インビザライン矯正の術前術後

こんにちは。

 

コロナの感染者数がどんどん伸びて行っていますね。

 

まぁだからと言って何が変わるわけではないんですが、出かけるときとかはやっぱり警戒してしまいますよね。

 

むしろ仕事中は滅菌・消毒に注力しているので、いっそ安全だったりしますからね・・・。

 

 

さて、本日は、当院でオススメしている矯正治療の1つ。

 

アライナー矯正の術前術後の写真を載せさせていただきます。

 

そもそもアライナー矯正とは、

「ご自身で着脱可能で透明なマウスピースを定期的に交換しながら行う矯正治療」

です。

 

当院で行っているアライナー矯正はインビザラインになりますが、これは全世界で現在600万人を超える治療実績を持つ治療方法で、アライナー矯正の大家との言える存在です。

 

透明なマウスピース(アライナー)を使用するため、他人に気付かれづらく、矯正していることがバレないことが多いので、特に若者に人気の治療法になります。

 

では早速。

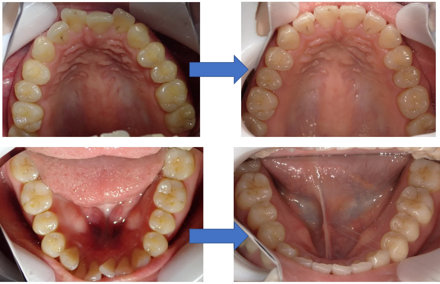
噛み合わせの面から見た時の写真がこちらです。

途中でカメラを買い替えたので、写り方が若干違いますが、間違いなく同じ方ですよ。

インビザライン矯正の術前術後|坂寄歯科医院(取手市藤代)

で、次に正面から見たのがこちらです。

インビザライン矯正の術前術後|坂寄歯科医院(取手市藤代) - 画像2

随分と綺麗に並んだのが分かるかと思います。

 

この方は術前矯正を行ってからアライナーに切り替えましたので、トータルの矯正期間としては丁度1年程。

アライナーに切り替えてからは半年くらいで完了しました。

 

本人曰く、「床矯正でどれだけやっても良くならなかったから、私の歯並びはもうよくならないんだと諦めてました。」

とのことでした。

 

基本的に床矯正のみで治療を完了出来る方は本当に稀ですので、術前矯正や予防矯正として使う他ないと思っています。

 

どんな治療方法にもメリットデメリットがあり、各個々人で、適した治療法と適していいない治療法がありますからね。

 

何を選んでどうやって治すかをマネジメントすることが治療を早く終えるキモになると思います。

(予防矯正の場合は話がまた違いますので、それはそのうち書かせていただきます。)

 

ではせっかくなので、

アライナー矯正の一般的なメリット・デメリットなども書かせていただきます。

 

メリットとしては、

・透明なアライナーを使用するので、装着しても目立たない。

・食事の際には外して食べられる。

・歯磨きの際にも外せるため、口腔内を清潔に保ちやすく、虫歯・歯周病の悪化の心配が少ない。

・矯正治療が終了し、後戻り防止の保定期間に入った場合は、ホワイトニングも併用することが出来る。

・口腔内のスキャナーで撮影したものを元に診査を行うため、型取りが不要。

・ワイヤー矯正のブラケットと違い、とがっている部分が少ないため、口内炎などが出来にくい。

 

デメリットとしては、

・重度であった場合はアライナーのみでは対応しきれないことがある。(診査の結果、治療が行えないという可能性もあります。)

・装着時間(22時間以上)を守らなければ適切な歯の移動が起こらず、治療が全く進まない。

・予定通り歯が動かない時にはアライナーを作り直す必要が出てくることもある。

・アライナーはプラスチック素材の為、熱や力に弱く、熱い飲み物を飲む際には外して飲む必要があります。

・歯にピタッとくっついているため、細菌繁殖が起こりやすいため、歯磨きをしないで装着すると虫歯や歯周病が一気に進む危険性があります。

 

といったところでしょうか?

費用としては、当院では80万円+消費税で行っています。

 

 

矯正治療は基本的に非常に長く掛ることが多いですし、先生によって手技手法はもちろん、抜歯非抜歯を含めた診断も大きく変わってきます。

費用や通院のしやすさも大事ですが、一番大事なのは先生に気軽に分からないことを質問できることだと思いますので、矯正治療をするときには必ずいくつかの矯正医さんでお話を伺ったほうが良いと思います。

 

#矯正治療,#自費診療,#インビザライン

← ブログ一覧に戻る