こんにちは。
2月に入ってから何かと非常に忙しかったので、全くブログの更新が出来ておりませんでした。
今回もまたダイレクトボンディングの症例写真を出させて頂きたいと思います。
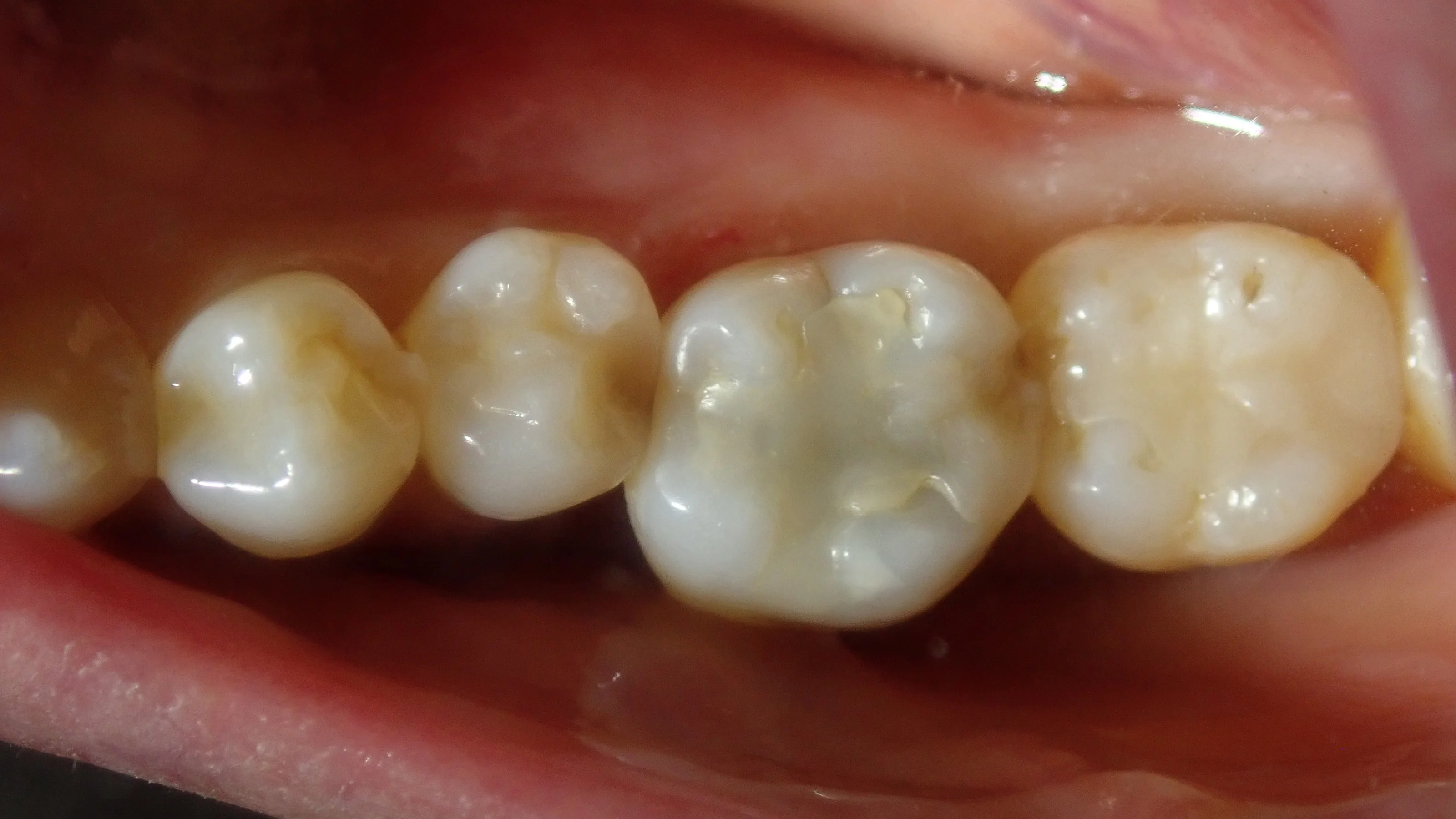
まずは最初の状態です。
今回行うのは、左から2番目と3番目の歯です。
それぞれ第一大臼歯・第二小臼歯と言います。
(以下 第一大臼歯=6番、第二小臼歯=5番 で記載します。)

白い詰め物が詰められていますが、5番と6番の間に亀裂が入っており、黒く見えています。
軽く削ってみると・・・

目に見えて黒いのが分かりやすくなってきました。
この段階で、強い光の下で見ると6番もCR(保険の白い詰め物)の下に黒いのが見えてきていましたので、本人に了承を貰った上でCRを除去をしてみました。
すると・・・

5番6番の間よりもはるかに 大きい虫歯・・・。
このサイズといい、CRの辺縁に着色が無いことから虫歯を取り残したことで中で進んでいったパターンと判断出来ました。
ちなみに、この2本の歯はレントゲン上では特に問題がありませんでした。
実はレントゲンにおける虫歯の検出率は意外に低く50%程度しかありません(ノД`)
では残りの50%をどうやって検出するかというと、
視診や触診、打診など複数の検査を併用することでようやく残りの50%を少し埋めることが出来ます。
それでも、実際に多くの診査方法を併用しても残念ながらその検出率を100%にすることが出来ません。
ですので、私は少しでも検出率を上げる為に10倍のルーペによる視診を必ず行うようにしています。
当院に来院されている方はご存知かと思いますが、あの診療中に目元に常につけている、長いのがルーペです。
少し脱線してしまいましたね・・・拡大視野などについてはまたそのうち機会があれば記載したいと思います。
では、話を戻して、
虫歯を取り切った時の画像がこちらです。

所々黒い部分が残っていますが、実はここは着色層と言って、細菌感染が起こっていない健康な歯になります。
着色層は一切着色を起こしていない部分と比べて接着力が落ちるという報告もあるので、本来なら除去したいのですが・・・
今回はここを削って取り切ろうとすると神経まで行ってしまいそうだったので、敢えて残しておきました。
そして充填後の画像がこちらです。

後ろの部分がかなり大きくなくなってしまったので、6番は通常5咬頭なのですが、7番で多くみられる4咬頭で再現させていただきました。
ですので、歯科医師の方が見たら6番は違和感が大きいかもしれません(-_-;)
・・・というかこれ、咬合調整前の画像ですね。
どうやら咬合調整を終えた後の写真を撮り忘れてしまったようです・・・
6番の頬側や5番の遠心にバリが残っていますが、調整時にしっかりと取っていますのでご安心ください(;'∀')
そして最後に術前と術後の比較です。

ダイレクトボンディングは最近多くの先生方が臨床で取り入れている治療法ではありますが、その見た目の綺麗さや持ちの良さには先生毎に差があります。
私はなるべく長く、なるべく自然に、出来れば歯科医師や歯科衛生士が見ても分からないように治したいと思ってやっていますヽ(゚∀゚)ノ
ちなみに、うちは保険医療機関ですので、保険内のCRで治せそうなものは全て勝手にCRで治していますが・・・
もし「なるべく長く使えて、自然な見た目が良い」という方がいらっしゃればダイレクトボンディングの方がお勧めですので、そういう希望があるという事を教えてくださいね。
#虫歯の治療 #ダイレクトボンディング #自費診療