こんにちは。
最近、知り合いの方からHPの各種ページのリンクが404エラーになっていたと教えて頂いたので、順次修正中です。
リンクが切れている部分がないかの確認からやっていってますので、少し時間がかかりそうです。
その間ご迷惑をおかけしますが、よろしくお願いいたします。
さて、ここ最近遠方からの初診の方や歯科医療従事者からの問い合わせが非常に増えております。初診数増加に伴い、急患対応も多くなってまいりましたので、再度ご案内させていただきます。
【当院での初診の取り扱いについて】
当院は現在、予約の患者さんで3~4週間先まで完全に埋まっている状況になっております。
急患の場合は、コロナ渦も相まって、可能な限りお待ちいただかないよう予約の患者さんの治療内容等を考慮し、日時を指定させていただいております。
従って、どうしても「この曜日のこの時間で」などの希望される日時が限定的な場合は通常の予約をお願いしております。
皆様お仕事や私生活がお忙しい中、3~4週間お待ちいただいた上で予約を取っていただいております。
無理に初診の方の希望に対応することで予約の患者様の治療に影響を及ぼすことは、当院が目標としている「公平公正な医療の提供」には反してしまうと考えております。
痛みがあるなどの急を要する場合は、通常の予約枠ではないため希望の時間のご案内ができかねることを予めご了承ください。
さて、本日の症例写真はダイレクトボンディングについてです。
今回は他県から3時間掛けてお越しくださっている方の治療です。
じゃ、医療法(医療広告ガイドライン)の兼ね合いで毎回書いている内容をまた今回も記載したいと思います。
ダイレクトボンディングのメリットは
・基本的には歯を最も多く残すことが出来る治療法である。
・もし一部欠けたりしても、そこだけ治療しなおすことが出来る。
・歯よりも少し柔らかい(反対側の歯が割れたりはしない)
・金属を使用しないため、金属アレルギーは生じない。
です。
逆にデメリットとしては、
・材質的に経年劣化を起こしてくるので、後々磨き残しが溜まりやすくなる
・強度が弱いため、割れたり欠けたりすることがある。
・保険が使えない為、高額(当院では4万円+税です)
材質的なデメリットは非常に大きいのですが、それを考えても患者さんにお勧めできるメリットは、被せ物になるのを、5年でも10年でも先に伸ばすことが出来るという点です。
1回治療したところは必ずいつか駄目になりますが、その時に歯が残っていれば、ひょっとするとまたダイレクトボンディングで対処できるかもしれませんからね。
私は良く「歯の治療は回数券だ」と患者さんにお伝えしています。
20枚綴りの回数券を治療の度に消費していくとします。
ダイレクトボンディングは1~2枚程度しか消費しない治療法ですが、部分的な金属の詰め物は一気に3~5枚くらい消費するようなイメージで、被せ物についてはは5~10枚消費するようなイメージです。
(先生によってはインレーの段階で10枚くらい一気に行くかもしれません・・・。)
例えばダイレクトボンディングが1回の治療で5年持ったとして…クラウンと同様の5枚消費するには25年かかります。
逆にクラウンを25年以上持たせることが出来るのなら良いのかもしれませんが…それが出来る!と自信満々に答えられる歯科医師はまずいないでしょう。
もちろん先生によって考え方は違いますし、価値観も違うため患者さんがどこの医院を選び、何の材料を選ぶかは人それぞれですが…
少なくとも私が同じような状態で治療を受ける際には可能な限りはダイレクトボンディングで治療してもらいたいですね。
で、ダイレクトボンディングでは無理というサイズになってきたら、今度は被せ物(クラウン)に移行するという流れを希望すると思ってます。
また、治療とは削る量が増えれば増えるだけその難易度も増していきます。それに伴って、持つ期間としても短くなっていってしまいます。
だからこそ小さいサイズの虫歯の時点で、ダイレクトボンディングで治療する意義は非常に大きいんです。
当院は保険医療機関ですので、非常に小さい虫歯の場合は保険適用内の「コンポジットレジン修復」にて治療を行っていますので、もし精度や持ちに拘りがあるのであれば、最初から「ダイレクトボンディングを希望」とお伝えください。
先日来院されてから自費診療を希望された方がいらっしゃったのですが、保険と自費の治療ではその予約時間が大きく異なりますので、本数が制限されてしまい、来院回数が増えてしまうことがあります。
ですので、次回予約の際に「自費診療希望である旨を伝えておいていただければ幸いです。」
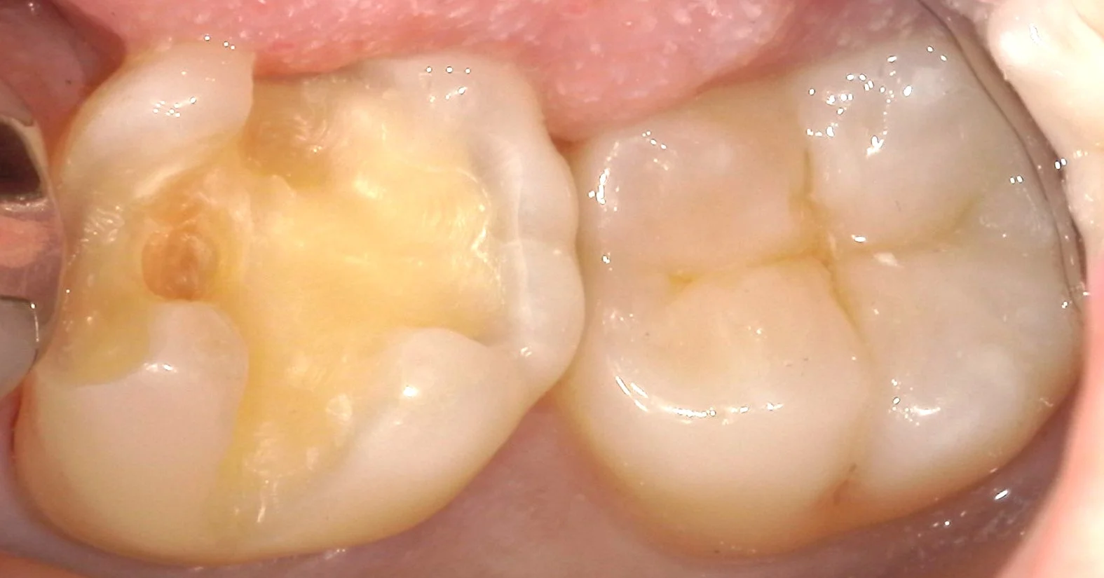
では術前の写真からです。

画面内左側の金属が入っている部分を今回は治療しました。
少し広い範囲で金属の詰め物が詰められていますね。
そして、金属を除去したのがこちらの写真です。

この茶色くなっている部分が虫歯で触るとズボっと器具が刺さるような状況でした。
虫歯を取りきったのがこちらの写真です。

綺麗な歯の色になったのが分かるかと思います。
また、虫歯を取る前の画像で茶色が強かったところの奥の方にまだ色が残っているように見えますが、ここから先は神経という部分です。
後1年介入が遅くなっていたら神経の治療に発展していた可能性がありますね(-_-;)
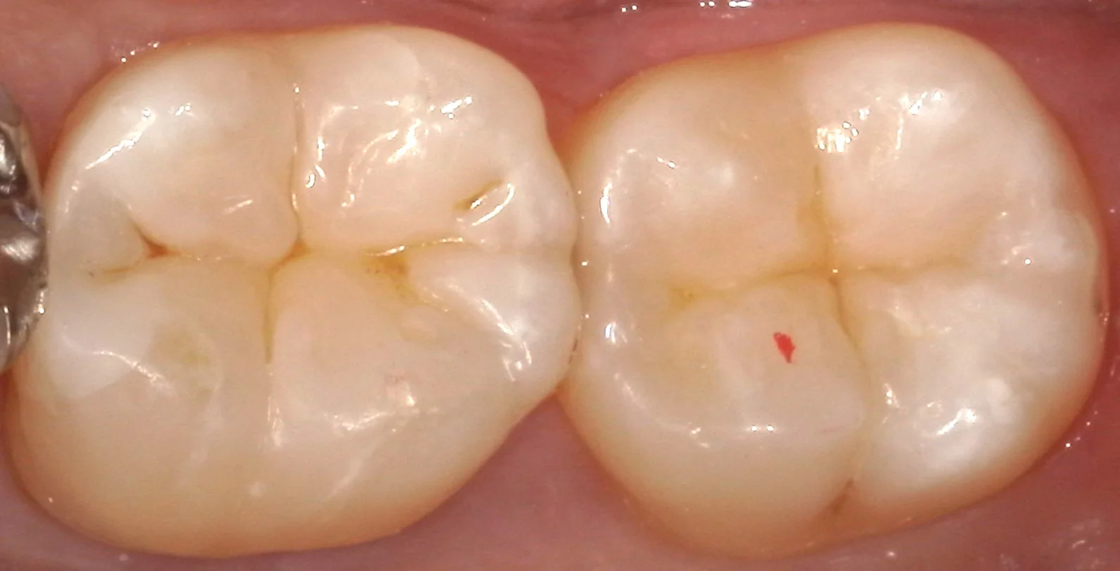
そして詰め終わったのがこちらです。

割と自然な感じに仕上がったかと思います。
適合もしっかりと合わせているのでしっかりと使って行けるかと思いますヽ(゚∀゚)ノ パッ☆
さて。
タイトルにも書いておきましたが・・・
実はこの写真の右側の歯は数週間前にうちでダイレクトボンディングを行った歯になります。(小さな虫歯ほど自費がおすすめ。)
よくブログなどでも
「エナメル質の水分が抜けて白っぽくなっているので、詰めた部分が浮いているように見えると思いますが、1週間くらいで水分が戻って違和感が消える筈です。」
と書いているのですが、
ある歯科医の方からどんな感じで変化するのかを知りたいと言われたので、せっかくだったので、そのまま比較写真もアップさせていただきたいと思います。
充填直後がこちらで、

充填から1月近く経過したのがこちらです。

大分色が馴染んで自然に見えてるのが分かりますかね?
私がいつもアップしているケースも、全て1週間ほどたった辺りでこんな感じで色が馴染んでくるようになってます。
ここまで行くと、流石にマイクロスコープ使っていても、余程注視しないと歯科医師にもバレないんじゃないかなって思ってますヽ(゚∀゚)ノ パッ☆
まぁともかく。
こんな感じの変化をするって言うのがイメージ出来れば幸いです。