こんにちは。 今日はオールセラミックのブリッジを入れる前に作製した仮歯についてです。
ちなみに、セラミックは近年歯科のみならず色々な分野で使用されている材料です。
そのセラミックの大きな利点を一言でいうと、
「化学的に安定していること」です。
化学的に安定しているため、金属のようにイオンの溶出が起こったりすることがありません。
その結果、 プラーク(磨き残しによる細菌の塊)が付着しづらい、ツルツルな状態をキープできるため、虫歯になりづらく、歯周病も悪化しづらくなります。
つまり長持ちしやすい材料ということですね
ただしセラミックにも欠点があります。
それは「歯質削除量の多さ」です。
セラミックとは要は陶器ですので、薄くしすぎると割れてしまいます。 そのため、噛む力に耐えられるくらいの厚みを持たせる必要があります。
ですので、ただただ浅く、広い虫歯の場合は金属素材の方が向いているということです。
私の場合は、 ①薄くて広い場合はダイレクトボンディングで治療 ②ダイレクトボンディングで対応できないサイズの場合にセラミックや金属で治療 という感じで治療を行うことが多いです。
そしてセラミックを入れる前に、仮歯を作ることが結構あります。
大体は、 ・仮歯が無いと食事に困る状態になってしまう ・歯茎の状態をセラミックを入れる前に改善させたい ・発音に関わる場所で、患者さんも比較的そういうのを気にする方の場合
・抜歯後の歯茎の形を仮歯で作って、綺麗な歯茎のラインになるようにする
などですね。
例えば、先日セラミックのブリッジを入れられた方ですが、

この赤丸の部位は、歯茎よりも2mmほど深い位置に虫歯があり、しかもその歯の形態上、窪んだ形態になっています。
こういう所は最終的な被せ物を入れた際に非常に磨き残しができやすくなります。
しかも歯茎よりも深い場所なので、形作りと型取りが非常に難しい場所でもあります。
ここにセラミックを適合良く入れようとすると、仮歯を使って歯茎が盛り上がってこないようにする必要があります。
ただし、こういう場合には最終的な形態よりも、歯茎より下の辺りは仮歯を少し厚めにしておいた方が、歯茎を圧迫できるので、装着時に楽になります。
こちらが実際に使用して頂いていた仮歯になります。

歯間ブラシが通るようにしているので、仮歯の段階で歯茎の状態を改善させることが出来ます。
また、石膏と仮歯の境目を見て頂けると分かりますが、ほとんど全く段差が無いのが分かると思います。
このくらい適合を良くしておくと、一生懸命歯ブラシをしてもらえれば、歯茎も綺麗に引き締まってくれます。
仮歯の適合を合わせることに関しては私は勝手に自分で考えた独自のやり方をしています。
そのおかげで最終的な被せ物と同様に歯との段差が一切ない仮歯が出来るのですが・・・
この記事をご覧になっている先生で知りたい方がいらっしゃったらメールください(笑)
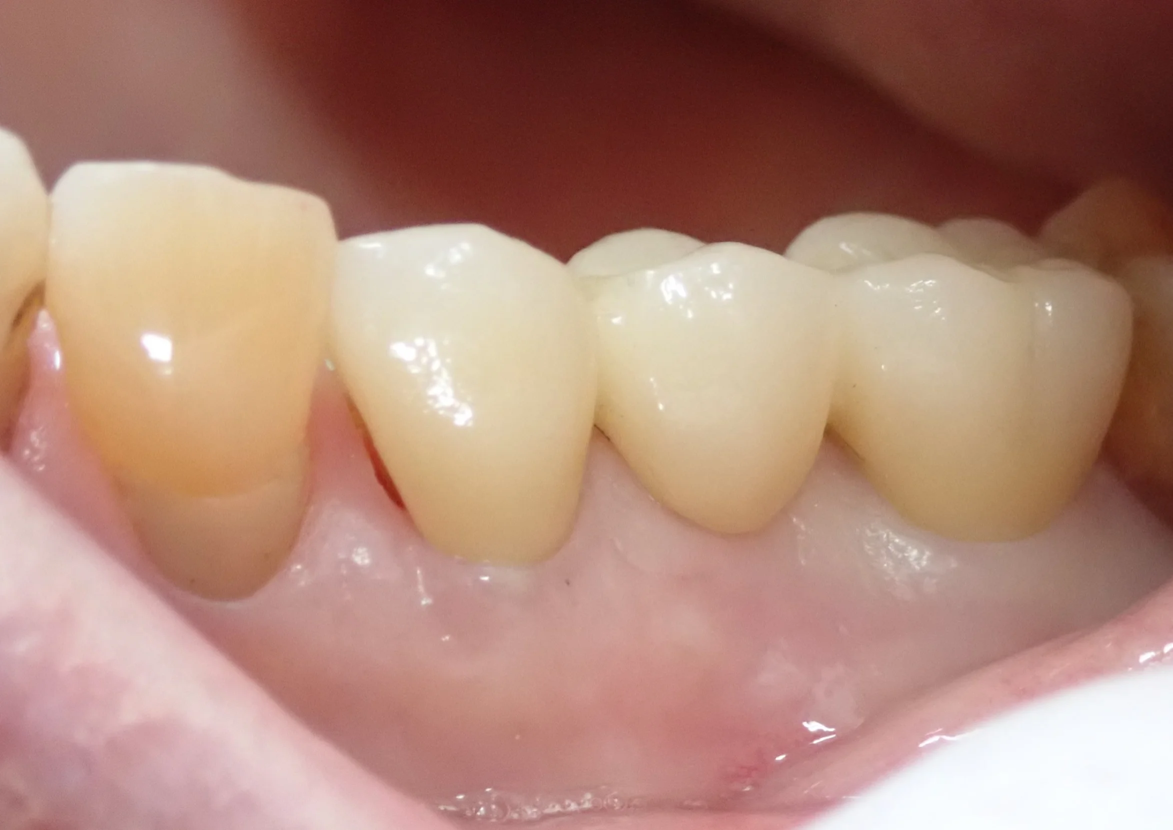
さて、そして最終的なセラミックがこちらです。


一枚目の写真で見て頂ければ分かりますが、手前の歯と、セラミックとの間にスペースが出来ているのが分かると思います。(画像で言うと一番左とその一つ右の歯の間の所)
また、歯茎が綺麗に引き締まっているので、一番右の歯茎の所も綺麗に立ち上がっているのが分かりますね。
これが仮歯で歯茎を押しのけておいたおかげで出来たスペースです。
もちろんこのスペースについては1週間~2週間もしないうちに現在の被せ物に適した状態に改善してきます。
自費の被せ物・・・特に連結であったり、ブリッジであったりを作成する場合には、適合が非常にシビアになってきますので、しっかりと適合を合わせた仮歯というのが非常に大切になってきます。
これもまた歯科医師の腕の見せ所の1つですね!
以上、私の地味なこだわりでしたヽ(゚∀゚)ノ パッ☆
#オールセラミックス #虫歯の治療 #自費診療