こんにちは。 雪国の方ではもうすでに雪が結構降ってるようですね。
ここしばらく暖冬でウィンタースポーツもあまりできない状況でしたが、今年はしっかりと楽しめそうでよかったです。
また、今月は息子の行事で土曜日の休診日が多くなっております。
ご迷惑をおかけしますが、よろしくお願いいたします。
さて、ここ最近遠方からの初診の方や歯科医療従事者からの問い合わせが非常に増えております。 また初診数増加に伴い、急患対応も多くなってまいりましたので、再度ご案内させていただきます。 【当院での初診の取り扱いについて】 当院は現在、予約の患者さんで1〜2週間先まで比較的埋まっている状況になっております。 急患の場合は、コロナ渦も相まって、可能な限りお待ちいただかないよう予約の患者さんの治療内容等を考慮し、日時を指定させていただいております。 従って、どうしても「この曜日のこの時間で」などの希望される日時が限定的な場合は通常の予約をお願いしております。
皆様お仕事や私生活がお忙しい中、1~2週間お待ちいただいた上で予約を取っていただいております。 無理に初診の方の希望に対応することで予約の患者様の治療に影響を及ぼすことは、当院が目標としている「公平公正な医療の提供」には反してしまうと考えております。 痛みがあるなどの急を要する場合は、通常の予約枠ではないため希望の時間のご案内ができかねることを予めご了承ください。 (基本的な初診時の受診の流れはこちらをご覧ください。) さて、本日は審美領域の治療、セラミッククラウンについてです。
近隣の方ですね。最近当院近隣でも審美的な治療を希望される方が増えてきました。
見た目というのは社会生活上でとても大事になりますからそれが結構認識されてきているのかなと思います。 では、医療法(医療広告ガイドライン)の兼ね合いで毎回書いている内容をまた今回も記載したいと思います。 セラミッククラウンのメリットは ・生体親和性材料の為、アレルギーなどの反応は生じない。 ・細菌繁殖しにくい為、虫歯や歯周病になりづらい。 ・化学的に安定している為、変形変色などは生じない。 ・セラミックと歯茎は接着するため、歯茎が下がって行きづらい。
・自費診療で時間の制約がないため、精度の高い治療を行いやすい。
・担当する技工士さんが熟練の技術を有しているベテランの方のため、精度が高いものができる。
です。 逆にデメリットとしては、 ・一部欠けてしまった場合はそこだけの修理などはできず、完全に一度破壊してやり直す必要が出てくる。 ・所謂「陶器」の為、衝撃などに弱く、術者の腕や噛み合わせによっては割れたり欠けたりすることがある。 ・適正な厚みを確保する必要があるため、それが出来ないケースには使用できない。 ・金属の被せ物に比べると歯を削る量が多め。 ・保険が使えない為、高額(当院では1本140,000〜180,000円(税込)です)。 といったところです。 ダイレクトボンディングのブログの時に毎度書いていますが、私はよく「歯の治療は回数券」と患者さんにお伝えしています。 20枚綴りの回数券を治療の度に消費していくとします。 ダイレクトボンディングは1~2枚程度しか消費しない治療法ですが、部分的な金属の詰め物は一気に3~5枚くらい消費するようなイメージで、被せ物についてはは5~10枚消費するようなイメージです。 セラミッククラウンは被せ物ですので大体5〜10枚使用するような感じです。 ただしメタルクラウンやCAD/CAM冠に比べ、その物性的に非常に予後が良くなりやすい材料でもあります。
そのため、1回1回の治療が長持ちしやすくなり、結果として前述の2つのクラウンよりも歯を残せる確率が上がってきます。 大体何年もつの?と聞かれることがありますが、残念ながら断言しかねます。 元々の歯の残存量はもちろん、神経の治療の有無・噛み合わせや歯並び・TCHなどの習癖など様々な要因によって持ちは変わって来るためです。 ただ一般的には10年を超えて生じるトラブルは寿命と考えた方がいいと言われていますので、大体そのくらいを目安に考えてもらった方がいいかもしれませんね。
それでは実際の症例写真に写っていきます。
まずは仮歯の状態です。

画面中央の歯が現在仮歯の状態です。
基本的に私は奥歯の治療の際に精度の高い仮歯であるプロビジョナルレストレーションは作りません。
審美的にそこまで重要ではない部位というのもそうですが、ある程度の形なら上の写真の通り私でも作成は可能ですので・・・奥歯に関してはこれでいいかなと思ってます。
最低限の形さえ入っていれば被せの精度には大きな影響はないと思ってる感じですね。
そしてSet当日に仮歯を数したのがこちらです。

セラミックはもちろんですが、全ての素材において必要な厚みというものが決まっていますから、その厚みを確保しつつ、歯の厚みも確保しつつ…歯の軸を狂わないように…って感じで形を整えますので、地味に時間がかかるんですよね。
また型取りに関しても、歯の周りに糸を入れたりして、綺麗に歯の形を型取りし、技工士さんにその情報を正確に渡す必要があります。
必然的に時間の確保が容易な自費の方が精度が上がりやすくなりますね。
もちろん作り手の差もありますけどね。
実は材料以上にその作る工程そのものの違いっていうのが保険と自費では大きいんですよね。
最終的なものがこちらです。

歯の細かい形がやはり仮歯とは違います。
最終的なものの方がこう、シュッとしてる感じですね。
調整も不要でしたので、そのままセットして終了しました。
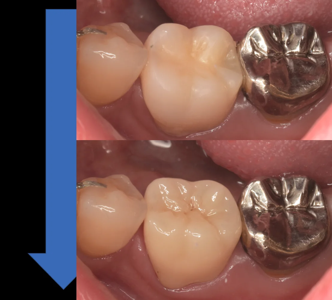
術前術後です。

圧倒的に仮歯に比べて綺麗なのがわかると思います。
ちなみに私は仮歯は自費のものの場合は保険でのコンポジットレジンを使用して作成します。
保険のCAD/CAM冠と同じようなマテリアルであるハイブリッドレジンになりますので、イメージ的には上の方が保険・下の方が自費というような仕上がりになると思っていただくとわかりやすいかもしれませんね。
セラミックとはいえ、食生活を含めた生活習慣次第では持たないと言うことも十二分にありますので、フッ化物の適正使用を含めて、そこへんは今後も注意していただければ幸いです。
複数回の治療、お疲れ様でした。