こんにちは。
ICON治療を導入し早2年が過ぎました。
多くの方の治療を行ってきましたが、この度改善しきらなかったケースに遭遇したので、今回のブログではこちらについて書かせていただきます。
では、いつも通り医療法の兼ね合いで、どう言った治療なのかを説明していきたいと思います。
そもそもホワイトスポットとは何かというと、

こんな感じで、歯の表面に白い点があることってありませんか?
この部分をホワイトスポットと言います。
今までこの部分を治療するためには
①白くなっている部分を削って、プラスチックを詰める(コンポジットレジン)
②歯の表面部分全体を削ってセラミックを貼り付ける(ラミネートベニア)
③全周の歯を削ってセラミックの被せ物を入れる(セラミッククラウン)
と、この3種類が主たる方法でした。
それぞれ侵襲の小さい順に①<②<③となる訳ですが、毎回書いていますが、
治療したところは自費だろうが保険だろうが必ずまた虫歯になります。
その為、治療介入する際には侵襲の小さい物から順に行っていくのが通常です。
その方が歯を多く残せますからね。
今回ご紹介する治療方法(ICON)は、従来の治療方法とは異なり、
歯を削らなくて済む唯一の治療法となります。
(表層を一層研磨することはあります)
そのため、侵襲の順が小さい順に、
ICON<超えられない壁<①<②<③
といった感じになるんです。
ではここでICON治療のメリットデメリットを書かせていただきます。
ICON治療のメリット:
・歯を削らないで済む(一層研磨することはあります)
・審美的に違和感なく仕上げることが出来る
・歯を削ったりする不快感を感じないで済む
ICON治療のデメリット:
・比較的新しいため、長期予後が不明
・ホワイトスポットの種類によっては改善しきらないことがある
・強い薬剤を使用するため、ラバーダム防湿(ゴムのマスク)が必須
・審美的目的の為、保険適用ではなく自費診療の為治療費が高額となる。
(当院では1本辺り44,000円(税込)となります。)
といった感じですね。
審美的な目的を達成しつつ、歯の温存もできるという非常に画期的な治療だと思っております。
海外では10年予後のデータも出始めており、経過も良好というのがまたいいですね。
ただしICONのみでは消しきれないケースというもの実際に存在していますのでそちらについても記載させていただきます。
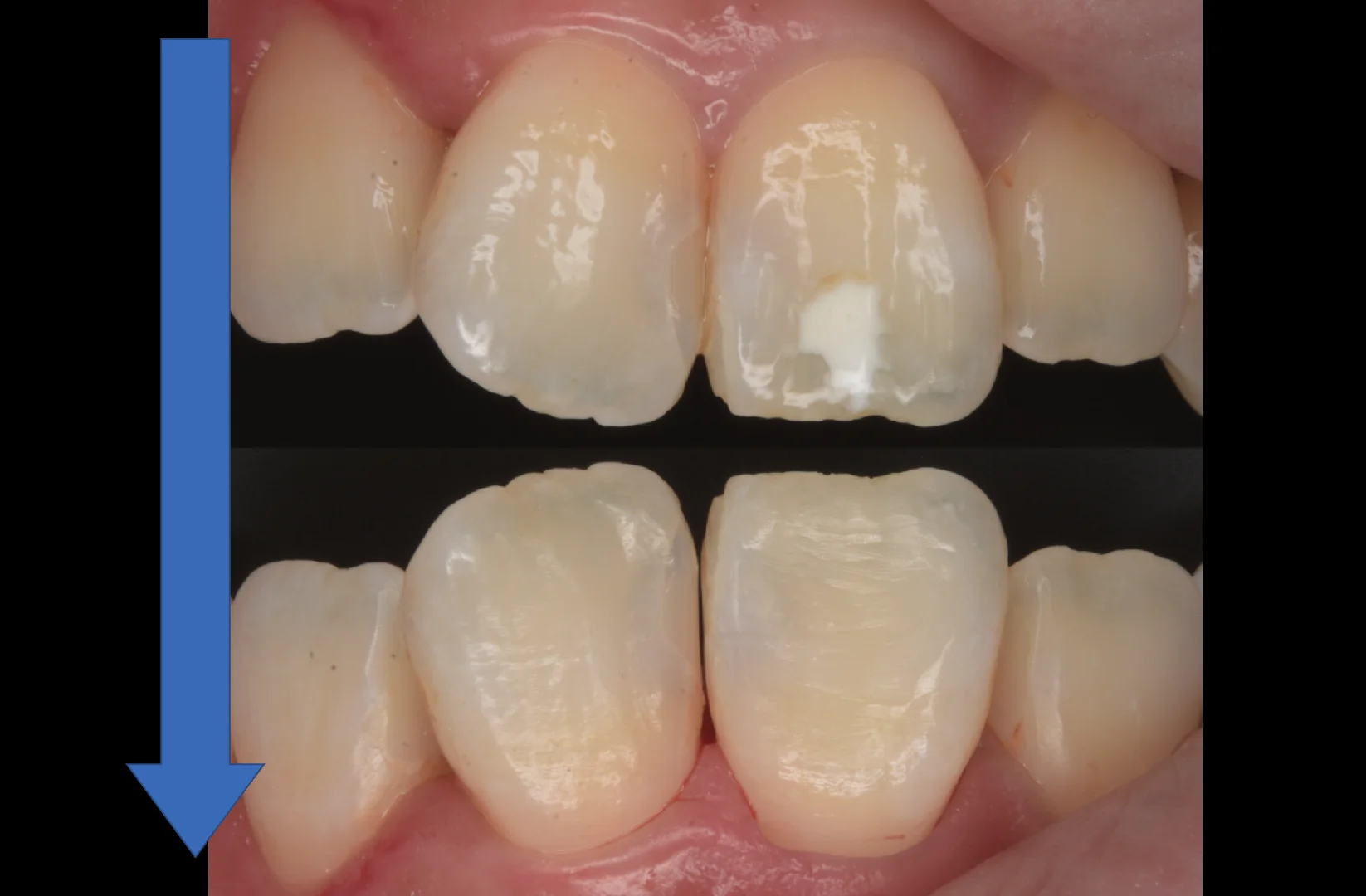
こちらがICONにて処置を行った直後の写真になります。

大分薄くはなっていますが、それでもうっすらと残存しているのがわかると思います。
こう言った場合どう対応するかというと・・・
私の場合はここからホワイトスポットの残存しているところだけを削ってダイレクトボンディングを行います。
その際の費用は追加費用などは頂いておらず、同じ処置時間内で行っていくため再度来院していただく必要もありません。
本来であればICONで消し切れるのが一番いいのですが・・・残念ながら全てのケースでホワイトスポットを消せるわけではありません。
ただし、薄く小さくすることができればダイレクトボンディングの際に削る量も最小量に抑えることができる分、ICON治療を挟むメリットは非常に大きいです。
特にICON治療を希望される方はやはり少しでも歯を削る量を少なくしたいという方が多いですからね。
さて。ではこのあとどのようにリカバリーをしたのかというと・・・

こんな感じで残存した部分だけ削って詰めた感じです。
他の歯がそうでしたので、歯ブラシなどでの削れた表面性状をやや強めに表現しています。
ICON治療の際に使用する強い薬剤から歯肉を守るためにつけていたゴムのマスクを外して術前術後で反転して見やすくしたのがこちらになります。

随分と目立たなく、違和感がなくなったのが分かるかと思います。
今まで削らないと治せなかったものを削らずに治せるのがICON最大のメリットでもありますが、それでもし上手くいかなくても、私の場合時点で控えているダイレクトボンディングが得意分野というのもあり、無駄のない処置を行えているという自信があります。
このブログでも何度もお話していますが・・・
削ったところは二度と元に戻りません。
その為、私は「歯の治療は回数券」だと考えています。
例えば20枚綴りの回数券を治療の度に消費していくとします。
従来のように削って詰める手法の場合、どれだけ気を付けても1~2枚程度は必ず消費します。
また、治療したところは遅かれ早かれ必ず駄目になってしまいます。
そして再治療の際には当然最初よりも更に大きく削っていく羽目になります。
それを繰り返していくと最終的には神経を取らざるを得なくなったり、被せ物に移行する羽目になってきます。
だからこそICONのように削らないでも治せる治療というのはメリットが大きいんです。
患者さん本人は長年気になっていたホワイトスポットが消えて非常に喜んでいただけました。
是非そのまま他の部分も含めて健康な状態を維持できると良いですね!
最近のレジン材料は歯ブラシを行うことで研磨をずっと行えるためツヤをしっかりと維持することができます。
日々のブラッシングはもちろん、その後の定期検診での研磨などでも綺麗さを維持できますのでしっかりと頑張っていきましょう(●´ω`●)