こんにちは。
とうとう一部病院で病床が埋まってしまって、コロナ以外の患者の受け入れも出来ない状況になってきてしまっていますね・・・。 また感染者数もどんどん増えていっていますし、若年者の罹患・重症化も増えているので、夏休みではありますが子供を連れて外に遊びに行くというのを我慢している状況です。
感染して死んでしまったり、仕事を休まざるを得ない状況になるよりはマシですから、家で出来る遊びで遊んであげようと思います(;^_^A
さて、前回も書きましたが、ここ最近遠方からの初診の方や歯科医療従事者からの問い合わせが非常に増えております。初診数増加に伴い、急患対応も多くなってまいりましたので、再度ご案内させていただきます。
【当院での初診の取り扱いについて】
当院は現在、予約の患者さんで2~3週間先まで完全に埋まっている状況になっております。
急患の場合は、コロナ渦も相まって、可能な限りお待ちいただかないよう予約の患者さんの治療内容等を考慮し、日時を指定させていただいております。
従って、どうしても「この曜日のこの時間で」などの希望される日時が限定的な場合は通常の予約をお願いしております。
皆様お仕事や私生活がお忙しい中、2~3週間お待ちいただいた上で予約を取っていただいております。
無理に初診の方の希望に対応することで予約の患者様の治療に影響を及ぼすことは、当院が目標としている「公平公正な医療の提供」には反してしまうと考えております。
痛みがあるなどの急を要する場合は、通常の予約枠ではないため希望の時間のご案内ができかねることを予めご了承ください。
では、保険でも当然医療法は関わってきますので、毎回書いている内容をまた今回も記載したいと思います。
コンポジットレジンのメリットは
・基本的には歯をできる限り多く残すことを目指す治療法である。
・もし一部欠けたりしても、そこだけ治療しなおすことが出来る。
・歯よりも少し柔らかい(反対側の歯が割れたりはしない)
・金属を使用しないため、金属アレルギーは生じない。
・保険適用の為、費用が安価(3割負担の方で1本あたり2000円くらいです)
です。
逆にデメリットとしては、
・材質的に経年劣化を起こしてくるので、後々磨き残しが溜まりやすくなる
・強度が弱いため、割れたり欠けたりすることがある。
・手間をどれだけ掛けたかで持ちが大きく変わるので、自費程は綺麗にならず、
また、自費程長持ちもしない。
当院は保険医療機関ですので、非常に小さい虫歯の場合は保険適用内の「コンポジットレジン修復」にて治療を行っています。
もし精度や持ちに拘りがあるのであれば、最初から「ダイレクトボンディングを希望」とお伝えください。
さて、では症例写真に移ります。
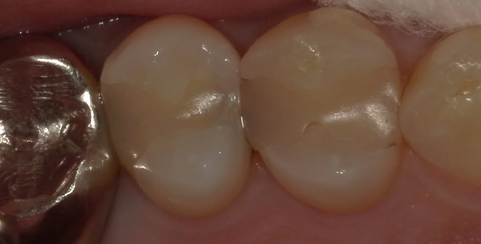
まずは術前。

元々保険内のコンポジットレジンで治療されている歯ですが、
画面右側と左側の歯の間が少し黒っぽくなっているのが分かりますかね?
軽く虫歯を見やすくしたのがこちらです。

白い部分がエナメル質といって人間の体の中で最も硬い構造になります。
そこを超えて大きく中に虫歯が入り込んでいるのが分かるかと思います。
(歯の構造や治療後に痛みが出るメカニズムについてはこちらをご覧ください。)
基本的に私はこの象牙質の1/3を超えた虫歯については治療が必要と判断していますが、今回は大幅に超えていたので、様子見ではなく治療介入としました。
ちなみに、コンポジットレジンもダイレクトボンディングも使用している材料自体の物性は一緒ですので、メリットの部分でも記載している通り、例えばこういった感じで虫歯になった部分だけ取り除いて詰めなおす「補修修復」というものが理論上は可能となっています。
ただし元々詰めているレジンに新しく詰めるレジンを接着させるというのは実は非常に難しいです。
また今回は元々詰めていたコンポジットレジン自体の劣化も激しいので、完全に取りきってやり直すこととしました。
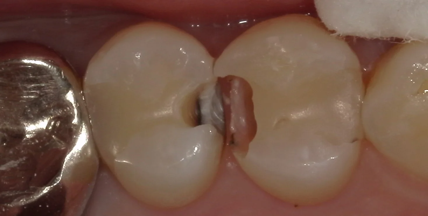
古い詰め物も全て取りきったのがこちらになります。

画面右側の歯には着色が一層残っていますが、ここは虫歯ではなく、ただ色がついているだけの層になります。
この部分は残すと接着力が落ちてしまうので、可及的に除去するようにしていますが・・・
今回はここを除去すると神経を抜く羽目になりそうだったので、温存しています。
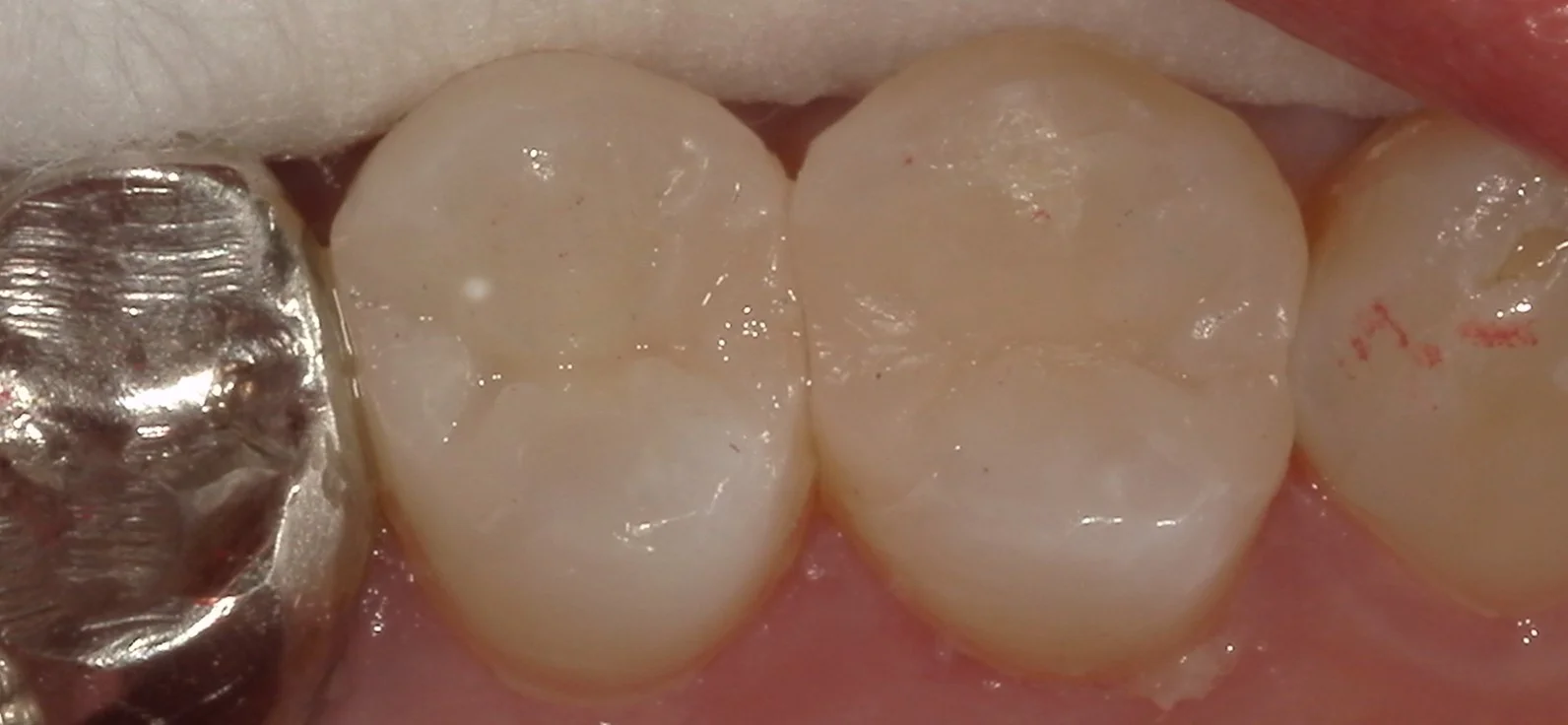
で、詰め終わったのがこちらです。

適合は問題なく出来たので、順調に行けばしっかりと持ってくれるはずです。
ただ、残っている健康な歯の量的に次虫歯になったら被せ物になってしまうかもしれませんね(-_-;)
なるべく長い間持たせてくれると嬉しいですねぇ。