不適合なレジンを再治療。

こんにちは。

 

 

さて、ここ最近遠方からの初診の方や歯科医療従事者からの問い合わせが非常に増えております。

また初診数増加に伴い、急患対応も多くなってまいりましたので、再度ご案内させていただきます。

 

【当院での初診の取り扱いについて】

当院は現在、予約の患者さんで1~2週間先まで比較的埋まってきている状況になっております。(土曜日は相変わらず1月先まで埋まっております。)

急患の場合は、コロナ渦も相まって、可能な限りお待ちいただかないよう予約の患者さんの治療内容等を考慮し、日時を指定させていただいております。

従って、どうしても「この曜日のこの時間で」などの希望される日時が限定的な場合は通常の予約をお願いしております。

皆様お仕事や私生活がお忙しい中、1~2週間お待ちいただいた上で予約を取っていただいております。

無理に初診の方の希望に対応することで予約の患者様の治療に影響を及ぼすことは、当院が目標としている「公平公正な医療の提供」には反してしまうと考えております。

痛みがあるなどの急を要する場合は、通常の予約枠ではないため希望の時間のご案内ができかねることを予めご了承ください。

(基本的な初診時の受診の流れはこちらをご覧ください。)

 

さて、本日の症例写真はダイレクトボンディングについてです。

他院にてレジン治療を受けたそうなんですが、適合が悪く形が気になるとのことで当院を受診されました。

 

保険自費問わずレジン治療は術者の技術が全ての治療になります。

持つ持たないは噛み合わせなどから総合的に判断する必要がありますが、良好な適合が得られなければ長期安定にはつながりません。

若い先生方はレジン治療がデフォになってきていますが、適合が得られなかった場合には諦めて間接法に切り替える勇気を持っていただきたいですね。

 

 

では、医療法(医療広告ガイドライン)の兼ね合いで毎回書いている内容をまた今回も記載したいと思います。

 

ダイレクトボンディングのメリットは

・基本的には歯を最も多く残すことが出来る治療法である。

・もし一部欠けたりしても、そこだけ治療しなおすことが出来る。

・歯よりも少し柔らかい(反対側の歯が割れたりはしない)。

・金属を使用しないため、金属アレルギーは生じない。

 

です。

 

逆にデメリットとしては、

・材質的に経年劣化を起こしてくるので、後々磨き残しが溜まりやすくなる。

・強度が弱いため、割れたり欠けたりすることがある。

・保険が使えない為、高額(当院では4万円+税です)。

 

材質的なデメリットは非常に大きいのですが、それを考えても患者さんにお勧めできるメリットは、被せ物になるのを、5年でも10年でも先に伸ばすことが出来るという点です。

 

1回治療したところは必ずいつか駄目になりますが、その時に歯が残っていれば、ひょっとするとまたダイレクトボンディングで対処できるかもしれませんからね。

 

私は良く「歯の治療は回数券だ」と患者さんにお伝えしています。

 

20枚綴りの回数券を治療の度に消費していくとします。

ダイレクトボンディングは1~2枚程度しか消費しない治療法ですが、部分的な金属の詰め物は一気に3~5枚くらい消費するようなイメージで、被せ物についてはは5~10枚消費するようなイメージです。

(先生によってはインレーの段階で10枚くらい一気に行くかもしれません・・・。)

 

例えばダイレクトボンディングが1回の治療で5年持ったとして…クラウンと同様の5枚消費するには25年かかります。

 

逆にクラウンを25年以上持たせることが出来るのなら良いのかもしれませんが…それが出来る!と自信満々に答えられる歯科医師はまずいないでしょう。

 

もちろん先生によって考え方は違いますし、価値観も違うため患者さんがどこの医院を選び、何の材料を選ぶかは人それぞれですが…

 

少なくとも私が同じような状態で治療を受ける際には可能な限りはダイレクトボンディングで治療してもらいたいですね。

 

で、ダイレクトボンディングでは無理というサイズになってきたら、今度は被せ物(クラウン)に移行するという流れを希望すると思ってます。

 

また、治療とは削る量が増えれば増えるだけその難易度も増していきます。それに伴って、持つ期間としても短くなっていってしまいます。

 

だからこそ小さいサイズの虫歯の時点で、ダイレクトボンディングで治療する意義は非常に大きいんです。

 

当院は保険医療機関ですので、非常に小さい虫歯の場合は保険適用内の「コンポジットレジン修復」にて治療を行っていますので、もし精度や持ちに拘りがあるのであれば、最初から「ダイレクトボンディングを希望」とお伝えください。

 

先日来院されてから自費診療を希望された方がいらっしゃったのですが、保険と自費の治療ではその予約時間が大きく異なりますので、本数が制限されてしまい、来院回数が増えてしまうことがあります。

 

ですので、次回予約の際には「自費診療希望である旨を伝えておいていただければ幸いです。」

 

 

さて。

 

では症例写真に移ります。

 

まずは術前からです。

 

不適合なレジンを再治療。|坂寄歯科医院(取手市藤代)

2本の歯の間にレジンでの治療痕があります。

特に左側の適合が悪く、歯茎の上に乗ってしまっている状態になっていますね。

 

また歯に関しては元々小さい形態だったのも気になると言うことでしたので、このタイミングで治すこととなりました。

 

 

虫歯を除去したのがこちらです。

 

不適合なレジンを再治療。|坂寄歯科医院(取手市藤代) - 画像2

 

レジンの適合が悪く、歯茎が大きく炎症を起こしていたためそれを抑えるためにゴムのマスクをつけています。

基本的には私は歯茎の形も確認しながら詰めたいタイプなのであまりこのマスクをつけることはないのですが、流石に今回は予後を優先して歯茎をこんな感じで押し退けました。

 

そして詰め終わったのがこちらです。

 

不適合なレジンを再治療。|坂寄歯科医院(取手市藤代) - 画像3

 

適合を合わせてなるべく段差がないように研磨しました。

 

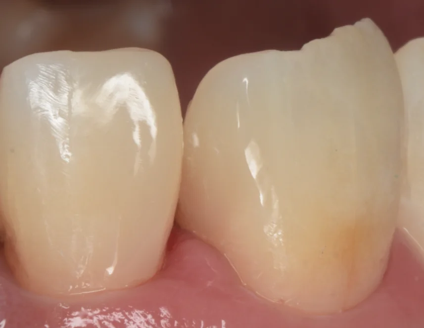
術前術後の比較がこちらですね。

 

不適合なレジンを再治療。|坂寄歯科医院(取手市藤代) - 画像4

歯茎からの立ち上がりを見てもらうとどれだけ適合が悪かったかがわかるかと思います。

 

歯茎を無理やり押し退けたので、元に戻るまでは1週間くらいはかかってしまいますが、適合はしっかりと合わせているので炎症のない綺麗な歯茎になってくれるかと思います。

 

長時間の治療お疲れ様でしたヽ(゚∀゚)ノ パッ☆

← ブログ一覧に戻る