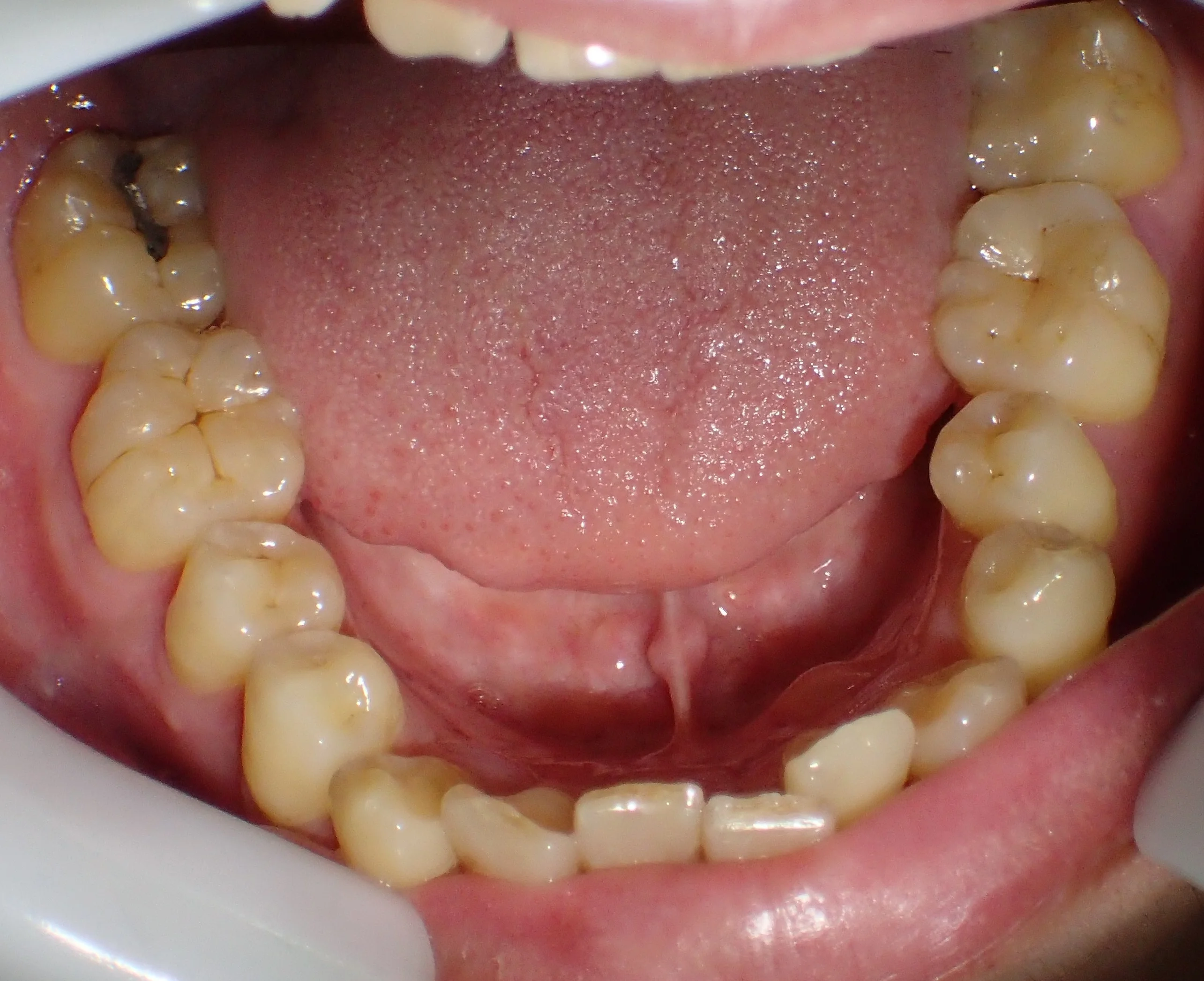
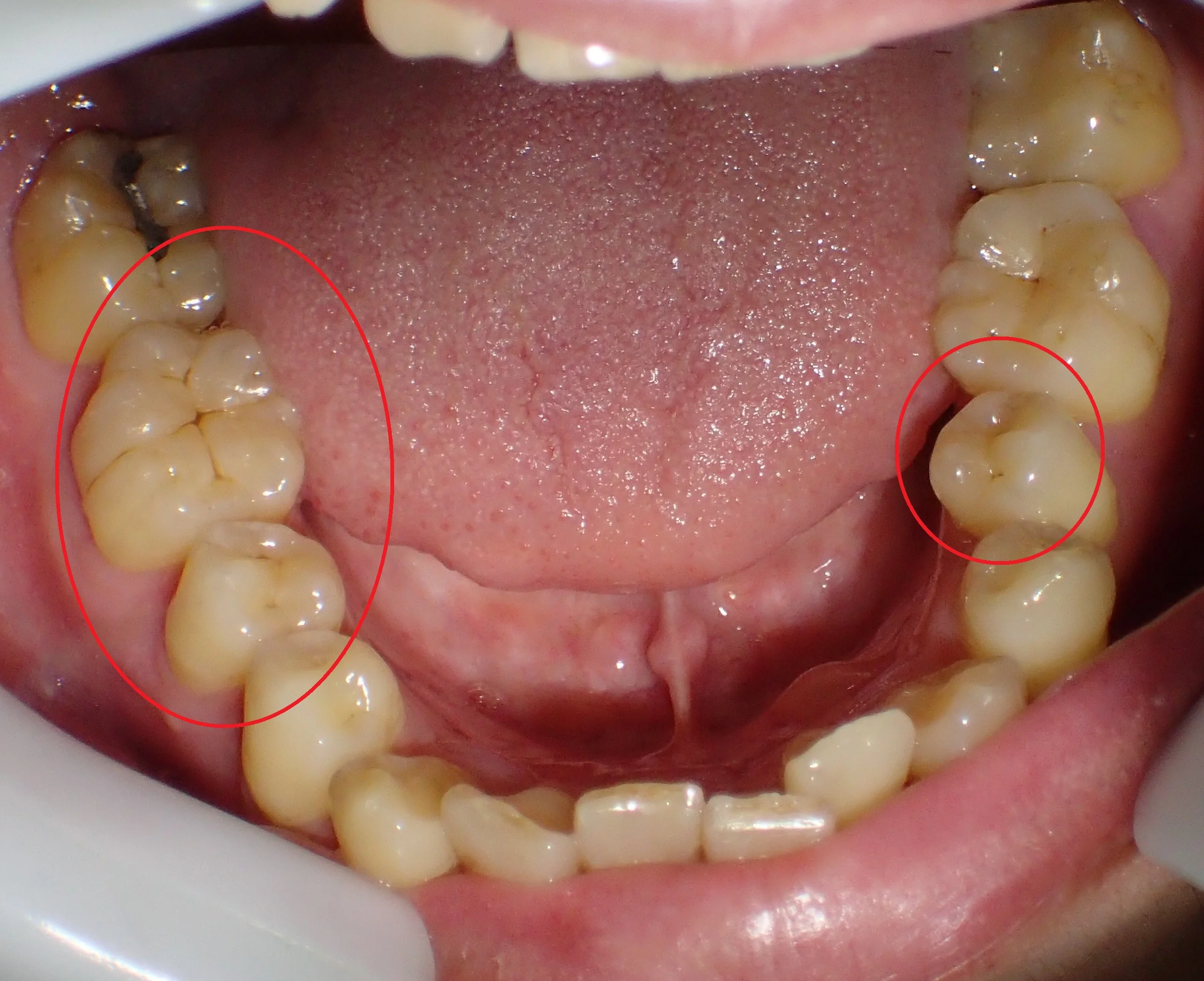
まだ坂寄歯科医院には全顎的にダイレクトボンディングで治療した症例がありませんので、前の医院にて治療を完了された方の写真を載せたいと思います。

写真が下手なのは勘弁してください・・・。
鏡面像で反転済みです。
「向こう側からこちらに向かって口を開いているイメージ」ですね。

どこを治療したかわかりますか?
答えは下の方に書いておきますので、スクロールしてください。
治療した箇所は、

・右上4,5,6
・左上4,5,6

・右下5,6
・左下5
でした!
如何でしょうか?
治療した部位は全て元々詰めていたメタルインレーが再び虫歯になってしまった状態でした。
幸いあまり大きくは削られてはいなかったので、全てをダイレクトボンディングで治療することが出来ました。
右下7はアマルガムという金属が入っていますが、別にそこは虫歯にはっていなかったです。
なので、患者さんの同意の下、治療はせずにそのままにしています。
ステイニングを行って、歯の溝の部分に色を付けると歯に立体感が出るので、急激に天然の歯っぽくなりますよね!
ちなみに、この方、右下6を一番最初に治させて頂いたのですが・・・
もう少しステイニングを弱めにしてほしいとの要望があり、他の箇所は控えめなステイニングにしました。
全ての治療を終え、患者さん本人には非常に喜んでもらえました。
※ダイレクトボンディング・ステイニングについては自費の項目にて説明させていただきます。
更新出来次第、こちらにリンクを貼りたいと思います。
#ダイレクトボンディング #自費診療