こんにちは。
9月末には歯科商社であるFEEDさんのセミナーに向けてスライドを準備しています。
基本的なことをお話しするセミナーになると思いますので、受講予定の方はよろしくお願いいたします。
さて、ここ最近遠方からの初診の方や歯科医療従事者からの問い合わせが非常に増えております。
また初診数増加に伴い、急患対応も多くなってまいりましたので、再度ご案内させていただきます。
【当院での初診の取り扱いについて】
当院は現在、予約の患者さんで1~2週間先まで比較的埋まってきている状況になっております。(土曜日は相変わらず1月先まで埋まっております。)
急患の場合は、コロナ渦も相まって、可能な限りお待ちいただかないよう予約の患者さんの治療内容等を考慮し、日時を指定させていただいております。
従って、どうしても「この曜日のこの時間で」などの希望される日時が限定的な場合は通常の予約をお願いしております。
皆様お仕事や私生活がお忙しい中、1~2週間お待ちいただいた上で予約を取っていただいております。
無理に初診の方の希望に対応することで予約の患者様の治療に影響を及ぼすことは、当院が目標としている「公平公正な医療の提供」には反してしまうと考えております。
痛みがあるなどの急を要する場合は、通常の予約枠ではないため希望の時間のご案内ができかねることを予めご了承ください。
さて、本日の症例写真はダイレクトボンディングについてです。
今回は八王子にて勤務医をされている歯科医師の方になります。
治療を行ったのが小学校依頼とのことでこの機会に全体的に治療してほしいとのことでした。
では、医療法(医療広告ガイドライン)の兼ね合いで毎回書いている内容をまた今回も記載したいと思います。
ダイレクトボンディングのメリットは
・基本的には歯を最も多く残すことが出来る治療法である。
・もし一部欠けたりしても、そこだけ治療しなおすことが出来る。
・歯よりも少し柔らかい(反対側の歯が割れたりはしない)。
・金属を使用しないため、金属アレルギーは生じない。
です。
逆にデメリットとしては、
・材質的に経年劣化を起こしてくるので、後々磨き残しが溜まりやすくなる。
・強度が弱いため、割れたり欠けたりすることがある。
・保険が使えない為、高額(当院では4万円+税です)。
材質的なデメリットは非常に大きいのですが、それを考えても患者さんにお勧めできるメリットは、被せ物になるのを、5年でも10年でも先に伸ばすことが出来るという点です。
1回治療したところは必ずいつか駄目になりますが、その時に歯が残っていれば、ひょっとするとまたダイレクトボンディングで対処できるかもしれませんからね。
私は良く「歯の治療は回数券だ」と患者さんにお伝えしています。
20枚綴りの回数券を治療の度に消費していくとします。
ダイレクトボンディングは1~2枚程度しか消費しない治療法ですが、部分的な金属の詰め物は一気に3~5枚くらい消費するようなイメージで、被せ物についてはは5~10枚消費するようなイメージです。
(先生によってはインレーの段階で10枚くらい一気に行くかもしれません・・・。)
例えばダイレクトボンディングが1回の治療で5年持ったとして…クラウンと同様の5枚消費するには25年かかります。
逆にクラウンを25年以上持たせることが出来るのなら良いのかもしれませんが…それが出来る!と自信満々に答えられる歯科医師はまずいないでしょう。
もちろん先生によって考え方は違いますし、価値観も違うため患者さんがどこの医院を選び、何の材料を選ぶかは人それぞれですが…
少なくとも私が同じような状態で治療を受ける際には可能な限りはダイレクトボンディングで治療してもらいたいですね。
で、ダイレクトボンディングでは無理というサイズになってきたら、今度は被せ物(クラウン)に移行するという流れを希望すると思ってます。
また、治療とは削る量が増えれば増えるだけその難易度も増していきます。それに伴って、持つ期間としても短くなっていってしまいます。
だからこそ小さいサイズの虫歯の時点で、ダイレクトボンディングで治療する意義は非常に大きいんです。
当院は保険医療機関ですので、非常に小さい虫歯の場合は保険適用内の「コンポジットレジン修復」にて治療を行っていますので、もし精度や持ちに拘りがあるのであれば、最初から「ダイレクトボンディングを希望」とお伝えください。
先日来院されてから自費診療を希望された方がいらっしゃったのですが、保険と自費の治療ではその予約時間が大きく異なりますので、本数が制限されてしまい、来院回数が増えてしまうことがあります。
ですので、次回予約の際には「自費診療希望である旨を伝えておいていただければ幸いです。」
さて。
では症例写真に移ります。
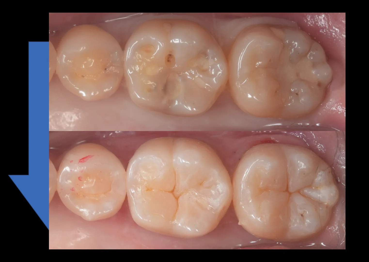
まずは術前からです。

小学生の頃に治したというコンポジットレジンが入っています。
やはり20年近く前のものですから安定性がイマイチなのか劣化が激しいですね。
一部脱離しているところもあります。
また透けて内部に虫歯があるのも非常にわかりやすくなっていますね。
一番左の歯については後ろの歯との間にクラック(亀裂)が入っているのがわかります。
虫歯を見えやすくしたのがこちらです。

元々遠方からのお越しだったので、左2本は治療介入予定だったのですが、一番右側の歯についてはそのまま介入しない予定でした。
そのため、最初に左2本の歯に麻酔をかけて効くのを待っている間に口腔内診査を行ったのですが、その際に一番右の歯にも虫歯があるのがわかりました。
早めに来てくださっていたので、時間としてはありそうだったのでそのまま一緒に治療に入ることになりましたが、この時点ではまだ麻酔が効き切っていないタイミングでしたので、一番右は全く手をつけていない状態になっています。
除去し切ったのがこちらです。

想定よりも大きく、そして深くまで虫歯が及んでいました。
ただ症状が出るよりも早めに来てくれた甲斐あって、神経にほぼ問題がないであろう範囲で虫歯を取り切ることができました。
そして詰め終わったのがこちらになります。

患者さんは歯科医師ということも合間って、非常に喜んでいただけました。
違和感なく仕上げられたかと思います。
噛み合わせの調整も最小量で済んだかと思います(●´ω`●)
そして術前術後の写真がこちらです。

遠方より、長時間の治療お疲れ様でした!
おおよそあと2回の治療になりますので、頑張ってください・・・!!