こんにちは。
今回はまた神経の治療についてです。
40代の女性の方ですが、数年前から疲れた時に腫れたり膿が出たりしていたそうです。 定期検診を受けられていたとのことでしたが、レントゲン診査は随分としていないとのことです。
基本的なことになりますが、肉眼のみでの診査には限界があります。
出来れば年に1回、最低でも2~3年に1回はレントゲンなどを併用して診査しないと見逃しが生じてしまいますので、ご注意ください。
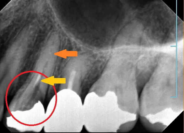
では、これが術前のレントゲンです。
(大きくて字が見づらいとの指摘を頂いたので、今回から少し画像のサイズを小さくしています。)

初診時はプラークが詰まっていて、見えづらかったですが、拡大視野下で観察すると少し怪しかったのでレントゲンを撮ってみました。
保険のメタルインレーが入っており、その脇から中に大きく虫歯が入り込んでいます。 (画像の赤丸の所)
ただ、この歯、どうやら神経の治療をされていたようなんですが・・・ なんかこう・・・ちょろっとしか薬が入っていません。 (画像の黄色の矢印の所)
幸い根の先に膿が溜まったりはしていませんが、虫歯の期間が長かったせいか根管(神経の入っている管)の中に高度に石灰化が起こってしまっています。 (画像のオレンジの矢印の所)
要は動脈硬化みたいな感じで根管が塞がってきているイメージですね。

そのせいで根の先まで到達するのが非常に困難な状態となっています。
というのも、この塞がった根管というのがどのくらい細いかというと、髪の毛一本よりも細いんです。 本来の根管は髪の毛数本分くらいの太さはあります。 (いや、それでも十分細いんですけどね・・・!)
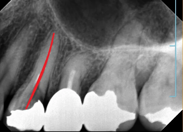
ちなみに、本来あるべき根の形としてはこういったものになるはずなんです。

最初の画像と見比べてもらうと根の管がどれだけ見えづらくなっているのかが分かると思います。
とはいえ、やることはいつもと特に変わりません。
拡大視野下で超音波やら細い金属のヤスリのようなものを使いながら少しずつ進めていって・・・
形を整えて、根管内を綺麗にしたら、最終的なゴムのような材料を詰めて終わりです。
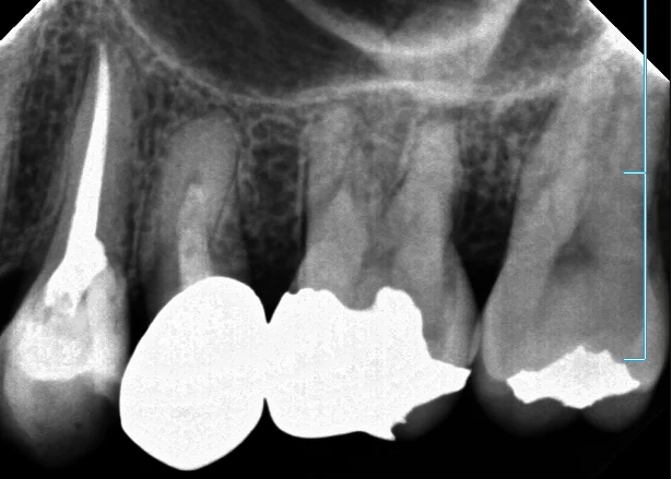
詰めたレントゲンがこちら。

実は途中で根の管が分岐していて・・・それでいてイスムスがあったので、その分岐した根管を更に削って大きな一本の根にしました。
イスムスというのは二つの根の間にある狭い交通路のようなもので、これが細菌繁殖の原因にもなりかねない危険なものです。
太さは0.1mmも無いので、よく見逃されていますが、その結果根の先に膿が溜まってしまいます。
なるべく見かけたら処理するようにはしていますが、なかなか難しいんですよねぇ・・・。
話がそれました。
術前術後がこちらですね。

根の先まで隙間なくしっかりと詰まっていて、最初のちょろっとしか入っていなかった薬に比べると随分としっかりと入ったのが分かると思います。
保険診療上だと、右の画像のような治療でも、今回私が行ったような治療でも同じ金額になります。
ですので、適当にちゃっちゃと治療すればするほど儲かり、丁寧にすればするほど赤字になっていきます。
保険診療の安い金額設定には何かしらの理由があるとは思うんですが・・・
それって本当に患者さんの為になってんの?!
といつも思いながら治療を行っています。
まぁ、だったら保険医止めて自費専門で治療しなよってことなんでしょうけどね・・・(-_-;)
丁寧に治療されているかどうかは割と治療を受けてみれば直ぐに分かるとは思いますが・・・
歯科医院選びは本当に大切だと思います。
#根管治療 #保険診療