こんにちは。
なんだか秋口を待たずにコロナが再流行しそうですね・・・
早いところ落ち着いてくれれば良いんですけどね。。。
さて、今日は保険適用内の治療法のコンポジットレジンの症例を載せさせていただきます。
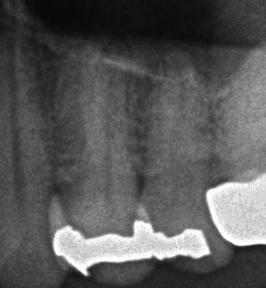
まずは診断の根拠となったレントゲンから

この画像で言うと、真ん中の歯なんですが・・・
金属の下が部分的にあからさまに黒くなっていますよね?
ここが虫歯になります。
後ろの金属については虫歯と断言しづらかったので、今回は介入してはいないです。
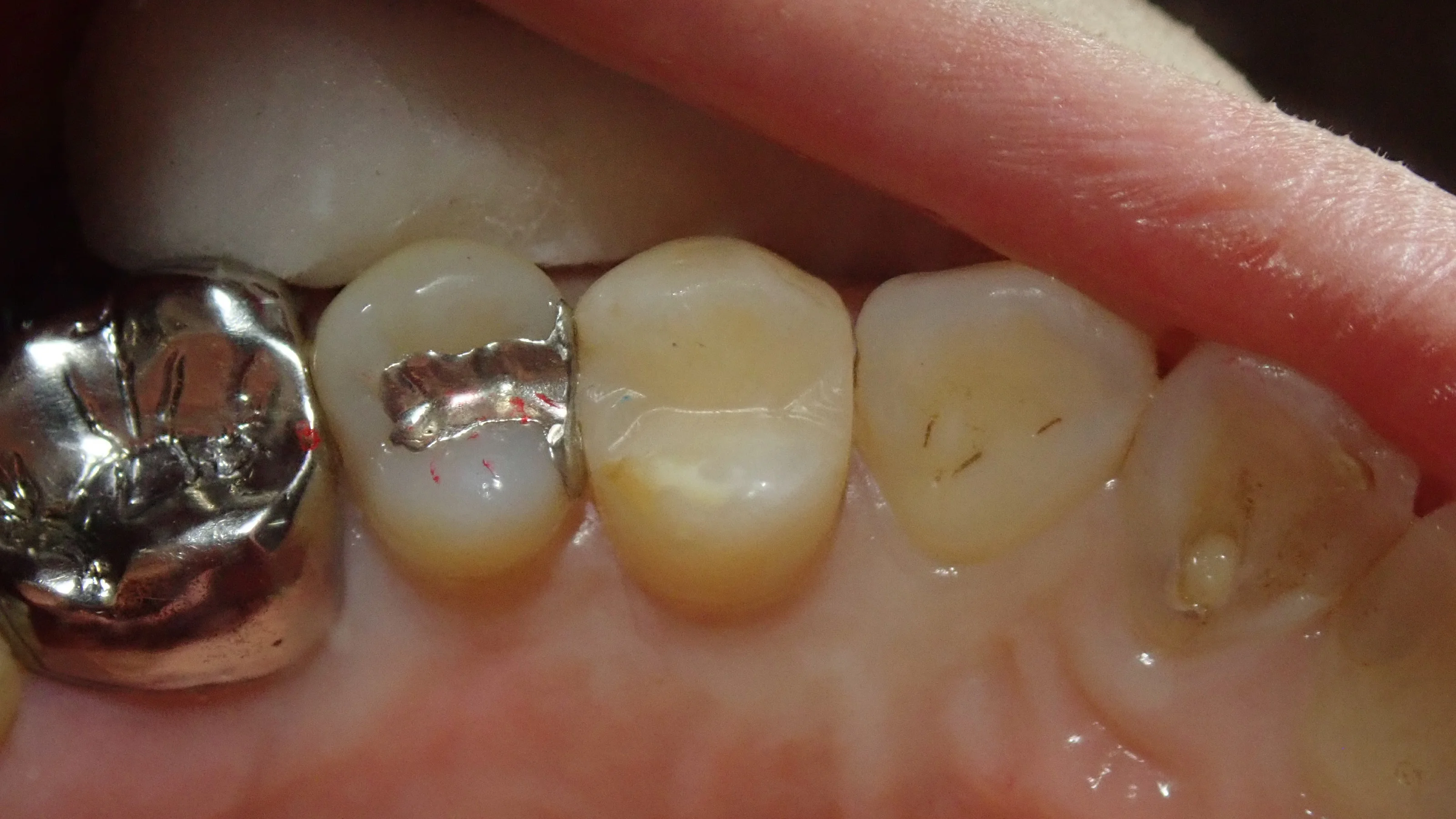
で、術前の写真がこちらです。

画面真ん中にある、両隣の歯に延びている金属の詰め物が入っている歯が今回治療した歯です。
ある程度経験を積んだ歯科医師であれば、このインレーを見た瞬間に・・・
「おぉぅ・・・虫歯になりやすい形態だなぁ・・・」
って思うと思います。
そして金属を除去したての写真がこちら。

セメントが残存していますが、両隣の歯に面している部分が黒くなっているのが分かるかと思います。
ちょっとわかりづらいので、セメントを除去しきった写真も載せます。

こうなると結構黒いのが分かると思います。
手前の歯との間については黒い部分だけではなく、あからさまに歯が柔らかくなっているのが確認できます。(写真のちょっと白いところ)
そして、虫歯を取りきったのがこちらです。

地味に大きかったですね・・・。
が、今回は結構歯が残せていますし、適合よく詰められそうなので、コンポジットレジンにて詰めていくことにしました。
詰め終わったのがこちらです。

外側と内側で歯の色が大きく違ったため、若干合わせる工夫をしています。
形態はいつも通り歯の溝を軽く再現するって感じですね。
白い詰め物は虫歯のサイズ・術者の腕によって予後が大きく左右されます。
なるべく持たせられるように気を使いながら詰めてはいるつもりです。
術後、写真を見せながら説明させていただいたら、綺麗と喜んでくれました。
患者さんに満足いただける治療が出来ると術者サイドとしてもうれしいですねヽ(゚∀゚)ノ パッ☆
なるべく長く使ってもらえると嬉しいです!
#保険診療,#虫歯の治療,#コンポジットレジン修復