こんにちは。
最近非常に暑いですね。
熱中症には十分注意して、水分補給をしっかりと行いましょう。
一般的にスポーツドリンクはさほど熱中症予防には効果的ではないので、基本的に3色しっかりと食べて、水分補給自体はお茶で十分です。
使うなら少しふらつきを感じた際にOS1などの経口補水液を使うようにすると熱中症を適切に予防し、虫歯も予防できますので、ぜひお願いいたします。
では、いつも通り医療法の兼ね合いで、どう言った治療なのかを説明していきたいと思います。
そもそもホワイトスポットとは何かというと、

こんな感じで、歯の表面に白い点があることってありませんか?
この部分をホワイトスポットと言います。
今までこの部分を治療するためには
①白くなっている部分を削って、プラスチックを詰める(コンポジットレジン)
②歯の表面部分全体を削ってセラミックを貼り付ける(ラミネートベニア)
③全周の歯を削ってセラミックの被せ物を入れる(セラミッククラウン)
と、この3種類が主たる方法でした。
それぞれ侵襲の小さい順に①<②<③となる訳ですが、毎回書いていますが、
治療したところは自費だろうが保険だろうが必ずまた虫歯になります。
その為、治療介入する際には侵襲の小さい物から順に行っていくのが通常です。
その方が歯を多く残せますからね。
今回ご紹介する治療方法(ICON)は、従来の治療方法とは異なり、
歯を削らなくて済む唯一の治療法となります。
(表層を一層研磨することはあります)
そのため、侵襲の順が小さい順に、
ICON<超えられない壁<①<②<③
といった感じになるんです。
ではここでICON治療のメリットデメリットを書かせていただきます。
ICON治療のメリット:
・歯を削らないで済む(一層研磨することはあります)
・審美的に違和感なく仕上げることが出来る
・歯を削ったりする不快感を感じないで済む
ICON治療のデメリット:
・比較的新しいため、長期予後が不明
・ホワイトスポットの種類によっては改善しきらないことがある
・強い薬剤を使用するため、ラバーダム防湿(ゴムのマスク)が必須
・審美的目的の為、保険適用ではなく自費診療の為治療費が高額となる。
(当院では1本辺り50000円となります。)
といった感じですね。
審美的な目的を達成しつつ、歯の温存もできるという非常に画期的な治療だと思っております。
海外では10年予後のデータも出始めており、経過も良好というのがまたいいですね。
それでは流れを載せていきます。
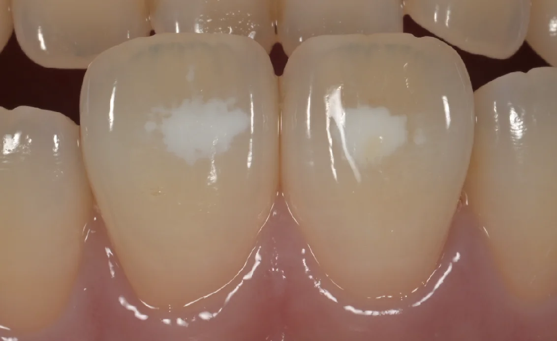
まずは術前から

こちらの前歯2本の最も目立つところに存在している歯の白い部分を消していきます。
まず、その前にこのICONという治療は塩酸を使います。
ご存知の方も多いと思いますが、非常に強力な薬液ですので、このように…

ゴムのマスク(ラバーダム)を装着していきます。
こうやって歯茎に間違ってもつかないように保護する感じですね。
そこにこのように塩酸をつけて、塗りこんで処理していきます。

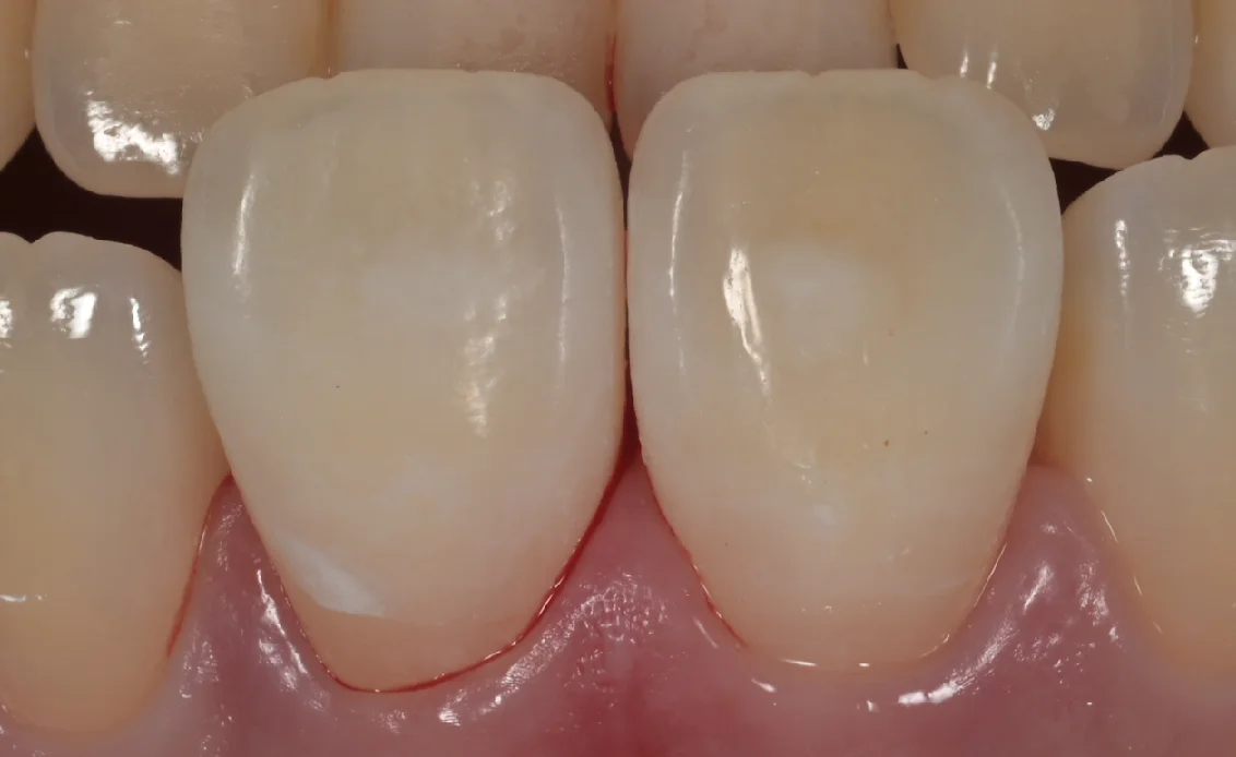
術後写真がこちらになります。

塩酸で歯の表層のエナメル質を一層溶かしながらそれをブラシで擦りつつ、エナメル質内部に存在している空気の層への通り道を作って・・・その通り道を通して、内部にレジンを流し込むのがこのICONという治療です。
研磨ブラシを使用して擦るので、歯の削る量は0.01〜0.05mmほどの本当に微々たるものですが、それでもゼロではないのでその点はご注意ください。
他院のHPで一切削らない治療と書かれているのをみて、来院された方がいらっしゃいましたが、それは不可能です。侵襲のない治療など存在しませんのでその点は十分にご注意ください。
ただそれでも削って詰めるよりはよほど侵襲は少ないですけどね。
またICONは実は治療成果は歯科医師によって大きく異なります。
各々が有しているコツのようなものを活用することでしっかりとホワイトスポットを消すことができますので、ぜひICONを行う際には上手くいったケースと上手くいかなかったケースを見せていただくといいと思います。
今回は個人的には色を消しきれていないため、あまり上手くいかなかったケースです。
この場合、こちらのブログでも説明した通り・・・一層削ってダイレクトボンディングを行う場合があります。
当院ではその際の費用はICON治療に包括しておりますので、追加の費用はいただいておりません。
ただ患者さんに見せて確認していただいたところ、これだけ消えていれば大丈夫、歯を削る方がもったいないとのことでしたので、今回はこのまま終了することとなりました。
(治療したところはまた必ずダメになってきますので、個人的にはその選択は歯を残すという意味では最適だったと思いますよ!)
さて、ラバーダムを外したのがこちらになります。

随分と目立たなく、違和感が少なくなったのが分かるかと思います。
ゴムのマスクを強く歯茎に押し込むので一部出血していますが、出血自体は5分くらいで治って違和感も1〜2日で消えますので、そこはご安心ください。
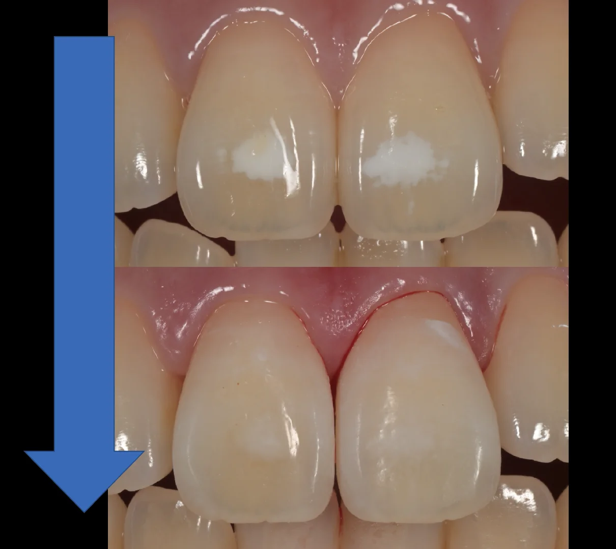
術前術後です。

今まで削らないと治せなかったものを削らずに治せるのがICON最大のメリットでもありますが、それでもし上手くいかなくても、私の場合時点で控えているダイレクトボンディングが得意分野というのもあり、無駄のない処置を行えているという自信があります。
このブログでも何度もお話していますが・・・
削ったところは二度と元に戻りません。
その為、私は「歯の治療は回数券」だと考えています。
例えば20枚綴りの回数券を治療の度に消費していくとします。
従来のように削って詰める手法の場合、どれだけ気を付けても1~2枚程度は必ず消費します。
また、治療したところは遅かれ早かれ必ず駄目になってしまいます。
そして再治療の際には当然最初よりも更に大きく削っていく羽目になります。
それを繰り返していくと最終的には神経を取らざるを得なくなったり、被せ物に移行する羽目になってきます。
だからこそICONのように削らないでも治せる治療というのはメリットが大きいんです。
色は若干残ってしまいましたが、患者さん本人はホワイトスポットが気にならないレベルに薄くなって非常に喜んでいただけました。
是非そのまま他の部分も含めて健康な状態を維持できると良いですね!
最近のレジン材料は歯ブラシを行うことで研磨をずっと行えるためツヤをしっかりと維持することができます。
日々のブラッシングはもちろん、その後の定期検診での研磨などでも綺麗さを維持できますのでしっかりと頑張っていきましょう(●´ω`●)