのかよく分かりません(笑)
きっと何かを作ってたくて仕方が無いんだと思います(;'∀')
血のつながりはありませんが、そういう所は先代の恵先生に似ていると思います。
ちなみに、お気づきの方も多いかと思いますが、
医院の前に立て看板を入れました。

モノづくりは好きなんですが、こういう・・・デザイン等は私は全くセンスがありませんし、なにより字が絶望的に汚いので、妻に任せて書いていただきました。
結構いい感じに仕上がっていると思います。
裏面は休診の看板になっているので、間違って来ちゃう人も減らせると良いなという思いもあります。
来てずっと待っても全く医院が開かないというのは・・・ね。
さて、表題の通りですが・・・
セラミックなどの自費系修復で色の再現度を上げる為に、カメラを新調しました。

その名もアイスペシャル4です。
前の医院でお願いしていた技工士さんにはキャスマッチと合わせて撮影することで非常に色調精度の高いセラミックを作製して頂いていたのですが、坂寄歯科医院で自費の技工物をお願いしている技工士さんの所はキャスマッチに対応してはいないので、写真の撮り方で大きく左右されることになっていました。
が、私は別に写真家でもなんでもなく・・・審美領域でワールドクラスの先生方のように一眼レフなんてカッコイイものを使いこなせる気がしなかったので、もっと簡便に精度の高い色調の撮影が可能なこれを購入しようと思ったんです。
このカメラはシェード抽出機能というものがあり、これが非常に作成しやすいと技工士さんから聞いたので、「じゃあ買おう!」となった感じです。
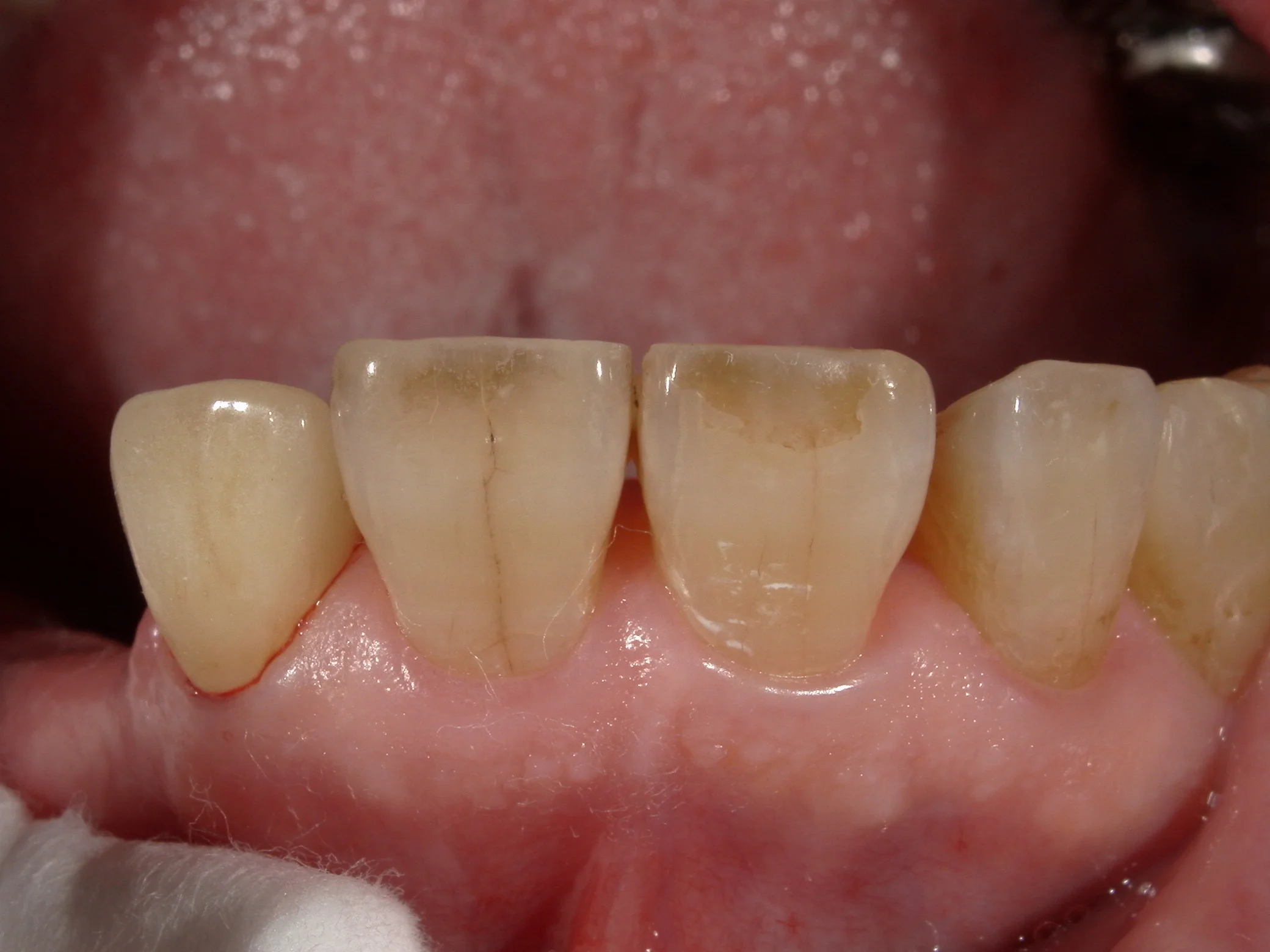
そして、上記のカメラを使用して作成したセラミックがこちらです。

血液の痕で分かりやすいですが、画面の左側がセラミックです。
これをカメラの機能であるシェード抽出機能を用いて撮影するとこうなります。

歯の色だけピックアップしてくれるので、前後の歯と色を合わせやすいんですね。
実際、このカメラに変えてからの患者さんの反応は非常に良いので、良い買い物をしたと思います。
今後も診療のレベルアップに行かせる良い医療機器や機材があれば積極的に購入していきたいと思います!
#オールセラミックス #自費診療 #虫歯の治療