明けましておめでとうございます。
去年は非常にドタバタとした一年でした・・・。
今年はもう少し緩やかに過ごせるといいのですが・・・。
そして、PCも無事に治りましたので、またブログの更新をしていきたいと思います。
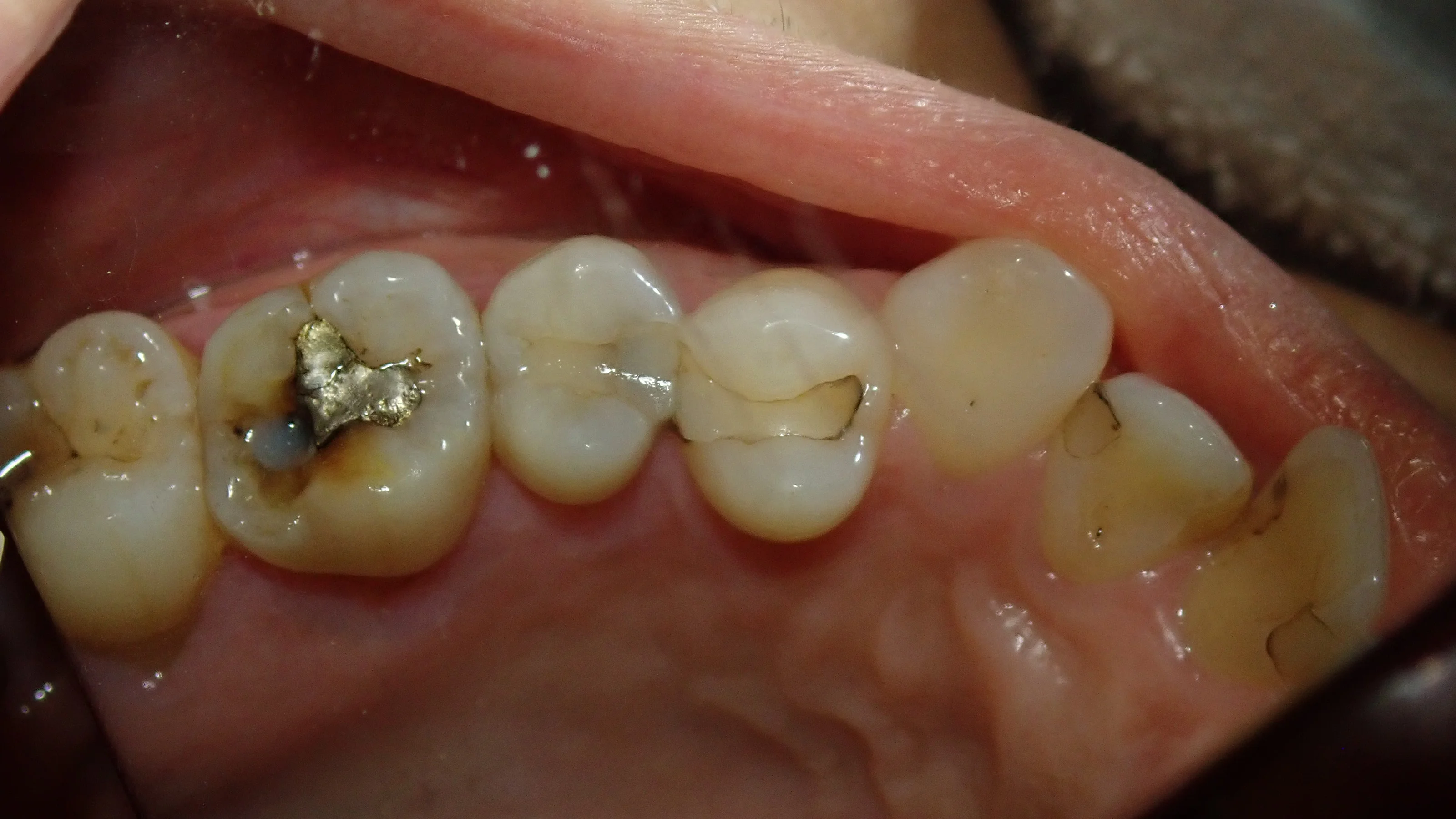
まずはいつもどおり術前から。

今回行うのは画面真ん中の2本の虫歯になります。
元々治療されている白い詰め物の中が黒っぽくなっているのが分かるかと思います。
かるーく昔の白い詰め物を削ってみると・・・

割と分かりやすく黒くなっているますね。
詰め物だけ完全に除去してみると、こうなりました。

左側の歯が、その更に奥の歯との間にも虫歯があることが分かりました。
どうせ費用も手間も変わりませんので、本人にもそのように説明後、そのまま虫歯を全て取り除きました。
取り除いた後の画像がこちらです。

歯の色が全然違うのが分かるかと思います。
そして、歯茎ギリッギリで、合っていないCRが入っていたため、歯石がべったりと付いていました。
白い詰め物を詰める前に歯石を綺麗に取っておかないと「詰めたもの」と「歯」との間に段差が出来てしまい、結局直ぐにダメになってしまいます。
歯茎ギリギリまで虫歯になっていたので、歯石を取る段階で結構出血してしまいました・・・。
十分な止血後に、詰め物を詰めたのがこちらです。

歯との間に段差などは付かずに綺麗に詰められたかと思います。
術前術後の比較がこちらです。

基本的に保険診療では審美的な治療を行う事はご法度となっていますし、その治療単価も非常に低く設定されています・・・。
そのため、ステインなどは入れられませんし、時間をかけて本来の歯の形に近い造形をすることもできませんので、ダイレクトボンディングに比べるとどうしてもこういったのっぺりとした印象のする詰め物になってしまいます。
それでも、治療後の写真をお見せしたら患者さんには非常に喜んでいただけました。
フロスなどのひっかかりはもちろんない様に仕上げていますので、歯間ブラシ・フロスの活用を頑張って頂ければそこそこ持たせることは出来るかと思います。
#保険診療 #コンポジットレジン #虫歯の治療