こんにちは。
1月も既に半分が終了しましたね。 今月は歯科医師会の会合がある為、急遽「1/23」「1/26」の二日間を夕方17時までの診療とさせて頂くこととなりました。 ご迷惑をお掛けしますが、よろしくお願い致します。
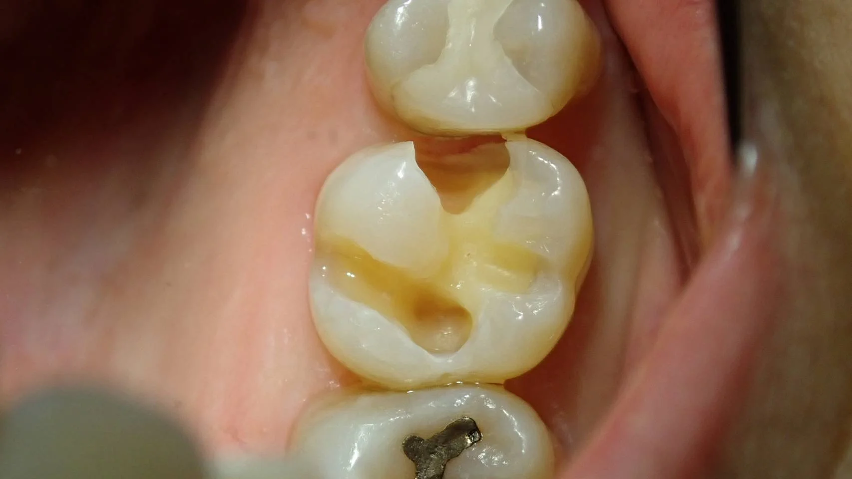
さて、今回は表題の通りまたダイレクトボンディングです。
まずは、虫歯を取り切った充填前の写真です。

写真上だとあまり大きくないように感じるかもしれませんが、実際は上から見えないところで深くまで虫歯が入っており・・・ エナメル質という表層の固いところを残し、内面が大きくなくなってしまっている状況です。
そして、術後、かみ合わせを合わせた状態がこちらです。

想像よりもかみ合わせが深く、一部折角付けたステインを削る必要が出てしまいました・・・。
本来ならかみ合わせの調整がいらないように詰められれば一番良いのですが・・・現在の私の力量ではまだそこまではいけません。 ただ、それでも調整する量は比較的少なく済んでいることが多いとは思います。
この歯も歯質削除量的に、多くの歯科医院ではインレー形態になっていたかもしれないです。
歯というものは1つの臓器ですので、一度削ってしまうと元に戻すことは残念ながら出来ません。
そのため、なるべく歯質を温存し、長持ち出来るような治療を提案してくれる歯科医院を選ぶ必要があると思います。
先生によって治療の方向性は多種多様ですが、なるべく私は歯を残せるように努力している方だと思っています。
#虫歯の治療 #ダイレクトボンディング #自費診療