こんにちは。
今度はデルタ株というのが蔓延してきましたね・・・死亡率が低いと良いのですが・・・。
さて、前回も書きましたが、ここ最近遠方からの初診の方や歯科医療従事者からの問い合わせが非常に増えております。初診数増加に伴い、急患対応も多くなってまいりましたので、再度ご案内させていただきます。
【当院での初診の取り扱いについて】
当院は現在、予約の患者さんで2~3週間先まで完全に埋まっている状況になっております。
急患の場合は、コロナ渦も相まって、可能な限りお待ちいただかないよう予約の患者さんの治療内容等を考慮し、日時を指定させていただいております。
従って、どうしても「この曜日のこの時間で」などの希望される日時が限定的な場合は通常の予約をお願いしております。
皆様お仕事や私生活がお忙しい中、2~3週間お待ちいただいた上で予約を取っていただいております。
無理に初診の方の希望に対応することで予約の患者様の治療に影響を及ぼすことは、当院が目標としている「公平公正な医療の提供」には反してしまうと考えております。
痛みがあるなどの急を要する場合は、通常の予約枠ではないため希望の時間のご案内ができかねることを予めご了承ください。
さて、本日の症例写真はダイレクトボンディングについてです。
今回は東京からお越しの、歯科衛生士の方の治療です。
最近本当に歯科医療従事者が増えていますね。
今月歯科医師の方は2名いらっしゃってます(;・∀・)
ただ、前も書きましたが・・・うちは専門医でもない、どこにでもある普通の歯科医院ですので、あまり期待はしないようにしてくださいね(´・ω・`)
あと、歯科医師・歯科衛生士でも普通に虫歯になります。
なんで、虫歯になったからって言って、ショック受ける必要はないのでご安心してくださいね。
気付いた段階で治療すれば良いだけですから。
じゃ、医療法の兼ね合いで毎回書いている内容をまた今回も記載したいと思います。
ダイレクトボンディングのメリットは
・基本的には歯を最も多く残すことが出来る治療法である。
・もし一部欠けたりしても、そこだけ治療しなおすことが出来る。
・歯よりも少し柔らかい(反対側の歯が割れたりはしない)
・金属を使用しないため、金属アレルギーは生じない。
です。
逆にデメリットとしては、
・材質的に経年劣化を起こしてくるので、後々磨き残しが溜まりやすくなる
・強度が弱いため、割れたり欠けたりすることがある。
・保険が使えない為、高額(当院では4万円+税です)
材質的なデメリットは非常に大きいのですが、それを考えても患者さんにお勧めできるメリットは、被せ物になるのを、5年でも10年でも先に伸ばすことが出来るという点です。
一回治療したところは必ずいつか駄目になりますが、その時に歯が残っていれば、ひょっとするとまたダイレクトボンディングで対処できるかもしれませんからね。
私は良く「歯の治療は回数券だ」と患者さんにお伝えしています。
20枚綴りの回数券を治療の度に消費していくとします。
ダイレクトボンディングは1~2枚程度しか消費しない治療法ですが、部分的な金属の詰め物は一気に3~5枚くらい消費するようなイメージで、被せ物についてはは5~10枚消費するようなイメージです。
(先生によってはインレーの段階で10枚くらい一気に行くかもしれません・・・。)
例えばダイレクトボンディングが1回の治療で5年持ったとして…クラウンと同様の5枚消費するには25年かかります。
逆にクラウンを25年以上持たせることが出来るのなら良いのかもしれませんが…それが出来る!と自信満々に答えられる歯科医師はまずいないでしょう。
もちろん先生によって考え方は違いますし、価値観も違うため患者さんがどこの医院を選び、何の材料を選ぶかは人それぞれですが…
少なくとも私が同じような状態で治療を受ける際には可能な限りはダイレクトボンディングで治療してもらいたいですね。
で、ダイレクトボンディングでは無理というサイズになってきたら、今度は被せ物(クラウン)に移行するという流れを希望すると思ってます。
また、治療とは削る量が増えれば増えるだけその難易度も増していきます。それに伴って、持つ期間としても短くなっていってしまいます。
だからこそ小さいサイズの虫歯の時点で、ダイレクトボンディングで治療する意義は非常に大きいんです。
当院は保険医療機関ですので、非常に小さい虫歯の場合は保険適用内の「コンポジットレジン修復」にて治療を行っていますので、もし精度や持ちに拘りがあるのであれば、最初から「ダイレクトボンディングを希望」とお伝えください。
では術前の写真からです。

・・・。
・・・ピントが合ってませんね(´;ω;`)ブワッ
保険診療内で昔治療した金属の詰め物が気になっているってことでした。
本来こういう、咬む面だけの詰め物の場合は白い詰め物の方が随分と昔から推奨されているんですが・・・、いまだに金属信仰というかそういうのがありますね(;^_^A
今回は審美領域での治療となりますので、最初から保険が使えない状況でした。
なぜかと言うと、
保険診療とは療養の給付ですから、虫歯などの病気じゃない場合は保険診療を行うことが出来ません。
なので、見た目が気になるからって言って、金属を白い詰め物に置き換えるというのを保険で行った場合は普通にルール違反になりますので、最悪の場合罰される危険性もありますので、ご注意くださいね。
それで今回は初診時にレントゲンを撮影したところ、特に虫歯でもなかったため、審美領域での治療となり、自費での治療となりました。
どうやら元々その予定ではあったみたいですけどね(;´∀`)
そして金属を外したのがこちらです。

漏洩していたのか、一部着色が付いているところが多々ありましたので、そこを可及的に取り除きました。
若干残っている茶色い部分は特に虫歯ではなく、むしろそこを取ると神経の治療になりかねなかったので、今回は残すこととしました。
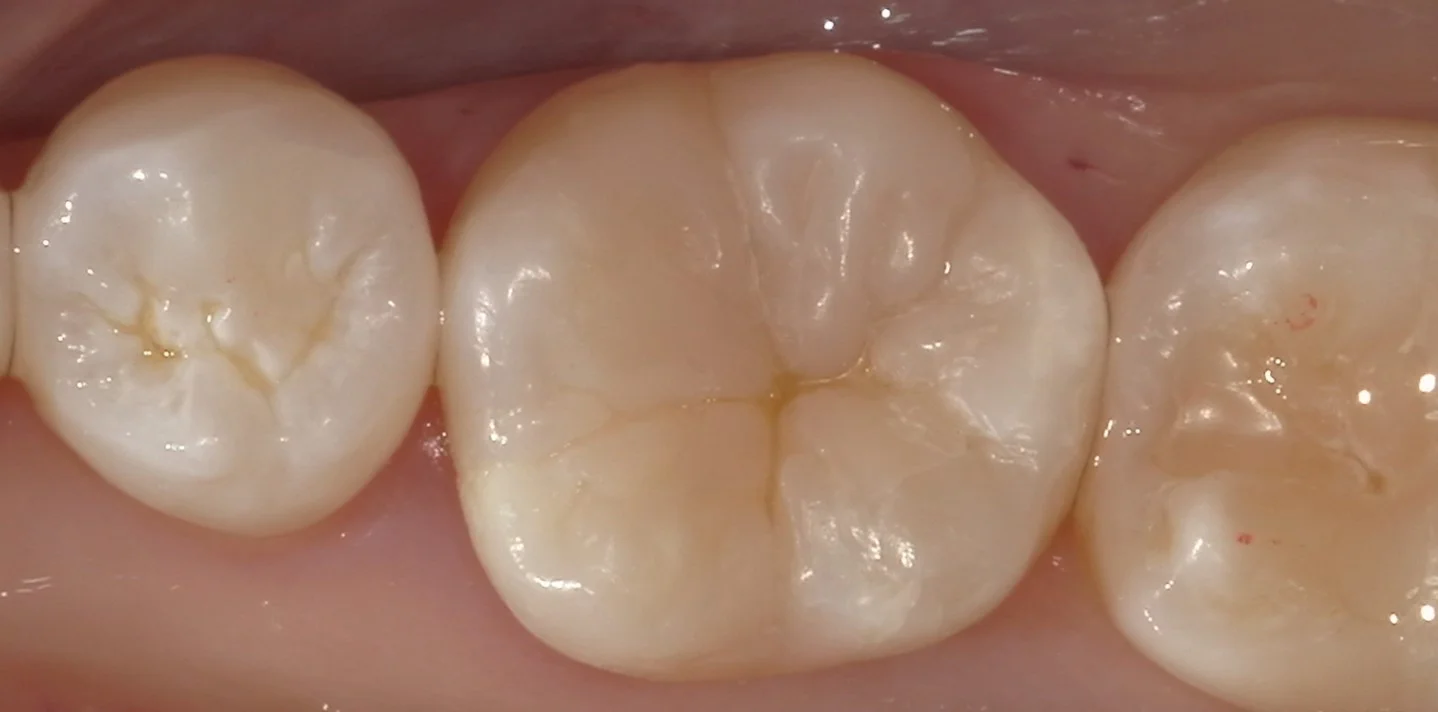
そして、詰め終わったのがこちらです。

如何でしょうか?
割と自然に仕上げられたかと思います。
歯の着色(ステイン)の再現は、今回前後の歯のステインも弱かったので、弱めにして調和するようにしています。
治療の術前術後がこちらです。

最初にお話ししていた歯の形が変だったというのがなんとなく分かったかと思います。
詰め物に十分な厚みも取れましたし、その後の連絡で術後の疼痛なども一切なかったそうですので、全く問題は無さそうで良かったです。
引き続きセルフケアを頑張っていただいて、問題ない口腔内環境を少しでも長く持続できるようにしてもらいたいですね!
(正直、既に私の口の中より大分綺麗でしたけど・・・(笑))
長時間の治療、お疲れさまでした!