他院で入れたセラミックをダイレクトボンディングに。

こんにちは。

9月末のスライドが随分と形になってきました。

問題はちょっとスライド数が多くなっているので、1時間で収まるか怪しいってところですかね。

多少減らしてうまいこと纏まるようにしたいと思います。

 

 

さて、ここ最近遠方からの初診の方や歯科医療従事者からの問い合わせが非常に増えております。

また初診数増加に伴い、急患対応も多くなってまいりましたので、再度ご案内させていただきます。

 

【当院での初診の取り扱いについて】

当院は現在、予約の患者さんで1~2週間先まで比較的埋まってきている状況になっております。(土曜日は相変わらず1月先まで埋まっております。)

急患の場合は、コロナ渦も相まって、可能な限りお待ちいただかないよう予約の患者さんの治療内容等を考慮し、日時を指定させていただいております。

従って、どうしても「この曜日のこの時間で」などの希望される日時が限定的な場合は通常の予約をお願いしております。

皆様お仕事や私生活がお忙しい中、1~2週間お待ちいただいた上で予約を取っていただいております。

無理に初診の方の希望に対応することで予約の患者様の治療に影響を及ぼすことは、当院が目標としている「公平公正な医療の提供」には反してしまうと考えております。

痛みがあるなどの急を要する場合は、通常の予約枠ではないため希望の時間のご案内ができかねることを予めご了承ください。

(基本的な初診時の受診の流れはこちらをご覧ください。)

 

 

さて、本日の症例写真はダイレクトボンディングについてです。

今回は千葉県のやや遠くめからお越しの方です。

 

では、医療法(医療広告ガイドライン)の兼ね合いで毎回書いている内容をまた今回も記載したいと思います。

 

ダイレクトボンディングのメリットは

・基本的には歯を最も多く残すことが出来る治療法である。

・もし一部欠けたりしても、そこだけ治療しなおすことが出来る。

・歯よりも少し柔らかい(反対側の歯が割れたりはしない)。

・金属を使用しないため、金属アレルギーは生じない。

 

です。

 

 

逆にデメリットとしては、

・材質的に経年劣化を起こしてくるので、後々磨き残しが溜まりやすくなる。

・強度が弱いため、割れたり欠けたりすることがある。

・保険が使えない為、高額(当院では4万円+税です)。

 

材質的なデメリットは非常に大きいのですが、それを考えても患者さんにお勧めできるメリットは、被せ物になるのを、5年でも10年でも先に伸ばすことが出来るという点です。

 

1回治療したところは必ずいつか駄目になりますが、その時に歯が残っていれば、ひょっとするとまたダイレクトボンディングで対処できるかもしれませんからね。

 

私は良く「歯の治療は回数券だ」と患者さんにお伝えしています。

 

20枚綴りの回数券を治療の度に消費していくとします。

ダイレクトボンディングは1~2枚程度しか消費しない治療法ですが、部分的な金属の詰め物は一気に3~5枚くらい消費するようなイメージで、被せ物についてはは5~10枚消費するようなイメージです。

(先生によってはインレーの段階で10枚くらい一気に行くかもしれません・・・。)

 

例えばダイレクトボンディングが1回の治療で5年持ったとして…クラウンと同様の5枚消費するには25年かかります。

 

逆にクラウンを25年以上持たせることが出来るのなら良いのかもしれませんが…それが出来る!と自信満々に答えられる歯科医師はまずいないでしょう。

 

もちろん先生によって考え方は違いますし、価値観も違うため患者さんがどこの医院を選び、何の材料を選ぶかは人それぞれですが…

 

少なくとも私が同じような状態で治療を受ける際には可能な限りはダイレクトボンディングで治療してもらいたいですね。

 

で、ダイレクトボンディングでは無理というサイズになってきたら、今度は被せ物(クラウン)に移行するという流れを希望すると思ってます。

 

また、治療とは削る量が増えれば増えるだけその難易度も増していきます。それに伴って、持つ期間としても短くなっていってしまいます。

 

だからこそ小さいサイズの虫歯の時点で、ダイレクトボンディングで治療する意義は非常に大きいんです。

 

当院は保険医療機関ですので、非常に小さい虫歯の場合は保険適用内の「コンポジットレジン修復」にて治療を行っていますので、もし精度や持ちに拘りがあるのであれば、最初から「ダイレクトボンディングを希望」とお伝えください。

先日来院されてから自費診療を希望された方がいらっしゃったのですが、保険と自費の治療ではその予約時間が大きく異なりますので、本数が制限されてしまい、来院回数が増えてしまうことがあります。

 

ですので、次回予約の際には「自費診療希望である旨を伝えておいていただければ幸いです。」

 

さて。

 

では症例写真に移ります。

 

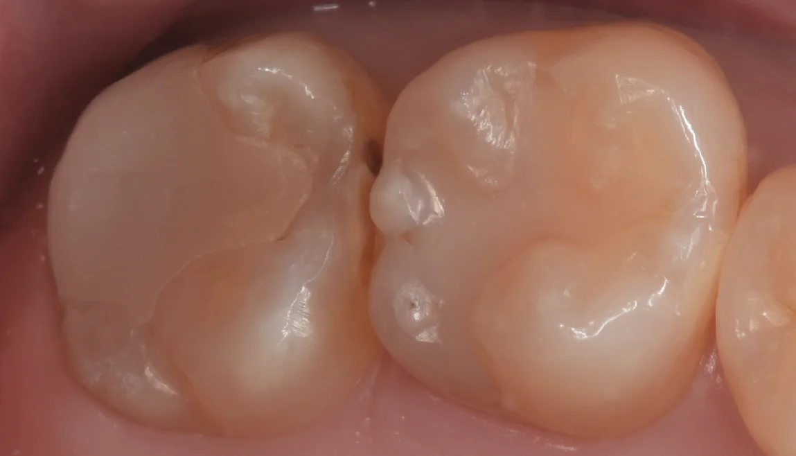
まずは術前からです。

 

他院で入れたセラミックをダイレクトボンディングに。|坂寄歯科医院(取手市藤代)

 

画面左側がセラミック・右側が保険の白い詰め物が入っています。

画面上では非常に拡大しているのでセラミックの適合が悪そうに見えますが、実際に口腔内で見るとそこまで悪くない一般的なセラミックの適合といった感じでした。

 

ただ、左右とも詰め物に天然歯のような形態は付与されておらずのっぺりとした感じになっていますね。

 

上手いセラミックを作る技工士さんの場合、基本的にこの形態はしっかりと入れてきてくれます。

なぜかと言うとその方が詰め物に対して、食べ物を食べた時の力の集中を避けられるため結果として詰め物が長持ちしやすいからですね。

天然の歯もそうですが、この歯についている溝を通って噛んだ食べ物が外に排出されます。

その時に排出されないと力が集まって割れてしまうと言う寸法ですね。

 

では詰め物を外して虫歯を見やすくしたのがこちらです。

 

他院で入れたセラミックをダイレクトボンディングに。|坂寄歯科医院(取手市藤代) - 画像2

 

左側は非常にわかりやすいですね。

右側についてはややわかりづらいかもしれませんが、白くなっている箇所とその左の色の濃くなっている場所が虫歯になってしまっています。

若い方の虫歯は黒くなく白っぽいことが多いため、肉眼だけでは判断がつかないことがあります。

そして黒い虫歯よりも白い虫歯の方が進行が早いため注意が必要なんですね。

 

虫歯を取り切ったのがこちらになります。

 

他院で入れたセラミックをダイレクトボンディングに。|坂寄歯科医院(取手市藤代) - 画像3

 

上の写真に比べると随分と綺麗な歯の色が出ているのがわかるかと思います。

やや光沢がありますよね?

健康な歯にはこのように光沢が出てきます。

 

 

そして詰め終わったのがこちらです。

 

他院で入れたセラミックをダイレクトボンディングに。|坂寄歯科医院(取手市藤代) - 画像4

 

歯が大きくなくなっていたため、非常に難しかったですが、比較的綺麗に詰められたかと思います。

患者さんはセラミックよりも綺麗になったと複雑な表情をされていましたが・・・

 

基本的にセラミックIn(写真のように歯の頭の部分が残っていて内側に詰めるもの)では色は合いません。

それこそあまりにも上手い技工士さんなら合わせられる方もいらっしゃいますが、普通は無理です。

 

ダイレクトボンディングと違ってセメントでくっつけているため、その厚み分色が浮いてしまうというのもありますから、どれだけ綺麗に色があっているセラミックでもしばらく使ってくるとそこの部分で変色して色が浮いてきます。

 

物性自体は非常にいいんですけどね(⌒-⌒; )

 

 

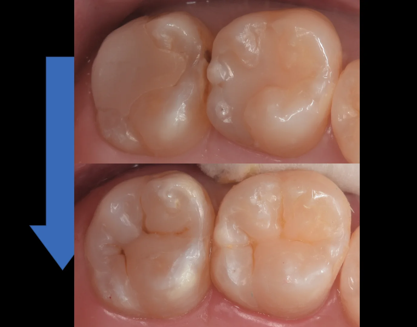
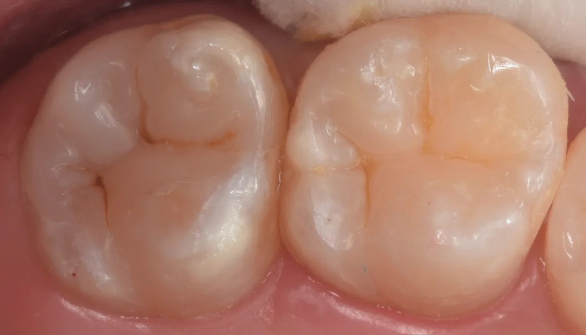
さて、術前術後の写真がこちらになります。

 

他院で入れたセラミックをダイレクトボンディングに。|坂寄歯科医院(取手市藤代) - 画像5

 

遠方より、長時間の治療お疲れ様でした!

噛み合わせ的にも特に問題ないので比較的長く使っていけると思いますヽ(゚∀゚)ノ パッ☆

← ブログ一覧に戻る