虫歯はない・・・?本当に・・・?

こんにちは。

 

定期検診で歯科医院を受診している方は年々増加傾向にあります。

実際、当院に初診でいらっしゃった方も「他の医院で定期検診を半年前までやってた」とか、「長年同じ医院で見て貰ってたんだけど・・・」という方が多いです。

 

日本国内の歯に対する考え方が随分と変わってきており、

昔は「痛くなったら行くところ」というイメージだったのが、今では「痛くならないようにするために行っておくところ」というイメージになってきました。

 

多くの方が「悪くなってから治すよりも、予防しておいた方が安上がり」という事に気付き始めた感じだと思います。

 

とはいえ、定期検診もただ行くだけでは意味がありません。

なにかトラブルが生じる前にしっかりと各種指導をして頂き、もしトラブルが生じたとしても素早く処置に介入できるようにしっかりと診査をして頂く必要があります。

 

最も・・・そもそも見ても気付いてもらえなければ意味がありません。

 

例えば、こちらの方ですが・・・

 

定期検診に行っていた方ですが、歯周検診を希望されて当院を受診しました。

注)歯周検診は歯科医師会に加入している歯科医院でしかできません。

 

半年に1回ほどの周期で必ず歯科医院を受診されていたとのことでしたが・・・

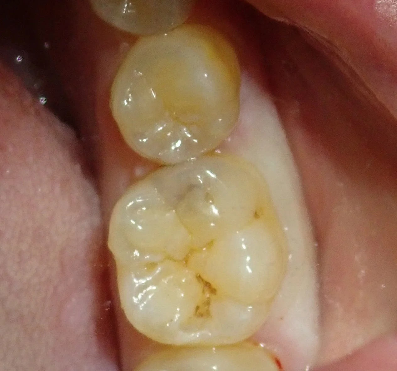
肉眼で見た時点で既に大きな虫歯が複数・・・。

 

こちらには当然説明義務がありますので、素直に「虫歯が結構ありますよ。」とお伝えしたところ、「定期的に見て貰ってるのに、そんなわけない!」という反応でした。

 

実際に一番分かりやすい歯の写真を撮らせてもらい、実際に確認してもらうと・・・

「本当だ・・・黒いですね・・・」

という具合に分かってもらえました。

 

本人の希望もありましたので、今後の治療は当院で行う事となりました。

歯周検診を行った日にはレントゲンを含めた診査はもちろん、実際の治療に入る事は保険のルール上出来ません。

 

また後日来院時に全顎的な診査を行った後でスケーリング後に虫歯の治療に入る事になりました。

 

そして治療当日の術前の写真

虫歯はない・・・?本当に・・・?|坂寄歯科医院(取手市藤代)

もうこの時点でどこに虫歯があるかなんとなく分かる方もいると思います。

 

軽く削ってみると

虫歯はない・・・?本当に・・・?|坂寄歯科医院(取手市藤代) - 画像2

こんな感じ。

中に入り込んできているのが分かりますね。

 

虫歯を取りきったのがこちらの写真。

虫歯はない・・・?本当に・・・?|坂寄歯科医院(取手市藤代) - 画像3

ツヤのある硬くて健康な歯が出てきましたね。

 

手前の歯も若干黒っぽく見えていましたが、どうやら虫歯が透けて

 

若干着色が残っていますが、ここは十分な硬さがありますし、虫歯ではないので、そのまま詰めていきました。

 

詰め終わったのがこちら。

虫歯はない・・・?本当に・・・?|坂寄歯科医院(取手市藤代) - 画像4

保険診療希望でしたので、色は正直全く合っていません。

一般の方が普通に話してて気づくようなレベルではないですが・・・

歯科医師はもちろん、歯科衛生士さんには絶対にばれますね(笑)

 

フロスは引っかからないですし、かみ合わせもしっかりと合わせているので、機能的には全く問題はありません。

 

術前術後の比較がこちらです。

虫歯はない・・・?本当に・・・?|坂寄歯科医院(取手市藤代) - 画像5

 

虫歯の治療は終わったらそこで終了ではなく、その後も定期検診などを通してしっかりと口の中の健康を管理して頂く必要があります。

 

通院先はもちろん、治療方法やその材料を選ぶのはご自身ですからね。

結果としてご自身の健康を守れるのはご自身しかいません。

 

20年30年後に後悔しない選択を行えると良いですね。

私も治療や歯周病の継続管理を行っていく中で20年30年後に患者さんが後悔しないで済むように今後も勉強を続けていきたいと思います!

← ブログ一覧に戻る