こんにちは。
最近、どんどん気温が上がって行っていますね。
医療従事者としてどうかと思いますが、なるべく部屋からは出ずに、涼しく暮らしていきたいと思います。
さて、本日は前歯部のダイレクトボンディングの症例写真です。
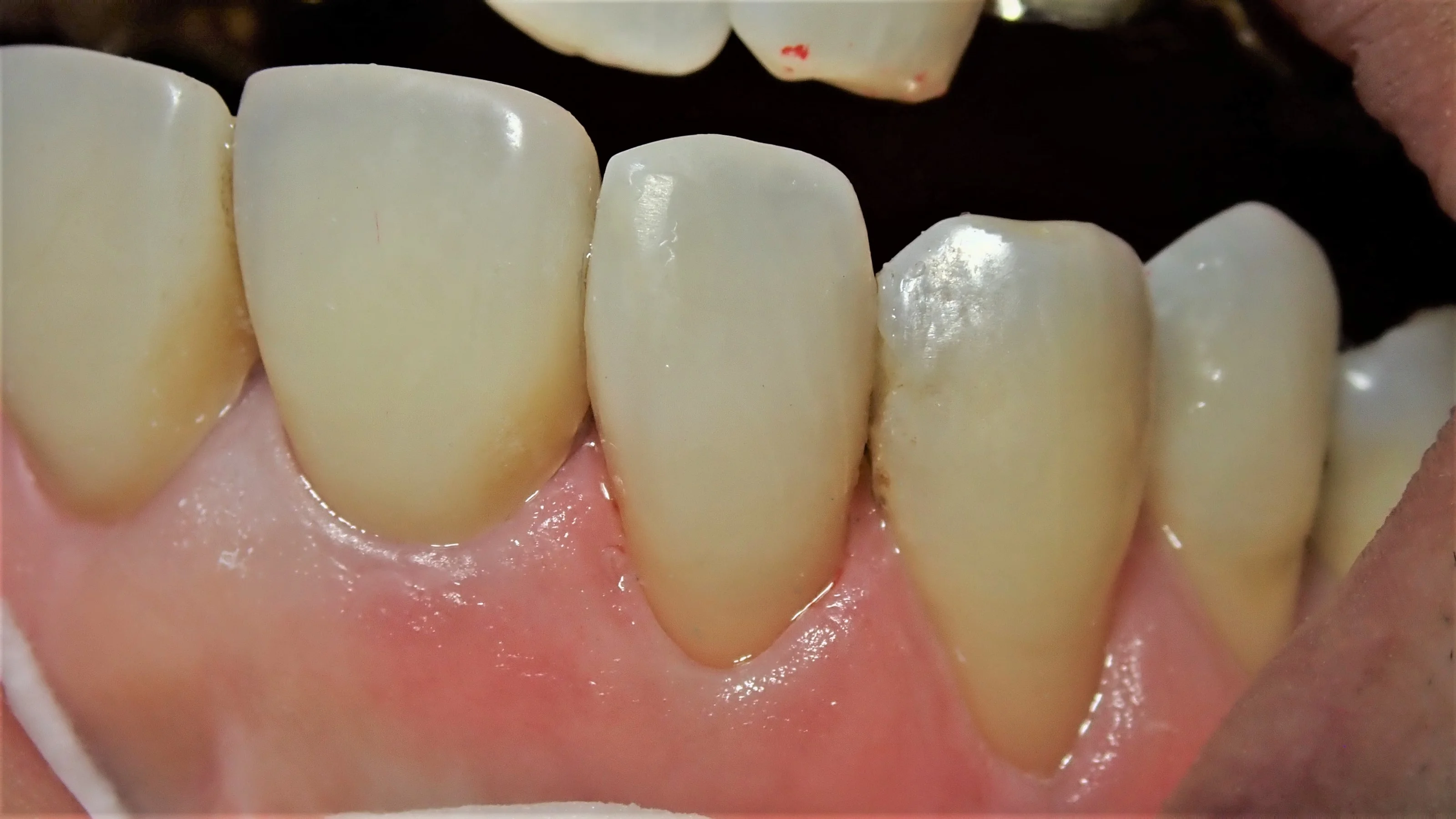
まずは術前の状態です。

歯の表側から見た状態です。
どこが虫歯か分かりますかね?
今回は結構色が透けているので、なんとなく虫歯になってるっぽいなと一般の方でも分かるかと思いますが・・・

裏側から見るとこんな状態になってしまっていました。
前後の歯の間から虫歯が入り込み、歯の中央で虫歯が繋がっている状態となっています。
歯科医師によってはいきなり抜髄処置に入ってもおかしくはないほどの虫歯です。
殆どの歯医者さんではこのサイズの虫歯は、恐らく被せ物以外の選択肢を出されないかと思います。
この状態であれば、私も被せ物を勧めさせていただくことが多いですね。
ただ、今回の場合は
・そもそも下の歯と噛み合っていない
・初めて治療をする歯だったので、むやみやたらと歯を削られていなかった
・そして思った以上に歯を温存できた
という点からダイレクトボンディングによる治療が可能と判断し、本人にも説明した上で処置に入らせて頂きました。
結果としては、
表側がこんな感じで

裏側がこんな感じです。

本来なら全周削って被せる「クラウン」形態になるような状況でしたが、無事に歯質を多く温存できたかと思います。
ちなみに、クラウンにするとなるとこういう感じで大きく歯を削る羽目になってしまいます。
(クラウン=被せ物です)

よく勘違いをされている方がいらっしゃいますが、歯の治療というものは何回でもやり直せるものではありません。
むしろ治療の回数を重ねれば重ねるほど虫歯のサイズは大きくなっていき、治療の難易度は上がり成功率は下がっていきます。
ですので、うちに通ってくださっている方には「回数券」のようなものと説明しています。
ダイレクトボンディングは非常に歯を温存出来る治療法ですので、回数券としては1枚程度の消費で済みますが、クラウン形態で治療を行おうとすると一気に3~5枚消費するようなイメージです。
そして治療法はもちろんですが、その材質によっても持ちが変わってきます。
ダイレクトボンディングは確かに非常に優れた治療法であると思いますが、その適用範囲を超えて無理やり治療を行ったとしても1年や2年程度しか使用できなければ、意味がありません。
回数券を1枚無駄に切っただけになりますからね。
なんでもかんでも治療できる万能薬のような治療法は残念ながらまだありません。
あくまでも適切に使用できる材料を診断しながら1回1回の治療を確実に完了させていくのが大事かと思います。
最後に術前術後の写真を載せて終了したいと思います。


しっかり長持ちしてくれれば良いなと思いますヽ(゚∀゚)ノ パッ☆
#虫歯の治療 #ダイレクトボンディング #自費診療