こんにちは。 気づけばもう9月ですね。
今月はセミナーが3本控えているので、少し忙しいですが、頑張っていきます。
さて、ここ最近遠方からの初診の方や歯科医療従事者からの問い合わせが非常に増えております。 また初診数増加に伴い、急患対応も多くなってまいりましたので、再度ご案内させていただきます。 【当院での初診の取り扱いについて】 当院は現在、予約の患者さんで1〜2週間先まで比較的埋まっている状況になっております。 急患の場合は、コロナ渦も相まって、可能な限りお待ちいただかないよう予約の患者さんの治療内容等を考慮し、日時を指定させていただいております。 従って、どうしても「この曜日のこの時間で」などの希望される日時が限定的な場合は通常の予約をお願いしております。
皆様お仕事や私生活がお忙しい中、1~2週間お待ちいただいた上で予約を取っていただいております。 無理に初診の方の希望に対応することで予約の患者様の治療に影響を及ぼすことは、当院が目標としている「公平公正な医療の提供」には反してしまうと考えております。 痛みがあるなどの急を要する場合は、通常の予約枠ではないため希望の時間のご案内ができかねることを予めご了承ください。 (基本的な初診時の受診の流れはこちらをご覧ください。) さて、本日は審美領域の治療、セラミッククラウンについてです。
近隣の方ですね。最近当院近隣でも審美的な治療を希望される方が増えてきました。
見た目というのは社会生活上でとても大事になりますからそれが結構認識されてきているのかなと思います。 では、医療法(医療広告ガイドライン)の兼ね合いで毎回書いている内容をまた今回も記載したいと思います。 セラミッククラウンのメリットは ・生体親和性材料の為、アレルギーなどの反応は生じない。 ・細菌繁殖しにくい為、虫歯や歯周病になりづらい。 ・化学的に安定している為、変形変色などは生じない。 ・セラミックと歯茎は接着するため、歯茎が下がって行きづらい。
・自費診療で時間の制約がないため、精度の高い治療を行いやすい
・担当する技工士さんが熟練の技術を有しているベテランの方のため、精度が高いものができる。
です。 逆にデメリットとしては、 ・一部欠けてしまった場合はそこだけの修理などはできず、完全に一度破壊してやり直す必要が出てくる。 ・所謂「陶器」の為、衝撃などに弱く、術者の腕や噛み合わせによっては割れたり欠けたりすることがある。 ・適正な厚みを確保する必要があるため、それが出来ないケースには使用できない。 ・金属の被せ物に比べると歯を削る量が多め。 ・保険が使えない為、高額(当院では1本180,000円(税込)です)。 といったところです。 ダイレクトボンディングのブログの時に毎度書いていますが、私はよく「歯の治療は回数券」と患者さんにお伝えしています。 20枚綴りの回数券を治療の度に消費していくとします。 ダイレクトボンディングは1~2枚程度しか消費しない治療法ですが、部分的な金属の詰め物は一気に3~5枚くらい消費するようなイメージで、被せ物についてはは5~10枚消費するようなイメージです。 セラミッククラウンは被せ物ですので大体5〜10枚使用するような感じです。 ただしメタルクラウンやCAD/CAM冠に比べ、その物性的に非常に予後が良くなりやすい材料でもあります。
そのため、1回1回の治療が長持ちしやすくなり、結果として前述の2つのクラウンよりも歯を残せる確率が上がってきます。 大体何年もつの?と聞かれることがありますが、残念ながら断言しかねます。 元々の歯の残存量はもちろん、神経の治療の有無・噛み合わせや歯並び・TCHなどの習癖など様々な要因によって持ちは変わって来るためです。 ただ一般的には10年を超えて生じるトラブルは寿命と考えた方がいいと言われていますので、大体そのくらいを目安に考えてもらった方がいいかもしれませんね。
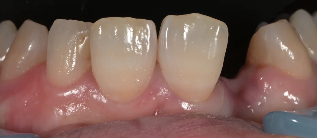
それでは実際の症例写真に写っていきます。
まずは術前の口腔内写真です。

画面左側の歯がない部分に歯を追加していきます。
通常こう言った歯が1本なくなったところを治療するとすると、
・インプラント
・ブリッジ
・入れ歯
の3つの選択肢から選ぶことになります。
今回患者さんが選択したのは、ブリッジに該当する治療法なのですが、本来ブリッジとは前後2本の歯を大きく削って被せ物を入れるため、歯の寿命を大きく縮めてしまう治療法ではあります。
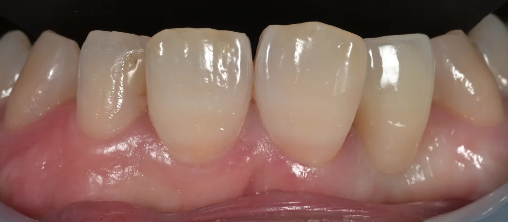
では今回どのように治療したのかというと・・・術後の写真がこちらになります。

こんな感じです。
元の歯はぱっと見ほとんど変わってないように見えますよね?
どうなっているのかというと・・・
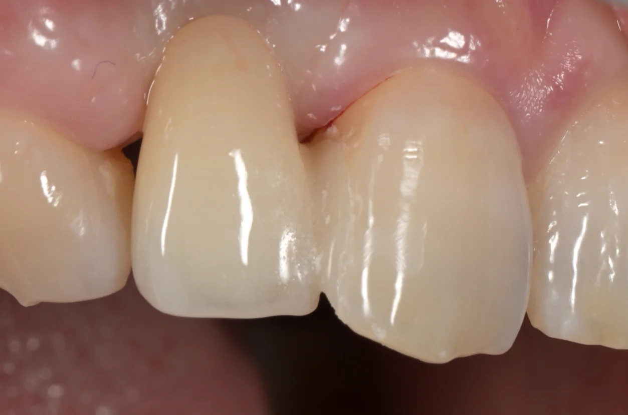
噛む面からの写真がこちらになります。

ちょっと暗いのでわかりづらいですが・・・
画面中央の2本の歯のうち、左側の歯の内側のごく一部だけを一層削っています。
最終的なものを入れた状態の写真がこちらです。

こんな感じで、一層削った部分だけを覆って、横に伸ばしているんですね。
こう言った治療法を「シングルリテーナー接着ブリッジ」といいます。
要は接着ブリッジのメタルフリー版って感じをイメージして貰えばわかりやすいですね。
写真上だと少し隙間があるように見えるかもしれませんが、仮に合わせた状態でちょっと浮いているだけで、実際には隙間がなく非常にいい適合を得られていました。
斜めから見たのがこちらになります。

セメントでつけた後にそのセメントを除去した時の写真です。
隙間も段差もなく綺麗にハマっているのがわかると思います。
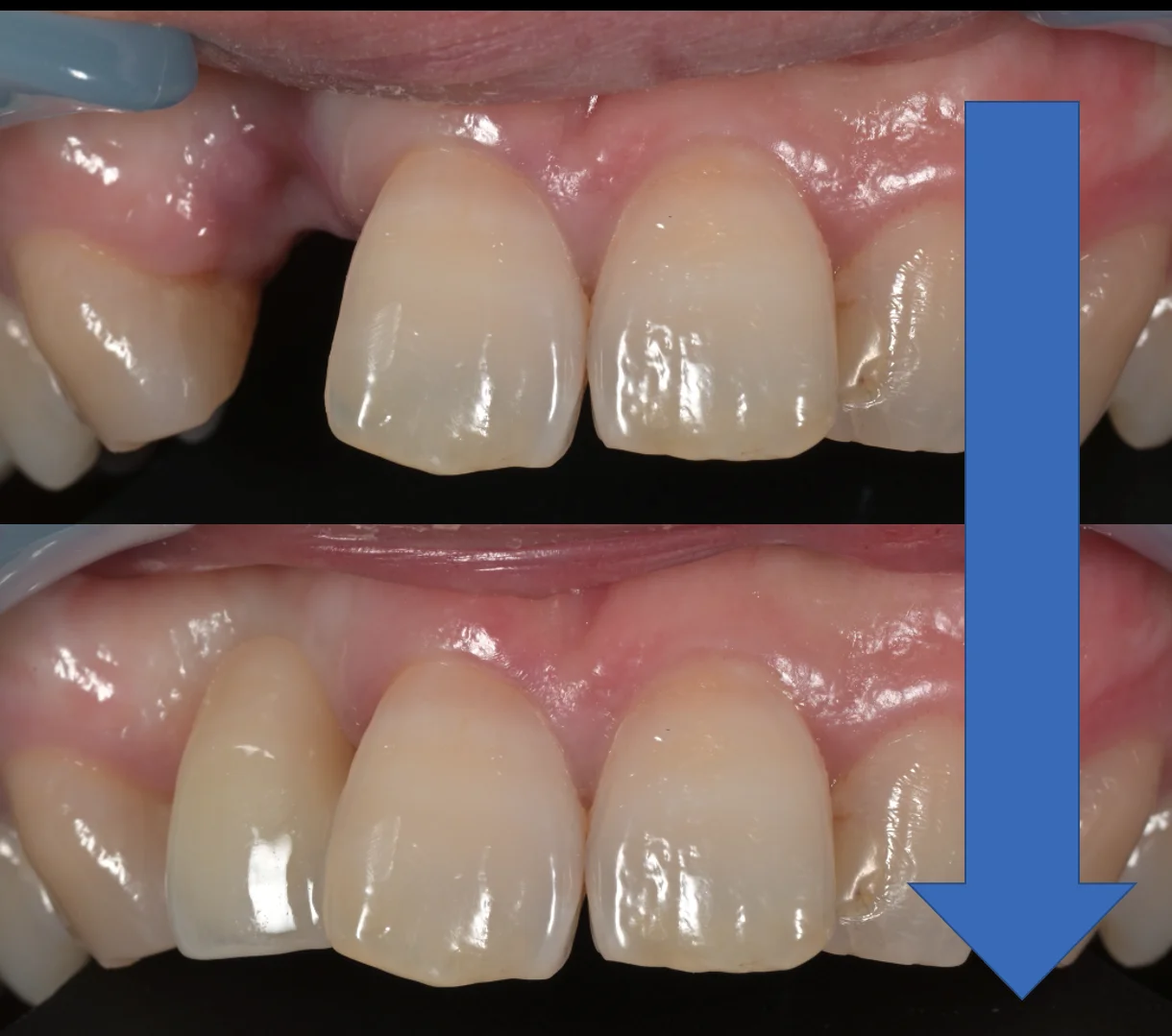
正面からの術前術後です。

噛む面からの術前術後です。

今回のように
・骨が痩せてしまっている場合、インプラントを行うには難易度が非常に高くなってしまう
・前後ともに健全な歯で削るのが勿体無い
・噛み合わせが前歯では強く当たらない
と言ったケースにおいては非常に有効な治療法であると思いますので、今後もやる機会は増えてくると思われます。
今回の治療もしっかりと長持ちするといいですね!
長時間の治療、お疲れ様でした!