こんにちは。
どんどん気温が高くなってきていますね。日中は可能な限り外に出ないようにしたいと思います。
さて、突然ですが、「パーフォレーション」という単語を聞いたことはありますか?
簡単に説明すると・・・
パーフォレーションとは、歯に穴を開けてしまうことです。
タービンなどで歯を削っている時や、リーマー・ファイルなどで根管治療を行っている際などに、誤ってパーフォレーションをしてしまうことがあります。
パーフォレーションしてしまった場合にはMTAやアマルガムなどで封鎖を試みますが、最悪の場合は抜歯になってしまうこともあります。
また、一般的に根尖に近い部分で起こったパーフォレーションのほうが予後が良く、歯頸部近くになればなるほど歯肉溝と交通する確率が高くなり、予後が悪くなります。
以上、そのまま某掲示板からのコピペでした。
パーフォレーションは、所謂「偶発症」の1つに数えられるものです。
偶発症というのが、要は車の事故と同じようなものでどれだけ注意していても起こるときには起こってしまうものです。 ただし、注意して運転(治療)すればその危険性を減らすことは可能なものでもありますね。
今回の方は、 当院に来る2年ほど前に右下7を他院にて根管治療後に保険のクラウンを入れたとのことでした。
被せ物を作ったあたりから違和感を感じており、たまに痛みも出てしまっていたそうですが、前の先生からは「耐えられなくなったら抜歯しましょう」と言われていたそうです。
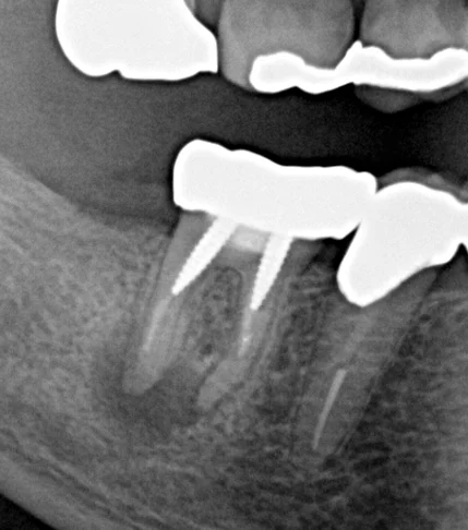
こちらが、初診時のレントゲン写真です。

このレントゲンだけ見ても、分かりづらいと思いますので、少し分かりやすく線を描いたものも載せます。

まず青丸の部分ですが、入っているクラウンの適合があまり良くなく、通常の歯よりも大きく膨らんだ形の被せ物が入っています。 こういった形態の補綴物を入れると被せ物と歯の間が磨きづらく・・・
虫歯になったり歯周病になりやすくなります。
根の方には大きなネジのような土台が2本入っているのですが、非常に歯の壁ギリギリの所に入っているため、この時点で患者さんにはパーフォレーションを起こしてしまっている可能性が高いことを説明しました。
赤丸の所に非常に大きく膿が溜まっています。サイズ的には歯の全長の1/3~1/2程度ですので、歯科医師によっては抜歯を視野に入れる状態かと思います。
恐らく前の先生は「膿が大きいと抜かなければならない」という考えの方だったのかと思います。
不思議に思われるかもしれませんが、歯科は先生によって考え方が全く違います。
虫歯を治す・治さないはもちろん、ある先生が診て歯を抜くべきと判断しても、別の先生が診査したら抜く必要がないとなることもあります。
そういう点でも歯科医院選びは非常に大切になってきます。
実際に、被せと土台を外すと後ろの根の手前側にパーフォレーションが起こってしまっていました。
(手前の根よりも後ろの根の方が膿のサイズが大きいのもこの辺りが原因になっていると思います。)
位置や大きさから、恐らく土台を立てる段階で歯を削る器具でパーフォレーションを起こしてしまったんでしょうね・・・。
その時綺麗に封鎖していれば状況も変わったのでしょうが、恐らくは気付かずに治療を進めてしまったのかと思われます。
ひとまず、患者さんに、パーフォレーションを起こしていることを説明し、ひょっとすると治せないかもしれないという事を説明した上で治療に入りました。
パーフォレーションが起こった歯についてはそこを封鎖する治療を追加で行わないと治療の成功率は低くなってしまいます。(パーフォレーションリペアといいます。)
何でパーフォレーションを封鎖するかは様々な材料がありますが・・・
世界的に最も現在使用されているのはMTAと言われる材料です。
ですが、日本ではこの薬剤は保険適用外材料となりますので、必然的に神経の治療~土台~被せ物まで全て自費診療で治療する必要が出てきます。
それだけ金額を掛けても治療の成功率はそんなに高いわけではありませんので、行うかどうかは人に寄るわけですが・・・
今回の方は「歯をなるべく抜きたくない」という事でしたので、治療に入る事となりました。
2回目の治療の段階で、違和感が消失しましたので、特に問題はないと判断し、3回目で最終的なお薬を詰めました。
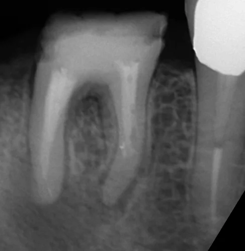
そしてその結果が、こちらです。

肝心の根尖病巣が入り切っていませんが、画像のトリミングの失敗です(笑)
注目して頂きたいのは、近心根ですが、実は根尖(根の先)まで全く行けていません。
大体2/3程度まで進んだのですが、それ以上は根管が石灰化していたため、全然進めませんでした。
それでも違和感が消失するのはそれなりに理由があるのですが、そこらへんはまたどこかでブログに書きたいと思います。
で、実はこのレントゲンを撮影したのが1年以上前です。
今回1年後の経過としてレントゲンを撮影させて頂いたのが、こちらです。

根の先の膿が完全に消えてくれたのが分かるかと思います。
入れたセラミックも適合良く入ってくれています。
治療を開始してからは痛みなどは一切出ずに、順調に過ごせているとのことでしたので、良かったです。
抜かないで済んでよかった~と喜んでいただき、幸いです。
ただ、予後が悪いことに変わりはありませんので、今後も定期的に診査させて頂くことになると思います。
#根管治療 #自費診療