こんにちは。
4月にある顕微鏡歯科学会の申し込みが遅れたせいで、毎回参加している懇親会への参加が出来なくなってしまいました・・・。
大人しく学会のみの参加で勉強をしっかりとしてきたいと思います。
(当日キャンセルなどで会場に空きが出来たらこっそりと侵入したいと思います(笑))
さて、今日はダイレクトボンディングです。

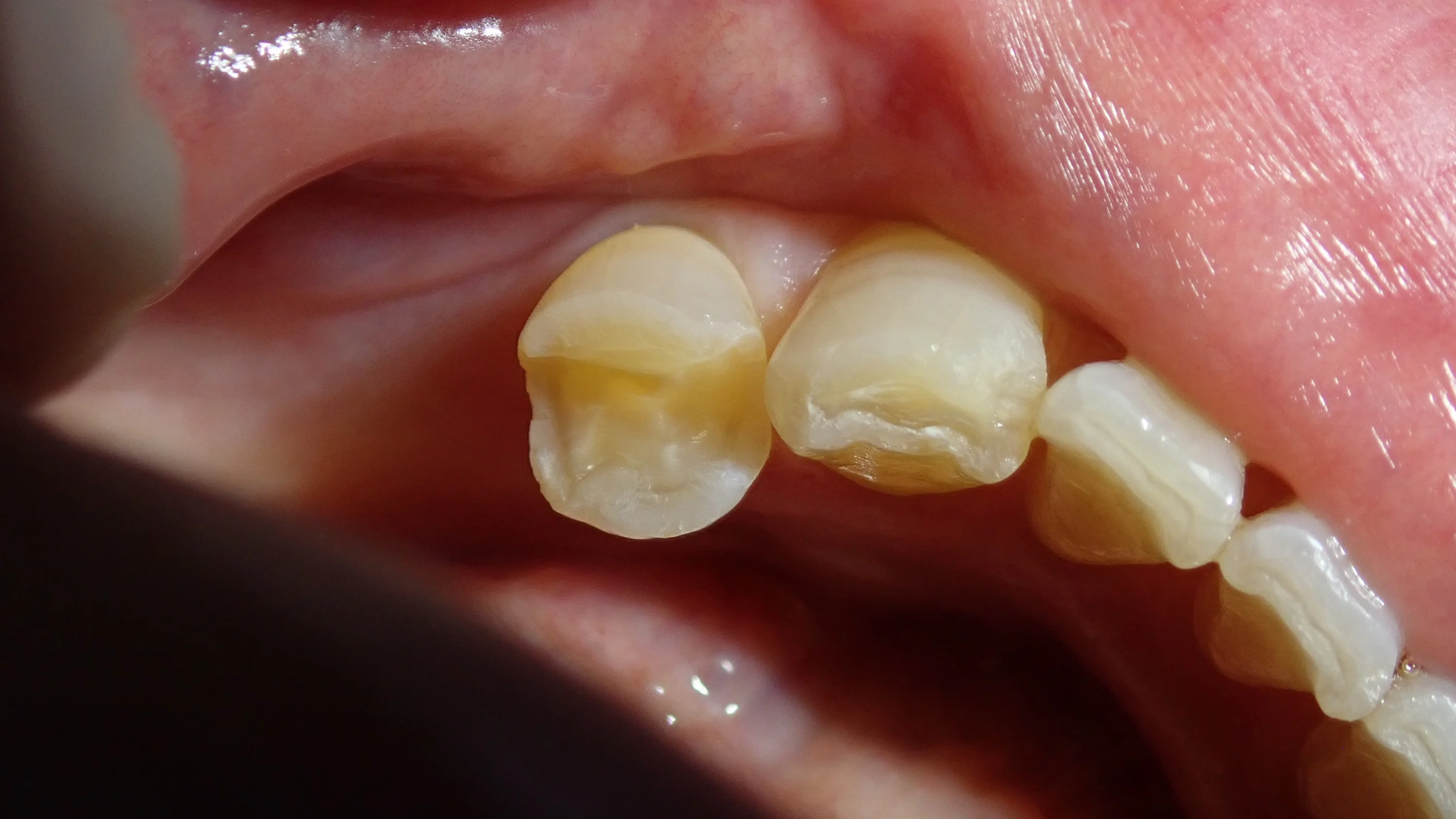
元々詰めていた詰め物が取れてしまった状態です。
下は特に虫歯とかにはなっていませんでしたので、接着の問題だったっぽいですね。
後ろには義歯を使用しており、ここの詰め物が無いと困る状況
&
歯としては非常に多くの歯が残っている状況
という事で1日で治療が完了するダイレクトボンディングにて治療を行う事となりました。
既に虫歯等ではない状況なので、術中の写真等はありません。
いきなり治療後の写真です。

少し歯が無い側の丸みが足りないように見えますが・・・
これには理由があります。

義歯を入れた際に、画像の金属部分としっかりとフィットさせたかったので、こういう形態になりました!
この金属部分は『レスト』と言い、入れ歯の部分で噛んだ力を手前の歯に加える役割があります。
これがしっかりと機能していないと、噛む力によって入れ歯が歯茎に沈み込みを起こし、
結果として噛むと痛い・歯茎が痩せるという問題が出てきます。
よくこのレストがない義歯を見かけますが、義歯としての機能を十分に発揮できない状況ですので、早い所作り直した方が良いと思います。
金属の詰め物やセラミックは型取りをして作りますが、その作業工程上、このレストに完全に合わせて作成することは不可能です。
結果として、金属の詰め物やセラミックを作った場合は、義歯も作り直す必要が出てきてしまいます。
・・・話が逸れました。
ダイレクトボンディングだとこういう動きも可能なので、患者さんも無駄に出費せずに済みます。
まぁとはいえ、被せ物などの場合は対応できないので、出来る場合と出来ない場合がありますけどね・・・(;^_^A
#自費診療,#虫歯の治療,#ダイレクトボンディング